| UNIPROT | P07237 |
| Иммуноген | Синтетический пептид, соответствующий human P4HB |
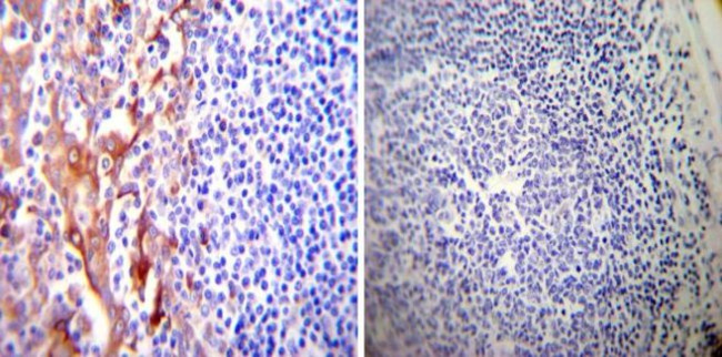
P4HB Recombinant Rabbit mAb (ARM1527)
Реактивность подтвержденная:
человек, мышь, крыса
Источник (хозяин):
кролик
Валидировано для:
FCM
IHC
WB
IF
ICC
Характеристики
Техническое описание
| Каталожный номер | ARM1527 |
| Название антигена | Protein Disulfide Isomerase (PDI) |
| UNIPROT | P07237 |
| Иммуноген | Синтетический пептид, соответствующий human P4HB |
| Английские синонимы | P4HB, ERBA2L, PDIA1, PO4DB, PROHB, DSI, GIT, PDI, PO4HB, P4Hbeta, Prolyl 4-Hydroxylase Subunit Beta, Procollagen-Proline 2-Oxoglutarate 4-Dioxygenase Beta Polypeptide |
Реактивность подтвержденная Нужна другая реактивность? |
человек, мышь, крыса |
| Источник (хозяин) | кролик |
| Изотип | IgG |
| Клональность | моноклональное |
| Рекомбинантное | да |
| Готовое к использованию | нет |
| Концентрация | 1 мг/мл |
| Конъюгат | По запросу: HRP, biotin, Cy3, Cy5, APC, AF488, AF594, AF405 |
| Валидировано для | FCM IHC WB IF ICC Проточная цитометрия; Иммуногистохимия; Вестерн-блоттинг; Иммунофлуоресценция; Иммуноцитохимия |
| Рекомендуемые разведения | WB 1:500~1:2000; IHC 1:50~1:200; IF/ICC 1:50~1:200; FCM 1:50 |
| Метод очистки | Антигенспецифическая аффинная хроматография |
| Состав буфера | 50 нмоль Tris-Glycine(pH 7.4); 0.15M NaCl; 40% глицерин; 0.01% азид натрия и 0.05% БСА |
| Условия доставки | термобокс с аккумуляторами холода |
| Условия хранения | Сразу после получения аликвотировать и хранить при -20ºС до 12 месяцев с момента получения. Избегать повторения циклов замерзания/оттаивания |
| Срок хранения | 12 месяцев |
| Производитель | AssayVector |
|
Артикул
|
Наименование |
Производитель
|
|---|
|
Артикул
|
Наименование |
Производитель
|
|---|
|
Артикул
|
Наименование |
Производитель
|
|---|
|
Артикул
|
Наименование |
Производитель
|
|---|
Акции и предложения
Популярные продукты:
Monkey Copine 5(CPNE5) ELISA kit (E09C2014)
Организм: обезьяна
Monkey Cullin 4A(CUL4A) ELISA kit (E09C2184)
Организм: обезьяна
Rat B Cell Linker Protein ELISA kit (E02B0331)
Организм: крыса
Canine Z-DNA binding protein 1 ELISA Kit (E08Z0001)
Организм: собака

