| UNIPROT | P51513 |
| Иммуноген | Синтетический пептид, соответствующий human Nova1 |
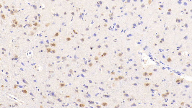
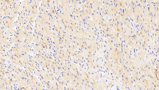
Nova1 Recombinant Rabbit mAb (ARM1547)
Реактивность подтвержденная:
человек, мышь, крыса
Источник (хозяин):
кролик
Валидировано для:
IHC
WB
Характеристики
Техническое описание
| Каталожный номер | ARM1547 |
| Название антигена | Neuro Oncological Ventral Antigen 1 (NOVA1) |
| UNIPROT | P51513 |
| Иммуноген | Синтетический пептид, соответствующий human Nova1 |
| Английские синонимы | Onconeural ventral antigen 1, Paraneoplastic Ri antigen, Ventral neuron-specific protein 1, RNA-binding protein Nova-1 |
Реактивность подтвержденная Нужна другая реактивность? |
человек, мышь, крыса |
| Источник (хозяин) | кролик |
| Изотип | IgG |
| Клональность | моноклональное |
| Рекомбинантное | да |
| Готовое к использованию | нет |
| Концентрация | 1 мг/мл |
| Конъюгат | По запросу: HRP, biotin, Cy3, Cy5, APC, AF488, AF594, AF405 |
| Валидировано для | IHC WB Иммуногистохимия; Вестерн-блоттинг |
| Рекомендуемые разведения | WB 1:500~1:2000; IHC 1:50~1:200 |
| Метод очистки | Антигенспецифическая аффинная хроматография |
| Состав буфера | 50 нмоль Tris-Glycine(pH 7.4); 0.15M NaCl; 40% глицерин; 0.01% азид натрия и 0.05% БСА |
| Условия доставки | термобокс с аккумуляторами холода |
| Условия хранения | Сразу после получения аликвотировать и хранить при -20ºС до 12 месяцев с момента получения. Избегать повторения циклов замерзания/оттаивания |
| Срок хранения | 12 месяцев |
| Производитель | AssayVector |
|
Артикул
|
Наименование |
Производитель
|
|---|
|
Артикул
|
Наименование |
Производитель
|
|---|
Акции и предложения
Популярные продукты:
Bovine Vitamin C ELISA kit (E11V0022)
Организм: корова
Anti-SEC11A Polyclonal Antibody (PHF61401)
Источник (хозяин): кролик
Реактивность подтвержденная: человек, мышь, крыса
Валидировано для: ELISA, IHC, WB
Реактивность подтвержденная: человек, мышь, крыса
Валидировано для: ELISA, IHC, WB
Nova1 Recombinant Rabbit mAb (ARM1547)
Источник (хозяин): кролик
Реактивность подтвержденная: человек, мышь, крыса
Валидировано для: IHC, WB
Реактивность подтвержденная: человек, мышь, крыса
Валидировано для: IHC, WB
CRP Antibody (DF6027)
Источник (хозяин): кролик
Реактивность подтвержденная: человек, мышь, крыса, обезьяна
Валидировано для: IHC, WB, IF, ICC
Реактивность подтвержденная: человек, мышь, крыса, обезьяна
Валидировано для: IHC, WB, IF, ICC
Active Band 3 (BND3) (APB681Ra01)
Источник (хозяин): E.coli
Организм: крыса
Фрагмент: Ile558-Phe675
Теги: N-концевой His-Tag
Биоактивность: да
Организм: крыса
Фрагмент: Ile558-Phe675
Теги: N-концевой His-Tag
Биоактивность: да
Polyclonal Antibody to Complement Component 7 (C7) (PAA731Ra01)
Источник (хозяин): кролик
Реактивность подтвержденная: крыса
Валидировано для: IHC, WB
Реактивность подтвержденная: крыса
Валидировано для: IHC, WB

