| UNIPROT | Q15077 |
| Иммуноген | Синтетический пептид, соответствующий human P2Y6 |
P2Y6 Recombinant Rabbit mAb (ARM1083)
Реактивность подтвержденная:
человек
Источник (хозяин):
кролик
Валидировано для:
IHC
IP
WB
IF
ICC
Характеристики
Техническое описание
| Каталожный номер | ARM1083 |
| Название антигена | Pyrimidinergic Receptor P2Y, G Protein Coupled 6 (P2RY6) |
| UNIPROT | Q15077 |
| Иммуноген | Синтетический пептид, соответствующий human P2Y6 |
| Английские синонимы | P2Y6, P2Y Purinoceptor 6 |
Реактивность подтвержденная Нужна другая реактивность? |
человек |
| Источник (хозяин) | кролик |
| Изотип | IgG |
| Клональность | моноклональное |
| Рекомбинантное | да |
| Готовое к использованию | нет |
| Концентрация | 1 мг/мл |
| Конъюгат | По запросу: HRP, biotin, Cy3, Cy5, APC, AF488, AF594, AF405 |
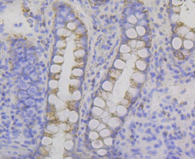
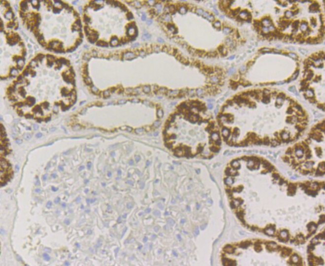
| Валидировано для | IHC IP WB IF ICC Иммуногистохимия; Иммунопреципитация; Вестерн-блоттинг; Иммунофлуоресценция; Иммуноцитохимия |
| Рекомендуемые разведения | WB 1:500~1:2000; IHC 1:50~1:200; IF/ICC 1:50~1:200; IP 1:50 |
| Метод очистки | Антигенспецифическая аффинная хроматография |
| Состав буфера | 50 нмоль Tris-Glycine(pH 7.4); 0.15M NaCl; 40% глицерин; 0.01% азид натрия и 0.05% БСА |
| Условия доставки | термобокс с аккумуляторами холода |
| Условия хранения | Сразу после получения аликвотировать и хранить при -20ºС до 12 месяцев с момента получения. Избегать повторения циклов замерзания/оттаивания |
| Срок хранения | 12 месяцев |
| Производитель | AssayVector |
|
Артикул
|
Наименование |
Производитель
|
|---|
|
Артикул
|
Наименование |
Производитель
|
|---|
Акции и предложения
Популярные продукты:
ELISA Kit DIY Materials for Myosin Heavy Chain 9, Non Muscle (MYH9) (KSD422Hu01)
Организм: человек
Диапазон определения: 0.156-10 нг/мл
Чувствительность: 0.055 нг/мл
Диапазон определения: 0.156-10 нг/мл
Чувствительность: 0.055 нг/мл
Monoclonal Antibody to Sialic Acid Binding Ig Like Lectin 2 (CD22) (MAB144Hu28)
Источник (хозяин): мышь
Реактивность подтвержденная: человек
Валидировано для: WB
Реактивность подтвержденная: человек
Валидировано для: WB
Sheep Chymotrypsinogen B2(CTRB2) ELISA kit (E14C2159)
Организм: овца
Chicken Calcineurin Binding Protein 1 ELISA kit (E12C0536)
Организм: курица
Porcine Acylphosphatase 1(ACYP1) ELISA kit (E07A1237)
Организм: свинья

