| UNIPROT | P22392 |
| Иммуноген | Синтетический пептид, соответствующий human NME2 |
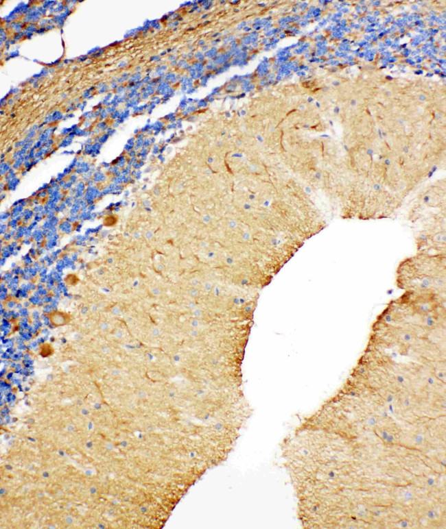
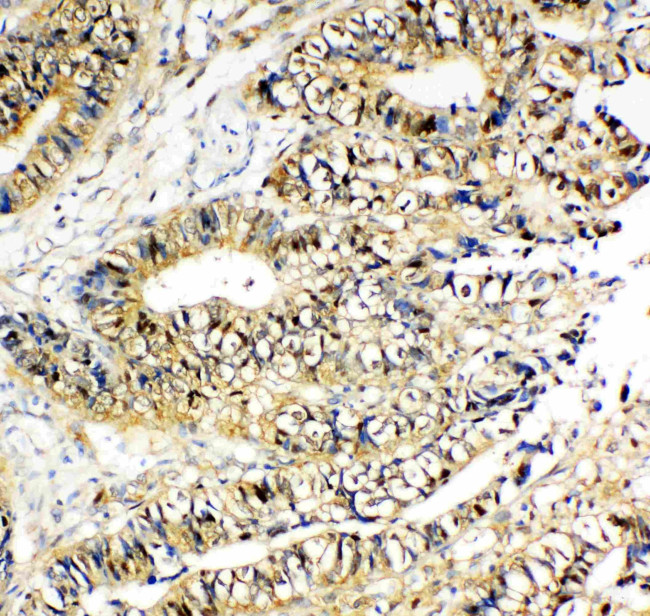
NME2 Recombinant Rabbit mAb (ARM2212)
Реактивность подтвержденная:
человек, мышь, крыса
Источник (хозяин):
кролик
Валидировано для:
FCM
IHC
WB
IF
ICC
Характеристики
Техническое описание
| Каталожный номер | ARM2212 |
| Название антигена | Non Metastatic Cells 2, Protein NM23B Expressed In (NME2) |
| UNIPROT | P22392 |
| Иммуноген | Синтетический пептид, соответствующий human NME2 |
| Английские синонимы | NDPKB, NM23-H2, NM23B, Puf, Nucleoside diphosphate kinase B, C-myc purine-binding transcription factor PUF, Histidine protein kinase NDKB |
Реактивность подтвержденная Нужна другая реактивность? |
человек, мышь, крыса |
| Источник (хозяин) | кролик |
| Изотип | IgG |
| Клональность | моноклональное |
| Рекомбинантное | да |
| Готовое к использованию | нет |
| Концентрация | 1 мг/мл |
| Конъюгат | По запросу: HRP, biotin, Cy3, Cy5, APC, AF488, AF594, AF405 |
| Валидировано для | FCM IHC WB IF ICC Проточная цитометрия; Иммуногистохимия; Вестерн-блоттинг; Иммунофлуоресценция; Иммуноцитохимия |
| Рекомендуемые разведения | WB 1:500~1:2000; IHC 1:50~1:200; IF/ICC 1:50~1:200; FCM 1:50 |
| Метод очистки | Антигенспецифическая аффинная хроматография |
| Состав буфера | 50 нмоль Tris-Glycine(pH 7.4); 0.15M NaCl; 40% глицерин; 0.01% азид натрия и 0.05% БСА |
| Условия доставки | термобокс с аккумуляторами холода |
| Условия хранения | Сразу после получения аликвотировать и хранить при -20ºС до 12 месяцев с момента получения. Избегать повторения циклов замерзания/оттаивания |
| Срок хранения | 12 месяцев |
| Производитель | AssayVector |
|
Артикул
|
Наименование |
Производитель
|
|---|
|
Артикул
|
Наименование |
Производитель
|
|---|
|
Артикул
|
Наименование |
Производитель
|
|---|
Акции и предложения
Популярные продукты:
Anti-MACROH2A1 Polyclonal Antibody (PHB17201)
Источник (хозяин): кролик
Реактивность подтвержденная: человек, мышь, крыса
Валидировано для: ELISA, IHC, WB
Реактивность подтвержденная: человек, мышь, крыса
Валидировано для: ELISA, IHC, WB
Anti-HCoV-OC43 M/Membrane protein Polyclonal Antibody (PVV40801)
Источник (хозяин): кролик
Реактивность подтвержденная: вирусы
Валидировано для: ELISA, IHC, WB
Реактивность подтвержденная: вирусы
Валидировано для: ELISA, IHC, WB
TLE1 Polyclonal Antibody (E-AB-90634)
Источник (хозяин): кролик
Реактивность подтвержденная: мышь
Валидировано для: WB
Реактивность подтвержденная: мышь
Валидировано для: WB
DUT Polyclonal Antibody (E-AB-52896)
Источник (хозяин): кролик
Реактивность подтвержденная: человек, крыса
Валидировано для: IHC
Реактивность подтвержденная: человек, крыса
Валидировано для: IHC
DUT Polyclonal Antibody (E-AB-12372)
Источник (хозяин): кролик
Реактивность подтвержденная: человек, крыса
Валидировано для: IHC, WB
Реактивность подтвержденная: человек, крыса
Валидировано для: IHC, WB
AP3S2 Polyclonal Antibody (E-AB-91830)
Источник (хозяин): кролик
Реактивность подтвержденная: человек, мышь, крыса
Валидировано для: IF, WB
Реактивность подтвержденная: человек, мышь, крыса
Валидировано для: IF, WB

