| UNIPROT | Q9NR12 |
| Иммуноген | Рекомбинантный белок human PDLIM7 |
PDLIM7 Recombinant Rabbit mAb (ARM1951)
Реактивность подтвержденная:
человек
Источник (хозяин):
кролик
Валидировано для:
FCM
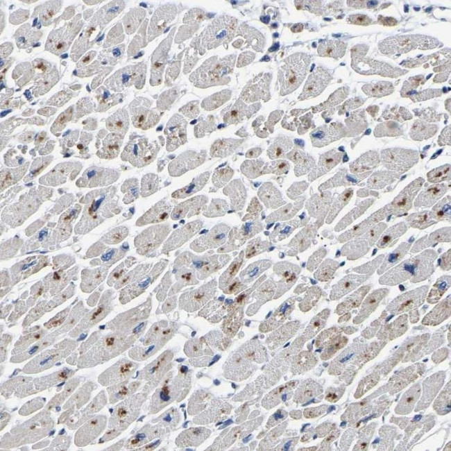
IHC
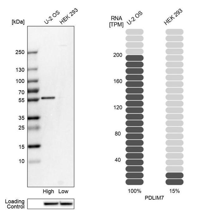
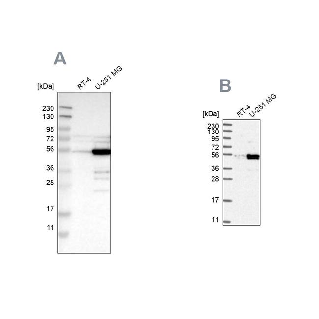
WB
Характеристики
Техническое описание
| Каталожный номер | ARM1951 |
| Название антигена | PDZ And LIM Domain Protein 7 (PDLIM7) |
| UNIPROT | Q9NR12 |
| Иммуноген | Рекомбинантный белок human PDLIM7 |
| Английские синонимы | LMP1, LMP3, LMP4, Protein enigma, LIM mineralization protein |
Реактивность подтвержденная Нужна другая реактивность? |
человек |
| Источник (хозяин) | кролик |
| Изотип | IgG |
| Клональность | моноклональное |
| Рекомбинантное | да |
| Готовое к использованию | нет |
| Концентрация | 1 мг/мл |
| Конъюгат | По запросу: HRP, biotin, Cy3, Cy5, APC, AF488, AF594, AF405 |
| Валидировано для | FCM IHC WB Проточная цитометрия; Иммуногистохимия; Вестерн-блоттинг |
| Рекомендуемые разведения | WB 1:500~1:2000; IHC 1:50~1:200; FCM 1:50 |
| Метод очистки | Антигенспецифическая аффинная хроматография |
| Состав буфера | 50 нмоль Tris-Glycine(pH 7.4); 0.15M NaCl; 40% глицерин; 0.01% азид натрия и 0.05% БСА |
| Условия доставки | термобокс с аккумуляторами холода |
| Условия хранения | Сразу после получения аликвотировать и хранить при -20ºС до 12 месяцев с момента получения. Избегать повторения циклов замерзания/оттаивания |
| Срок хранения | 12 месяцев |
| Производитель | AssayVector |
|
Артикул
|
Наименование |
Производитель
|
|---|
|
Артикул
|
Наименование |
Производитель
|
|---|
|
Артикул
|
Наименование |
Производитель
|
|---|
Акции и предложения
Популярные продукты:
ZFPM1 Mouse Monoclonal Antibody (BF9435)
Источник (хозяин): мышь
Реактивность подтвержденная: человек
Валидировано для: WB
Реактивность подтвержденная: человек
Валидировано для: WB
ABCC1 Mouse Monoclonal Antibody (BF9463)
Источник (хозяин): мышь
Реактивность подтвержденная: человек
Валидировано для: WB
Реактивность подтвержденная: человек
Валидировано для: WB
ELISA Kit DIY Materials for ATP Binding Cassette Transporter G2 (ABCG2) (KSA960Hu01)
Организм: человек
Диапазон определения: 0.156-10 нг/мл
Чувствительность: 0.062 нг/мл
Диапазон определения: 0.156-10 нг/мл
Чувствительность: 0.062 нг/мл
Mouse Copine 6(CPNE6) ELISA kit (E03C2015)
Организм: мышь
Goat Ankycorbin(RAI14) ELISA kit (E06A1948)
Организм: коза

