| UNIPROT | P46531 |
| Иммуноген | Синтетический пептид, соответствующий human Notch1 |
Notch1 Recombinant Rabbit mAb (ARM1262)
Реактивность подтвержденная:
человек, мышь
Источник (хозяин):
кролик
Валидировано для:
FCM
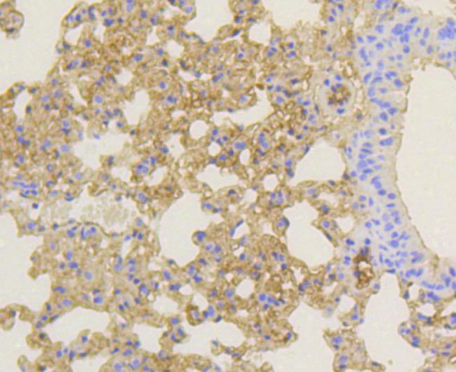
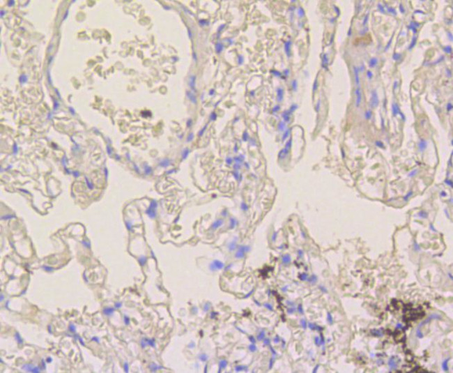
IHC
WB
IF
ICC
Характеристики
Техническое описание
| Каталожный номер | ARM1262 |
| Название антигена | Translocation Associated Notch Homolog 1 (TAN1) |
| UNIPROT | P46531 |
| Иммуноген | Синтетический пептид, соответствующий human Notch1 |
| Английские синонимы | NOTCH1, hN1, NEXT, NICD, Translocation-associated notch protein TAN-1 |
Реактивность подтвержденная Нужна другая реактивность? |
человек, мышь |
| Источник (хозяин) | кролик |
| Изотип | IgG |
| Клональность | моноклональное |
| Рекомбинантное | да |
| Готовое к использованию | нет |
| Концентрация | 1 мг/мл |
| Конъюгат | По запросу: HRP, biotin, Cy3, Cy5, APC, AF488, AF594, AF405 |
| Валидировано для | FCM IHC WB IF ICC Проточная цитометрия; Иммуногистохимия; Вестерн-блоттинг; Иммунофлуоресценция; Иммуноцитохимия |
| Рекомендуемые разведения | WB 1:500~1:2000; IHC 1:50~1:200; IF/ICC 1:50~1:200; FCM 1:50 |
| Метод очистки | Антигенспецифическая аффинная хроматография |
| Состав буфера | 50 нмоль Tris-Glycine(pH 7.4); 0.15M NaCl; 40% глицерин; 0.01% азид натрия и 0.05% БСА |
| Условия доставки | термобокс с аккумуляторами холода |
| Условия хранения | Сразу после получения аликвотировать и хранить при -20ºС до 12 месяцев с момента получения. Избегать повторения циклов замерзания/оттаивания |
| Срок хранения | 12 месяцев |
| Производитель | AssayVector |
|
Артикул
|
Наименование |
Производитель
|
|---|
|
Артикул
|
Наименование |
Производитель
|
|---|
|
Артикул
|
Наименование |
Производитель
|
|---|
|
Артикул
|
Наименование |
Производитель
|
|---|
|
Артикул
|
Наименование |
Производитель
|
|---|
|
Артикул
|
Наименование |
Производитель
|
|---|
|
Артикул
|
Наименование |
Производитель
|
|---|
Акции и предложения
Популярные продукты:
Anti-Human CD1b Antibody (Fs0326), FITC (FHD81011)
Источник (хозяин): мышь
Реактивность подтвержденная: человек
Валидировано для: ELISA, FCM, IF, IP, WB
Реактивность подтвержденная: человек
Валидировано для: ELISA, FCM, IF, IP, WB
Alpha-Amylase Inhibitor Screening Kit (E-BC-D018)
Организм: для всех
ELISA Kit DIY Materials for Osteocalcin (OC) (KSA471Ga01)
Организм: курица
Диапазон определения: 1.56-100 пг/мл
Чувствительность: 0.67 пг/мл
Диапазон определения: 1.56-100 пг/мл
Чувствительность: 0.67 пг/мл
ELISA Kit DIY Materials for Aggrecan (AGC) (KSB908Ra01)
Организм: крыса
Диапазон определения: 3.12-200 нг/мл
Чувствительность: 1.17 нг/мл
Диапазон определения: 3.12-200 нг/мл
Чувствительность: 1.17 нг/мл
ELISA Kit DIY Materials for Aryl Hydrocarbon Receptor (AhR) (KSB354Ra01)
Организм: крыса
Диапазон определения: 0.156-10 нг/мл
Чувствительность: 0.057 нг/мл
Диапазон определения: 0.156-10 нг/мл
Чувствительность: 0.057 нг/мл
Rat CDK5 and ABL1 enzyme subste 1(CABLES1) ELISA kit (E02C1295)
Организм: крыса

