| UNIPROT | P09086 |
| Иммуноген | Синтетический пептид, соответствующий human Oct-2 |
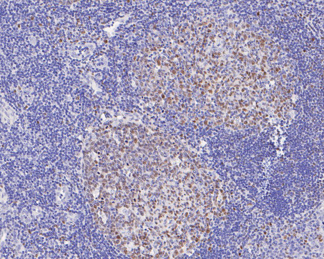
Oct-2 Recombinant Rabbit mAb (ARM1153)
Реактивность подтвержденная:
человек
Источник (хозяин):
кролик
Валидировано для:
FCM
IHC
WB
IF
ICC
Характеристики
Техническое описание
| Каталожный номер | ARM1153 |
| Название антигена | Octamer Binding Transcription Factor 2 (OCT2) |
| UNIPROT | P09086 |
| Иммуноген | Синтетический пептид, соответствующий human Oct-2 |
| Английские синонимы | OTF2, POU2F2, POU Domain,Class 2,Transcription Factor 2, Lymphoid-restricted immunoglobulin octamer-binding protein NF-A2, Octamer-binding transcription factor 2 |
Реактивность подтвержденная Нужна другая реактивность? |
человек |
| Источник (хозяин) | кролик |
| Изотип | IgG |
| Клональность | моноклональное |
| Рекомбинантное | да |
| Готовое к использованию | нет |
| Концентрация | 1 мг/мл |
| Конъюгат | По запросу: HRP, biotin, Cy3, Cy5, APC, AF488, AF594, AF405 |
| Валидировано для | FCM IHC WB IF ICC Проточная цитометрия; Иммуногистохимия; Вестерн-блоттинг; Иммунофлуоресценция; Иммуноцитохимия |
| Рекомендуемые разведения | WB 1:500~1:2000; IHC 1:50~1:200; IF/ICC 1:50~1:200; FCM 1:50 |
| Метод очистки | Антигенспецифическая аффинная хроматография |
| Состав буфера | 50 нмоль Tris-Glycine(pH 7.4); 0.15M NaCl; 40% глицерин; 0.01% азид натрия и 0.05% БСА |
| Условия доставки | термобокс с аккумуляторами холода |
| Условия хранения | Сразу после получения аликвотировать и хранить при -20ºС до 12 месяцев с момента получения. Избегать повторения циклов замерзания/оттаивания |
| Срок хранения | 12 месяцев |
| Производитель | AssayVector |
|
Артикул
|
Наименование |
Производитель
|
|---|
|
Артикул
|
Наименование |
Производитель
|
|---|
|
Артикул
|
Наименование |
Производитель
|
|---|
|
Артикул
|
Наименование |
Производитель
|
|---|
|
Артикул
|
Наименование |
Производитель
|
|---|
Акции и предложения
Популярные продукты:
Monoclonal Antibody to Heat Shock 70kDa Protein 1B (HSPA1B) (MAA301Bo25)
Источник (хозяин): мышь
Реактивность подтвержденная: корова
Валидировано для: WB
Реактивность подтвержденная: корова
Валидировано для: WB
Canine Cohesin subunit SA 2(STAG2) ELISA kit (E08C2451)
Организм: собака
KRIBIOLISA Insulin Aspart ELISA (KBI2002)
Организм: человек
Диапазон определения: 0 - 2000 нг/мл
Чувствительность: 15 нг/мл
Диапазон определения: 0 - 2000 нг/мл
Чувствительность: 15 нг/мл
Anti-Human IFITM5 Antibody (SAA1495) (RHA01101)
Источник (хозяин): мышь
Реактивность подтвержденная: человек
Валидировано для: ELISA
Реактивность подтвержденная: человек
Валидировано для: ELISA
Recombinant Human TMOD1 Protein, N-His (YHD77501)
Источник (хозяин): E.coli
Организм: человек
Фрагмент: Pro39-His138
Теги: N-His
Биоактивность: нет
Организм: человек
Фрагмент: Pro39-His138
Теги: N-His
Биоактивность: нет
Recombinant Human COQ6 Protein, N-His (YHJ86801)
Источник (хозяин): E.coli
Организм: человек
Фрагмент: Met1-Lys468
Теги: N-His
Биоактивность: нет
Организм: человек
Фрагмент: Met1-Lys468
Теги: N-His
Биоактивность: нет

