| UNIPROT | P07237 |
| Иммуноген | Синтетический пептид, соответствующий human P4HB |
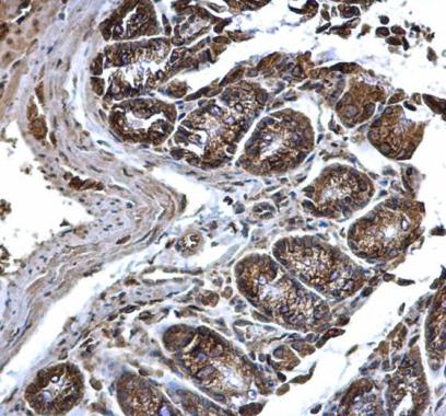
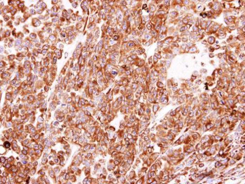
P4HB Recombinant Rabbit mAb (ARM2085)
Реактивность подтвержденная:
человек, мышь, крыса
Источник (хозяин):
кролик
Валидировано для:
IHC
IP
WB
Характеристики
Техническое описание
| Каталожный номер | ARM2085 |
| Название антигена | Protein Disulfide Isomerase (PDI) |
| UNIPROT | P07237 |
| Иммуноген | Синтетический пептид, соответствующий human P4HB |
| Английские синонимы | P4HB, ERBA2L, PDIA1, PO4DB, PROHB, DSI, GIT, PDI, PO4HB, P4Hbeta, Prolyl 4-Hydroxylase Subunit Beta, Procollagen-Proline 2-Oxoglutarate 4-Dioxygenase Beta Polypeptide |
Реактивность подтвержденная Нужна другая реактивность? |
человек, мышь, крыса |
| Источник (хозяин) | кролик |
| Изотип | IgG |
| Клональность | моноклональное |
| Рекомбинантное | да |
| Готовое к использованию | нет |
| Концентрация | 1 мг/мл |
| Конъюгат | По запросу: HRP, biotin, Cy3, Cy5, APC, AF488, AF594, AF405 |
| Валидировано для | IHC IP WB Иммуногистохимия; Иммунопреципитация; Вестерн-блоттинг |
| Рекомендуемые разведения | WB 1:500~1:2000; IHC 1:50~1:200; IP 1:50 |
| Метод очистки | Антигенспецифическая аффинная хроматография |
| Состав буфера | 50 нмоль Tris-Glycine(pH 7.4); 0.15M NaCl; 40% глицерин; 0.01% азид натрия и 0.05% БСА |
| Условия доставки | термобокс с аккумуляторами холода |
| Условия хранения | Сразу после получения аликвотировать и хранить при -20ºС до 12 месяцев с момента получения. Избегать повторения циклов замерзания/оттаивания |
| Срок хранения | 12 месяцев |
| Производитель | AssayVector |
|
Артикул
|
Наименование |
Производитель
|
|---|
|
Артикул
|
Наименование |
Производитель
|
|---|
|
Артикул
|
Наименование |
Производитель
|
|---|
|
Артикул
|
Наименование |
Производитель
|
|---|
Акции и предложения
Популярные продукты:
KRIBIOLISA Neutralizing Antibodies to Tenecteplase (TNKase) ELISA (KBN9062)
Организм: человек
Диапазон определения: качественное определение
Чувствительность: качественное определение
Диапазон определения: качественное определение
Чувствительность: качественное определение
PE Anti-Mouse CD3 Antibody[17A2] (FCE1560)
Источник (хозяин): крыса
Реактивность подтвержденная: мышь
Валидировано для: FCM
Реактивность подтвержденная: мышь
Валидировано для: FCM
Elab Fluor® 594-Rabbit Anti-Mouse IgG (E-AB-4103)
Изотип: IgG
Источник (хозяин): кролик
Реактивность подтвержденная: мышь
Валидировано для: FCM, IF
Источник (хозяин): кролик
Реактивность подтвержденная: мышь
Валидировано для: FCM, IF
Anti-Mouse EGFR/ERBB1 Antibody (SAA2220), PerCp (FMB86914)
Источник (хозяин): кролик
Реактивность подтвержденная: мышь
Валидировано для: ELISA, FCM, WB
Реактивность подтвержденная: мышь
Валидировано для: ELISA, FCM, WB
P4HB Recombinant Rabbit mAb (ARM2085)
Источник (хозяин): кролик
Реактивность подтвержденная: человек, мышь, крыса
Валидировано для: IHC, IP, WB
Реактивность подтвержденная: человек, мышь, крыса
Валидировано для: IHC, IP, WB

