| UNIPROT | P32119 |
| Иммуноген | Синтетический пептид, соответствующий human Peroxiredoxin 2/PRP |
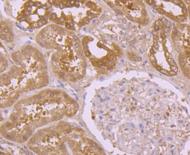
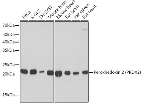
Peroxiredoxin 2 Recombinant Rabbit mAb (ARM2224)
Реактивность подтвержденная:
человек, мышь, крыса
Источник (хозяин):
кролик
Валидировано для:
FCM
IP
WB
IF
ICC
Характеристики
Техническое описание
| Каталожный номер | ARM2224 |
| Название антигена | Peroxiredoxin 2 (PRDX2) |
| UNIPROT | P32119 |
| Иммуноген | Синтетический пептид, соответствующий human Peroxiredoxin 2/PRP |
| Английские синонимы | PRP, NKEFB, PRXII, TDPX1, TSA, Thioredoxin-Dependent Peroxide Reductase 1, Thiol-Specific Antioxidant 1, Natural Killer-Enhancing Factor B, Thioredoxin Peroxidase 1, Torin |
Реактивность подтвержденная Нужна другая реактивность? |
человек, мышь, крыса |
| Источник (хозяин) | кролик |
| Изотип | IgG |
| Клональность | моноклональное |
| Рекомбинантное | да |
| Готовое к использованию | нет |
| Концентрация | 1 мг/мл |
| Конъюгат | По запросу: HRP, biotin, Cy3, Cy5, APC, AF488, AF594, AF405 |
| Валидировано для | FCM IP WB IF ICC Проточная цитометрия; Иммунопреципитация; Вестерн-блоттинг; Иммунофлуоресценция; Иммуноцитохимия |
| Рекомендуемые разведения | WB 1:500~1:2000; IF/ICC 1:50~1:200; FCM 1:50; IP 1:50 |
| Метод очистки | Антигенспецифическая аффинная хроматография |
| Состав буфера | 50 нмоль Tris-Glycine(pH 7.4); 0.15M NaCl; 40% глицерин; 0.01% азид натрия и 0.05% БСА |
| Условия доставки | термобокс с аккумуляторами холода |
| Условия хранения | Сразу после получения аликвотировать и хранить при -20ºС до 12 месяцев с момента получения. Избегать повторения циклов замерзания/оттаивания |
| Срок хранения | 12 месяцев |
| Производитель | AssayVector |
|
Артикул
|
Наименование |
Производитель
|
|---|
|
Артикул
|
Наименование |
Производитель
|
|---|
|
Артикул
|
Наименование |
Производитель
|
|---|
|
Артикул
|
Наименование |
Производитель
|
|---|
Акции и предложения
Популярные продукты:
Bovine Adenosyl homocysteinase(AHCY) ELISA kit (E11A1332)
Организм: корова
Monkey Peroxiredoxin 2 ELISA kit (E09P0750)
Организм: обезьяна
Recombinant Human Pleiotrophin protein(N-His) (PKSH034178)
Источник (хозяин): E.coli
Организм: человек
Фрагмент: Gly 33-Asp 168
Теги: C-His
Биоактивность: нет
Организм: человек
Фрагмент: Gly 33-Asp 168
Теги: C-His
Биоактивность: нет
Anti-PRDX2 Polyclonal Antibody (PHD98401)
Источник (хозяин): кролик
Реактивность подтвержденная: человек, мышь, крыса
Валидировано для: ELISA, IHC, WB
Реактивность подтвержденная: человек, мышь, крыса
Валидировано для: ELISA, IHC, WB
Anti-Human PHLPP1 Polyclonal Antibody (PHA89101)
Источник (хозяин): кролик
Реактивность подтвержденная: человек
Валидировано для: ELISA, IHC, WB
Реактивность подтвержденная: человек
Валидировано для: ELISA, IHC, WB
PRDX2 Polyclonal Antibody (E-AB-15831)
Источник (хозяин): кролик
Реактивность подтвержденная: человек, мышь, крыса
Валидировано для: IHC, WB
Реактивность подтвержденная: человек, мышь, крыса
Валидировано для: IHC, WB

