| UNIPROT | P08183 |
| Иммуноген | Рекомбинантный белок human P Glycoprotein |
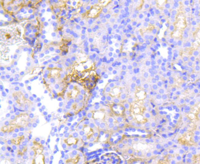
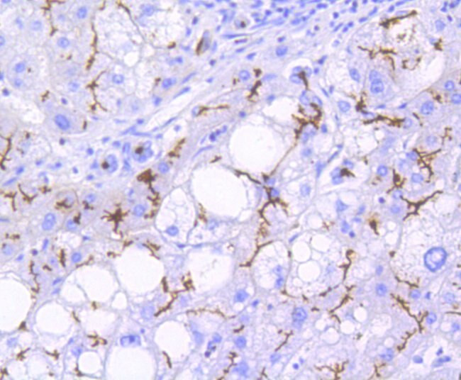
P Glycoprotein Recombinant Rabbit mAb (ARM1082)
Реактивность подтвержденная:
человек
Источник (хозяин):
кролик
Валидировано для:
IHC
WB
Характеристики
Техническое описание
| Каталожный номер | ARM1082 |
| Название антигена | Permeability Glycoprotein (Pgp) |
| UNIPROT | P08183 |
| Иммуноген | Рекомбинантный белок human P Glycoprotein |
| Английские синонимы | CD243, CD 243, CD-243, ABCB1, ABC20, CLCS, GP170, MDR1, PGY1, P-Glycoprotein, Multidrug resistance protein 1, ATP-Binding Cassette,Sub-Family B(MDR/TAP),Member 1, Colchicin Sensitivity |
| Русские синонимы | Белок множественной лекарственной устойчивости 1 |
Реактивность подтвержденная Нужна другая реактивность? |
человек |
| Источник (хозяин) | кролик |
| Изотип | IgG |
| Клональность | моноклональное |
| Рекомбинантное | да |
| Готовое к использованию | нет |
| Концентрация | 1 мг/мл |
| Конъюгат | По запросу: HRP, biotin, Cy3, Cy5, APC, AF488, AF594, AF405 |
| Валидировано для | IHC WB Иммуногистохимия; Вестерн-блоттинг |
| Рекомендуемые разведения | WB 1:500~1:2000; IHC 1:50~1:200 |
| Метод очистки | Антигенспецифическая аффинная хроматография |
| Состав буфера | 50 нмоль Tris-Glycine(pH 7.4); 0.15M NaCl; 40% глицерин; 0.01% азид натрия и 0.05% БСА |
| Условия доставки | термобокс с аккумуляторами холода |
| Условия хранения | Сразу после получения аликвотировать и хранить при -20ºС до 12 месяцев с момента получения. Избегать повторения циклов замерзания/оттаивания |
| Срок хранения | 12 месяцев |
| Производитель | AssayVector |
|
Артикул
|
Наименование |
Производитель
|
|---|
|
Артикул
|
Наименование |
Производитель
|
|---|
|
Артикул
|
Наименование |
Производитель
|
|---|
|
Артикул
|
Наименование |
Производитель
|
|---|
Акции и предложения
Популярные продукты:
ELISA Kit DIY Materials for Erythropoietin (EPO) (KSA028Ca01)
Организм: собака
Диапазон определения: 31.2-2000 пг/мл
Чувствительность: 13.7 пг/мл
Диапазон определения: 31.2-2000 пг/мл
Чувствительность: 13.7 пг/мл
Sheep Bestrophin 2(BEST2) ELISA kit (E14B0790)
Организм: овца
Canine Glutathione Peroxidase 3 ELISA kit (E08G0617)
Организм: собака
Bovine microtubule-actin crosslinking factor 1 ELISA kit (E11M1066)
Организм: корова

