| UNIPROT | P09619 |
| Иммуноген | Синтетический пептид, соответствующий human PDGFR beta |
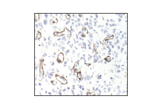
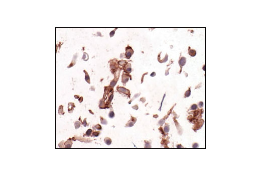
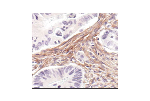
PDGFR beta Recombinant Rabbit mAb (ARM2584)
Реактивность подтвержденная:
человек, мышь, крыса
Источник (хозяин):
кролик
Валидировано для:
FCM
IHC
IP
WB
IF
ICC
Характеристики
Техническое описание
| Каталожный номер | ARM2584 |
| Название антигена | Platelet Derived Growth Factor Receptor Beta (PDGFRb) |
| UNIPROT | P09619 |
| Иммуноген | Синтетический пептид, соответствующий human PDGFR beta |
| Английские синонимы | CD140b, CD 140b, CD-140b, JTK12, PDGF-R-Beta, PDGFR, PDGFR1, CD140 antigen-like family member B, Platelet-derived growth factor receptor 1, Beta-type platelet-derived growth factor receptor |
Реактивность подтвержденная Нужна другая реактивность? |
человек, мышь, крыса |
| Источник (хозяин) | кролик |
| Изотип | IgG |
| Клональность | моноклональное |
| Рекомбинантное | да |
| Готовое к использованию | нет |
| Концентрация | 1 мг/мл |
| Конъюгат | По запросу: HRP, biotin, Cy3, Cy5, APC, AF488, AF594, AF405 |
| Валидировано для | FCM IHC IP WB IF ICC Проточная цитометрия; Иммуногистохимия; Иммунопреципитация; Вестерн-блоттинг; Иммунофлуоресценция; Иммуноцитохимия |
| Рекомендуемые разведения | WB 1:500~1:2000; IHC 1:50~1:200; IF/ICC 1:50~1:200; FCM 1:50; IP 1:50 |
| Метод очистки | Антигенспецифическая аффинная хроматография |
| Состав буфера | 50 нмоль Tris-Glycine(pH 7.4); 0.15M NaCl; 40% глицерин; 0.01% азид натрия и 0.05% БСА |
| Условия доставки | термобокс с аккумуляторами холода |
| Условия хранения | Сразу после получения аликвотировать и хранить при -20ºС до 12 месяцев с момента получения. Избегать повторения циклов замерзания/оттаивания |
| Срок хранения | 12 месяцев |
| Производитель | AssayVector |
|
Артикул
|
Наименование |
Производитель
|
|---|
|
Артикул
|
Наименование |
Производитель
|
|---|
|
Артикул
|
Наименование |
Производитель
|
|---|
|
Артикул
|
Наименование |
Производитель
|
|---|
|
Артикул
|
Наименование |
Производитель
|
|---|
|
Артикул
|
Наименование |
Производитель
|
|---|
|
Артикул
|
Наименование |
Производитель
|
|---|
|
Артикул
|
Наименование |
Производитель
|
|---|
Акции и предложения
Популярные продукты:
Monkey Complement fragment 4a ELISA kit (E09C0659)
Организм: обезьяна
Recombinant Human UBE2L6 Protein, N-His (YHA35001)
Источник (хозяин): E.coli
Организм: человек
Фрагмент: Met1-Ser153
Теги: N-His
Биоактивность: нет
Организм: человек
Фрагмент: Met1-Ser153
Теги: N-His
Биоактивность: нет
FITC Anti-Mouse CD54 Antibody[YN1/1.7.4] (E-AB-F1018C)
Источник (хозяин): крыса
Реактивность подтвержденная: мышь
Валидировано для: FCM
Реактивность подтвержденная: мышь
Валидировано для: FCM
PDGFR beta Recombinant Rabbit mAb (ARM2584)
Источник (хозяин): кролик
Реактивность подтвержденная: человек, мышь, крыса
Валидировано для: FCM, IHC, IP, WB, IF, ICC
Реактивность подтвержденная: человек, мышь, крыса
Валидировано для: FCM, IHC, IP, WB, IF, ICC
Hsp70 Recombinant Rabbit mAb (ARM1332)
Источник (хозяин): кролик
Реактивность подтвержденная: человек, мышь, крыса
Валидировано для: IHC, IP, WB, IF, ICC
Реактивность подтвержденная: человек, мышь, крыса
Валидировано для: IHC, IP, WB, IF, ICC
CD80 Antibody (DF7682)
Источник (хозяин): кролик
Реактивность подтвержденная: человек
Валидировано для: IHC, WB, IF, ICC
Реактивность подтвержденная: человек
Валидировано для: IHC, WB, IF, ICC

