| UNIPROT | P09936 |
| Иммуноген | Синтетический пептид, соответствующий human PGP9.5 |
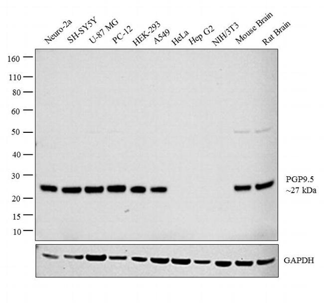
PGP9.5 Recombinant Rabbit mAb (ARM1375)
Реактивность подтвержденная:
человек, мышь, крыса
Источник (хозяин):
кролик
Валидировано для:
FCM
IHC
IP
WB
IF
ICC
Характеристики
Техническое описание
| Каталожный номер | ARM1375 |
| Название антигена | Ubiquitin Carboxyl Terminal Hydrolase L1 (UCHL1) |
| UNIPROT | P09936 |
| Иммуноген | Синтетический пептид, соответствующий human PGP9.5 |
| Английские синонимы | PARK5, PGP9.5, Uch-L1, Neuron cytoplasmic protein 9.5, Ubiquitin thioesterase L1, Ubiquitin carboxyl-terminal hydrolase isozyme L1 |
Реактивность подтвержденная Нужна другая реактивность? |
человек, мышь, крыса |
| Источник (хозяин) | кролик |
| Изотип | IgG |
| Клональность | моноклональное |
| Рекомбинантное | да |
| Готовое к использованию | нет |
| Концентрация | 1 мг/мл |
| Конъюгат | По запросу: HRP, biotin, Cy3, Cy5, APC, AF488, AF594, AF405 |
| Валидировано для | FCM IHC IP WB IF ICC Проточная цитометрия; Иммуногистохимия; Иммунопреципитация; Вестерн-блоттинг; Иммунофлуоресценция; Иммуноцитохимия |
| Рекомендуемые разведения | WB 1:500~1:2000; IHC 1:50~1:200; IF/ICC 1:50~1:200; FCM 1:50; IP 1:50 |
| Метод очистки | Антигенспецифическая аффинная хроматография |
| Состав буфера | 50 нмоль Tris-Glycine(pH 7.4); 0.15M NaCl; 40% глицерин; 0.01% азид натрия и 0.05% БСА |
| Условия доставки | термобокс с аккумуляторами холода |
| Условия хранения | Сразу после получения аликвотировать и хранить при -20ºС до 12 месяцев с момента получения. Избегать повторения циклов замерзания/оттаивания |
| Срок хранения | 12 месяцев |
| Производитель | AssayVector |
|
Артикул
|
Наименование |
Производитель
|
|---|
|
Артикул
|
Наименование |
Производитель
|
|---|
|
Артикул
|
Наименование |
Производитель
|
|---|
|
Артикул
|
Наименование |
Производитель
|
|---|
|
Артикул
|
Наименование |
Производитель
|
|---|
Акции и предложения
Популярные продукты:
Anti-Human UCHL1 Antibody (SAb2426) (RHC44506)
Источник (хозяин): мышь
Реактивность подтвержденная: человек, крыса
Валидировано для: ELISA, IHC, IP, WB
Реактивность подтвержденная: человек, крыса
Валидировано для: ELISA, IHC, IP, WB
ELISA Kit DIY Materials for Proprotein Convertase Subtilisin/Kexin Type 1 (PCSK1) (KSE190Hu01)
Организм: человек
Диапазон определения: 0.312-20 нг/мл
Чувствительность: 0.122 нг/мл
Диапазон определения: 0.312-20 нг/мл
Чувствительность: 0.122 нг/мл
Monkey Carboxylated Osteocalcin ELISA kit (E09C0242)
Организм: обезьяна
Anti-Human CD261/TNFRSF10A/DR4 Antibody (Fs0356) (FHA05920)
Источник (хозяин): мышь
Реактивность подтвержденная: человек
Валидировано для: ELISA, FCM
Реактивность подтвержденная: человек
Валидировано для: ELISA, FCM
Anti-Bovine CD8A Antibody (FS0307) (FBB96010)
Источник (хозяин): мышь
Реактивность подтвержденная: корова
Валидировано для: ELISA, FCM
Реактивность подтвержденная: корова
Валидировано для: ELISA, FCM
ELISA Kit DIY Materials for Interleukin 6 Receptor (IL6R) (KSB815Hu01)
Организм: человек
Диапазон определения: 1.88-120 нг/мл
Чувствительность: 0.67 нг/мл
Диапазон определения: 1.88-120 нг/мл
Чувствительность: 0.67 нг/мл

