| UNIPROT | Q8IZL8 |
| Иммуноген | Синтетический пептид, соответствующий human PELP1 |
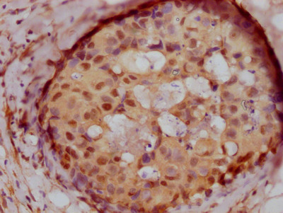
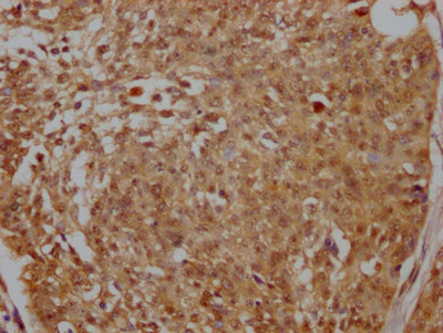
PELP1 Recombinant Rabbit mAb (ARM2292)
Реактивность подтвержденная:
человек
Источник (хозяин):
кролик
Валидировано для:
FCM
IHC
WB
IF
ICC
Характеристики
Техническое описание
| Каталожный номер | ARM2292 |
| Название антигена | Proline Glutamate And Leucine Rich Protein 1 (PELP1) |
| UNIPROT | Q8IZL8 |
| Иммуноген | Синтетический пептид, соответствующий human PELP1 |
| Английские синонимы | MNAR, HMX3, Modulator of non-genomic activity of estrogen receptor, Transcription factor HMX3 |
Реактивность подтвержденная Нужна другая реактивность? |
человек |
| Источник (хозяин) | кролик |
| Изотип | IgG |
| Клональность | моноклональное |
| Рекомбинантное | да |
| Готовое к использованию | нет |
| Концентрация | 1 мг/мл |
| Конъюгат | По запросу: HRP, biotin, Cy3, Cy5, APC, AF488, AF594, AF405 |
| Валидировано для | FCM IHC WB IF ICC Проточная цитометрия; Иммуногистохимия; Вестерн-блоттинг; Иммунофлуоресценция; Иммуноцитохимия |
| Рекомендуемые разведения | WB 1:500~1:2000; IHC 1:50~1:200; IF/ICC 1:50~1:200; FCM 1:50 |
| Метод очистки | Антигенспецифическая аффинная хроматография |
| Состав буфера | 50 нмоль Tris-Glycine(pH 7.4); 0.15M NaCl; 40% глицерин; 0.01% азид натрия и 0.05% БСА |
| Условия доставки | термобокс с аккумуляторами холода |
| Условия хранения | Сразу после получения аликвотировать и хранить при -20ºС до 12 месяцев с момента получения. Избегать повторения циклов замерзания/оттаивания |
| Срок хранения | 12 месяцев |
| Производитель | AssayVector |
|
Артикул
|
Наименование |
Производитель
|
|---|
|
Артикул
|
Наименование |
Производитель
|
|---|
Акции и предложения
Популярные продукты:
Anti-Human CD37/TSPAN26 Antibody (Fs0323), FITC (FHC85131)
Источник (хозяин): мышь
Реактивность подтвержденная: человек
Валидировано для: ELISA, FCM, NEUT
Реактивность подтвержденная: человек
Валидировано для: ELISA, FCM, NEUT
Anti-Alpha-1-Acid Glycoprotein (a1AGP) Monoclonal Antibody (FAA816Ra04)
Источник (хозяин): мышь
Реактивность подтвержденная: крыса
Валидировано для: FCM
Реактивность подтвержденная: крыса
Валидировано для: FCM
Porcine Copine 5(CPNE5) ELISA kit (E07C2014)
Организм: свинья
Monkey vitamin B3 ELISA kit (E09V0421)
Организм: обезьяна
Rabbit Glia Maturation Factor β ELISA kit (E04G0207)
Организм: кролик

