| UNIPROT | Q8TE04 |
| Иммуноген | Синтетический пептид, соответствующий human PANK1 |
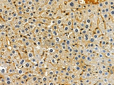
PANK1 Antibody (DF16096)
Реактивность подтвержденная:
человек, мышь
Источник (хозяин):
кролик
Валидировано для:
IHC
IF
ICC
Характеристики
Техническое описание
| Каталожный номер | DF16096 |
| Название антигена | Pantothenate Kinase 1 (PANK1) |
| UNIPROT | Q8TE04 |
| Иммуноген | Синтетический пептид, соответствующий human PANK1 |
| Английские синонимы | PANK, PANK1a, PANK1b, hPanK1, Pantothenic acid kinase 1 |
Реактивность подтвержденная Нужна другая реактивность? |
человек, мышь |
| Источник (хозяин) | кролик |
| Изотип | IgG |
| Клональность | поликлональное |
| Рекомбинантное | нет |
| Готовое к использованию | нет |
| Концентрация | 1 мг/мл |
| Конъюгат | нет |
| Валидировано для | IHC IF ICC Иммуногистохимия; Иммунофлуоресценция; Иммуноцитохимия |
| Рекомендуемые разведения | IF/ICC: 1:100-1:500; IHC: 1:50-1:200; Оптимальное разведение определяется конечным потребителем |
| Метод очистки | Антисыворотку очищали методом аффинной хроматографии пептидов с использованием связывающей смолы SulfoLink® (Thermo Fisher Scientific) |
| Состав буфера | Rabbit IgG в PBS; pH 7.4; 150mM NaCl; 0.02% азид натрия и 50% глицерин |
| Условия доставки | Термобокс с аккумуляторами холода |
| Условия хранения | Хранить при -20ºС. Стабилен 12 месяцев с даты получения |
| Срок хранения | 12 месяцев |
| Производитель | Affinity |
| Ссылка на страницу товара на сайте производителя | https://www.affbiotech.com/goods-20540-DF16096-PANK1_Antibody.html |
|
Артикул
|
Наименование |
Производитель
|
|---|
Акции и предложения
Популярные продукты:
G3BP Recombinant Rabbit mAb (ARM1121)
Источник (хозяин): кролик
Реактивность подтвержденная: человек
Валидировано для: FCM, IHC, IP, WB, IF, ICC
Реактивность подтвержденная: человек
Валидировано для: FCM, IHC, IP, WB, IF, ICC
PANK1 Antibody (DF16096)
Источник (хозяин): кролик
Реактивность подтвержденная: человек, мышь
Валидировано для: IHC, IF, ICC
Реактивность подтвержденная: человек, мышь
Валидировано для: IHC, IF, ICC
Multiplex Assay Kit for Cholinergic Receptor, Nicotinic, Alpha 1 (CHRNa1) (LMA981Hu)
Организм: человек
Диапазон определения: 0.05-50 нг/мл
Чувствительность: 0.017 нг/мл
Диапазон определения: 0.05-50 нг/мл
Чувствительность: 0.017 нг/мл
Multiplex Assay Kit for Cholecystokinin A Receptor (CCKAR) (LMA104Mu)
Организм: мышь
Диапазон определения: 0.01-10 нг/мл
Чувствительность: 0.003 нг/мл
Диапазон определения: 0.01-10 нг/мл
Чувствительность: 0.003 нг/мл
Anti-Cluster Of Differentiation 8a (CD8a) Monoclonal Antibody (FAB099Hu04)
Источник (хозяин): мышь
Реактивность подтвержденная: человек
Валидировано для: FCM
Реактивность подтвержденная: человек
Валидировано для: FCM

