| UNIPROT | Q96KB5 |
| Иммуноген | Синтетический пептид, соответствующий human PBK |
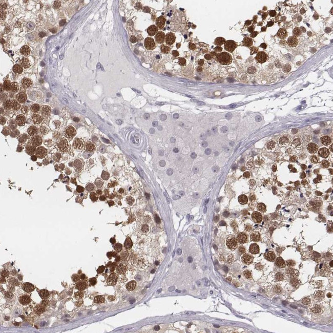
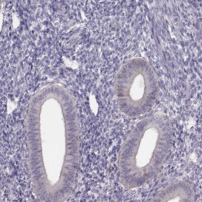
PBK Recombinant Rabbit mAb (ARM1016)
Реактивность подтвержденная:
человек
Источник (хозяин):
кролик
Валидировано для:
IHC
IP
WB
Характеристики
Техническое описание
| Каталожный номер | ARM1016 |
| Название антигена | PDZ Binding Kinase (PBK) |
| UNIPROT | Q96KB5 |
| Иммуноген | Синтетический пептид, соответствующий human PBK |
| Английские синонимы | SPK, Nori-3, TOPK, CT84, Spermatogenesis-related protein kinase, T-LAK Cell-Originated Protein Kinase, Lymphokine-activated killer T-cell-originated protein kinase |
Реактивность подтвержденная Нужна другая реактивность? |
человек |
| Источник (хозяин) | кролик |
| Изотип | IgG |
| Клональность | моноклональное |
| Рекомбинантное | да |
| Готовое к использованию | нет |
| Концентрация | 1 мг/мл |
| Конъюгат | По запросу: HRP, biotin, Cy3, Cy5, APC, AF488, AF594, AF405 |
| Валидировано для | IHC IP WB Иммуногистохимия; Иммунопреципитация; Вестерн-блоттинг |
| Рекомендуемые разведения | WB 1:500~1:2000; IHC 1:50~1:200; IP 1:50 |
| Метод очистки | Антигенспецифическая аффинная хроматография |
| Состав буфера | 50 нмоль Tris-Glycine(pH 7.4); 0.15M NaCl; 40% глицерин; 0.01% азид натрия и 0.05% БСА |
| Условия доставки | термобокс с аккумуляторами холода |
| Условия хранения | Сразу после получения аликвотировать и хранить при -20ºС до 12 месяцев с момента получения. Избегать повторения циклов замерзания/оттаивания |
| Срок хранения | 12 месяцев |
| Производитель | AssayVector |
|
Артикул
|
Наименование |
Производитель
|
|---|
|
Артикул
|
Наименование |
Производитель
|
|---|
|
Артикул
|
Наименование |
Производитель
|
|---|
|
Артикул
|
Наименование |
Производитель
|
|---|
Акции и предложения
Популярные продукты:
Mouse Cystatin SN(CST1) ELISA kit (E03C2119)
Организм: мышь
Monkey Glutaredoxin-related protein 5, mitochondrial ELISA kit (E09G0691)
Организм: обезьяна
Canine Acetylcholine Receptor M1 ELISA kit (E08A0107)
Организм: собака
PBK Recombinant Rabbit mAb (ARM1016)
Источник (хозяин): кролик
Реактивность подтвержденная: человек
Валидировано для: IHC, IP, WB
Реактивность подтвержденная: человек
Валидировано для: IHC, IP, WB
Multiplex Assay Kit for Low Density Lipoprotein (LDL) (LMB107Mu)
Организм: мышь
Диапазон определения: 0.39-400 нг/мл
Чувствительность: 0.13 нг/мл
Диапазон определения: 0.39-400 нг/мл
Чувствительность: 0.13 нг/мл

