| UNIPROT | Q15185 |
| Иммуноген | Синтетический пептид, соответствующий human p23/PTGES3 |
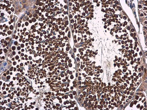
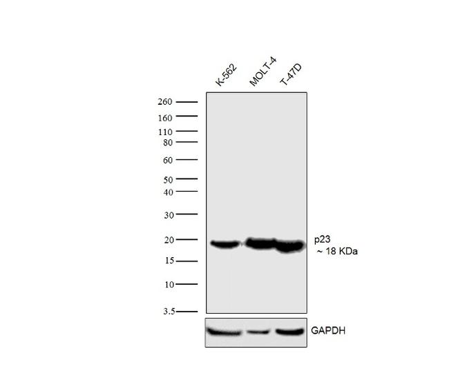
p23 Recombinant Rabbit mAb (ARM2607)
Реактивность подтвержденная:
человек, мышь, крыса
Источник (хозяин):
кролик
Валидировано для:
IP
WB
IF
ICC
Характеристики
Техническое описание
| Каталожный номер | ARM2607 |
| Название антигена | Prostaglandin E Synthase 3, Cytosolic (PTGES3) |
| UNIPROT | Q15185 |
| Иммуноген | Синтетический пептид, соответствующий human p23/PTGES3 |
| Английские синонимы | TEBP, P23, cPGES, Cytosolic prostaglandin E2 synthase, Hsp90 co-chaperone, Progesterone receptor complex p23, Telomerase-binding protein p23 |
Реактивность подтвержденная Нужна другая реактивность? |
человек, мышь, крыса |
| Источник (хозяин) | кролик |
| Изотип | IgG |
| Клональность | моноклональное |
| Рекомбинантное | да |
| Готовое к использованию | нет |
| Концентрация | 1 мг/мл |
| Конъюгат | По запросу: HRP, biotin, Cy3, Cy5, APC, AF488, AF594, AF405 |
| Валидировано для | IP WB IF ICC Иммунопреципитация; Вестерн-блоттинг; Иммунофлуоресценция; Иммуноцитохимия |
| Рекомендуемые разведения | WB 1:500~1:2000; IF/ICC 1:50~1:200; IP 1:50 |
| Метод очистки | Антигенспецифическая аффинная хроматография |
| Состав буфера | 50 нмоль Tris-Glycine(pH 7.4); 0.15M NaCl; 40% глицерин; 0.01% азид натрия и 0.05% БСА |
| Условия доставки | термобокс с аккумуляторами холода |
| Условия хранения | Сразу после получения аликвотировать и хранить при -20ºС до 12 месяцев с момента получения. Избегать повторения циклов замерзания/оттаивания |
| Срок хранения | 12 месяцев |
| Производитель | AssayVector |
|
Артикул
|
Наименование |
Производитель
|
|---|
|
Артикул
|
Наименование |
Производитель
|
|---|
|
Артикул
|
Наименование |
Производитель
|
|---|
Акции и предложения
Популярные продукты:
PE/Cyanine5.5 Anti-Mouse CD80 Antibody[16-10A1] (E-AB-F0992UI)
Источник (хозяин): хомяк
Реактивность подтвержденная: мышь
Валидировано для: FCM
Реактивность подтвержденная: мышь
Валидировано для: FCM
Anti-Streptococcus pneumoniae CWPS Antibody (SAb2383) (RXX27002)
Источник (хозяин): кролик
Реактивность подтвержденная: бактерии
Валидировано для: ELISA
Реактивность подтвержденная: бактерии
Валидировано для: ELISA
Anti-Human EPHA2 Antibody (SHM16), APC (FHD82422)
Источник (хозяин): мышь
Реактивность подтвержденная: человек
Валидировано для: FCM
Реактивность подтвержденная: человек
Валидировано для: FCM
Anti-Human CD138/SDC1 Antibody (Fs0318), PerCP (FHD30834)
Источник (хозяин): мышь
Реактивность подтвержденная: человек
Валидировано для: ELISA, FCM, IF, WB
Реактивность подтвержденная: человек
Валидировано для: ELISA, FCM, IF, WB
Anti-Human CD138/SDC1 Antibody (Fs0318), PE (FHD30833)
Источник (хозяин): мышь
Реактивность подтвержденная: человек
Валидировано для: ELISA, FCM, IF, WB
Реактивность подтвержденная: человек
Валидировано для: ELISA, FCM, IF, WB
Anti-Human CD138/SDC1 Antibody (Fs0317), PerCP (FHD30824)
Источник (хозяин): мышь
Реактивность подтвержденная: человек
Валидировано для: ELISA, FCM, IF, WB
Реактивность подтвержденная: человек
Валидировано для: ELISA, FCM, IF, WB

