| UNIPROT | O43933 |
| Иммуноген | Синтетический пептид, соответствующий human PEX1 на N-конце |
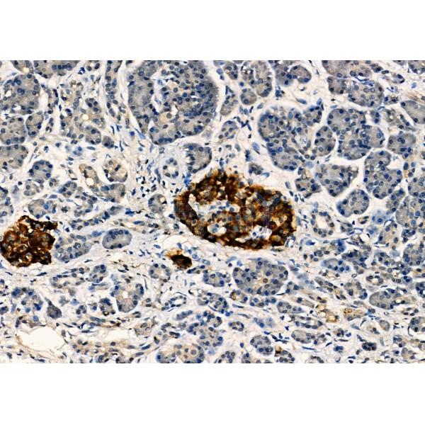
PEX1 Antibody (DF2221)
Реактивность подтвержденная:
человек, мышь
Источник (хозяин):
кролик
Валидировано для:
IHC
WB
Характеристики
Техническое описание
| Каталожный номер | DF2221 |
| Название антигена | Peroxisomal Biogenesis Factor 1 (PEX1) |
| UNIPROT | O43933 |
| Иммуноген | Синтетический пептид, соответствующий human PEX1 на N-конце |
| Английские синонимы | ZWS1, Peroxin-1, Peroxisome biogenesis disorder protein 1 |
Реактивность подтвержденная Нужна другая реактивность? |
человек, мышь |
| Источник (хозяин) | кролик |
| Изотип | IgG |
| Клональность | поликлональное |
| Рекомбинантное | нет |
| Готовое к использованию | нет |
| Концентрация | 1 мг/мл |
| Конъюгат | нет |
| Валидировано для | IHC WB Иммуногистохимия; Вестерн-блоттинг |
| Рекомендуемые разведения | WB: 1:500-1:2000; IHC: 1:50-1:200; Оптимальное разведение определяется конечным потребителем |
| Метод очистки | Антисыворотку очищали методом аффинной хроматографии пептидов с использованием связывающей смолы SulfoLink® (Thermo Fisher Scientific) |
| Состав буфера | Rabbit IgG в PBS; pH 7.4; 150mM NaCl; 0.02% азид натрия и 50% глицерин |
| RRID | AB_2839452 |
| Условия доставки | Термобокс с аккумуляторами холода |
| Условия хранения | Хранить при -20ºС. Стабилен 12 месяцев с даты получения |
| Срок хранения | 12 месяцев |
| Производитель | Affinity |
| Ссылка на страницу товара на сайте производителя | https://www.affbiotech.com/goods-6325-DF2221-PEX1_Antibody.html |
|
Артикул
|
Наименование |
Производитель
|
|---|
|
Артикул
|
Наименование |
Производитель
|
|---|
Акции и предложения
Популярные продукты:
Recombinant Mouse TNFa/TNF-alpha Protein, N-His (YMB94401)
Источник (хозяин): E.coli
Организм: мышь
Фрагмент: Leu80-Leu235
Теги: N-His
Биоактивность: нет
Организм: мышь
Фрагмент: Leu80-Leu235
Теги: N-His
Биоактивность: нет
Guinea Pig CDGSH iron sulfur domain containing protein 3, mitochondrial(CISD3) ELISA kit (E05C0927)
Организм: морская свинка
Mouse Chorionic somatomammotropin hormone like 1(CSHL1) ELISA kit (E03C2096)
Организм: мышь
Диапазон определения: 5-100 нг/мл
Чувствительность: 1 нг/мл
Диапазон определения: 5-100 нг/мл
Чувствительность: 1 нг/мл

