| UNIPROT | Q9BRP0 |
| Иммуноген | Синтетический пептид, соответствующий human OVOL2 во внутренней части белка |
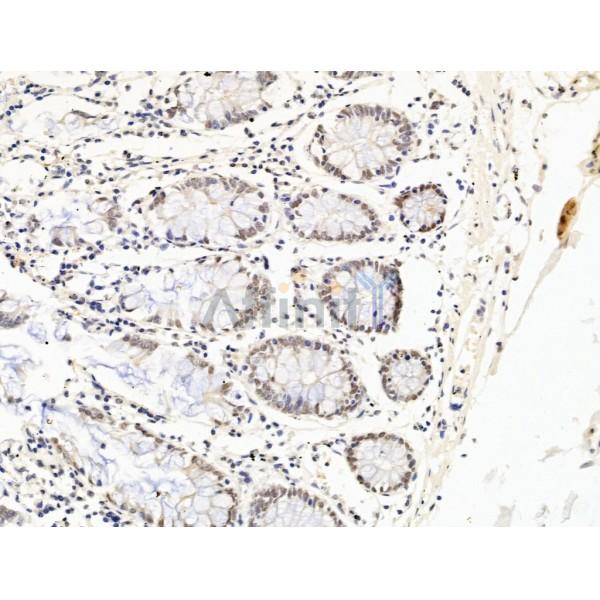
OVOL2 Antibody (DF13564)
Реактивность подтвержденная:
человек, мышь, крыса
Источник (хозяин):
кролик
Валидировано для:
IHC
WB
IF
ICC
Характеристики
Техническое описание
| Каталожный номер | DF13564 |
| Название антигена | Ovo Like Protein 2 (OVOL2) |
| UNIPROT | Q9BRP0 |
| Иммуноген | Синтетический пептид, соответствующий human OVOL2 во внутренней части белка |
| Английские синонимы | ZNF339, Zinc Finger Protein 339, Transcription factor Ovo-like 2 |
Реактивность подтвержденная Нужна другая реактивность? |
человек, мышь, крыса |
| Реактивность предсказываемая | свинья, корова, лошадь, овца, кролик, собака, курица |
| Источник (хозяин) | кролик |
| Изотип | IgG |
| Клональность | поликлональное |
| Рекомбинантное | нет |
| Готовое к использованию | нет |
| Концентрация | 1 мг/мл |
| Конъюгат | нет |
| Валидировано для | IHC WB IF ICC Иммуногистохимия; Вестерн-блоттинг; Иммунофлуоресценция; Иммуноцитохимия |
| Рекомендуемые разведения | WB: 1:500-1:2000; IF/ICC: 1:100-1:500; IHC: 1:50-1:200; Оптимальное разведение определяется конечным потребителем |
| Метод очистки | Антисыворотку очищали методом аффинной хроматографии пептидов с использованием связывающей смолы SulfoLink® (Thermo Fisher Scientific) |
| Состав буфера | Rabbit IgG в PBS; pH 7.4; 150mM NaCl; 0.02% азид натрия и 50% глицерин |
| RRID | AB_2846583 |
| Условия доставки | Термобокс с аккумуляторами холода |
| Условия хранения | Хранить при -20ºС. Стабилен 12 месяцев с даты получения |
| Срок хранения | 12 месяцев |
| Производитель | Affinity |
| Ссылка на страницу товара на сайте производителя | https://www.affbiotech.com/goods-16942-DF13564-OVOL2_Antibody.html |
|
Артикул
|
Наименование |
Производитель
|
|---|
|
Артикул
|
Наименование |
Производитель
|
|---|
Акции и предложения
Популярные продукты:
Galectin 3 Mouse Monoclonal Antibody (BF8044)
Источник (хозяин): мышь
Реактивность подтвержденная: человек, мышь, крыса
Валидировано для: IHC, WB
Реактивность подтвержденная: человек, мышь, крыса
Валидировано для: IHC, WB
Bovine Lactadherin(MFGE8) ELISA kit (E11L0335)
Организм: корова
Recombinant Human PSMA / FOLH1 protein (His tag) (PDEH100942)
Источник (хозяин): E.coli
Организм: человек
Фрагмент: Tyr 471-Ala 750
Теги: N-His
Биоактивность: нет
Организм: человек
Фрагмент: Tyr 471-Ala 750
Теги: N-His
Биоактивность: нет
Recombinant Staphylococcus aureus srtA/Sortase A Protein, N-His-SUMO (YXX08503)
Источник (хозяин): E.coli
Организм: бактерии
Фрагмент: Gln60-Lys206
Теги: N-His-SUMO
Биоактивность: нет
Организм: бактерии
Фрагмент: Gln60-Lys206
Теги: N-His-SUMO
Биоактивность: нет
Recombinant Mouse CD134/TNFRSF4/OX40 Protein, N-His (YME43201)
Источник (хозяин): E.coli
Организм: мышь
Фрагмент: Thr31-Thr177
Теги: N-His
Биоактивность: нет
Организм: мышь
Фрагмент: Thr31-Thr177
Теги: N-His
Биоактивность: нет

