| UNIPROT | Q92688 |
| Иммуноген | Синтетический пептид, соответствующий human PHAPI2 |
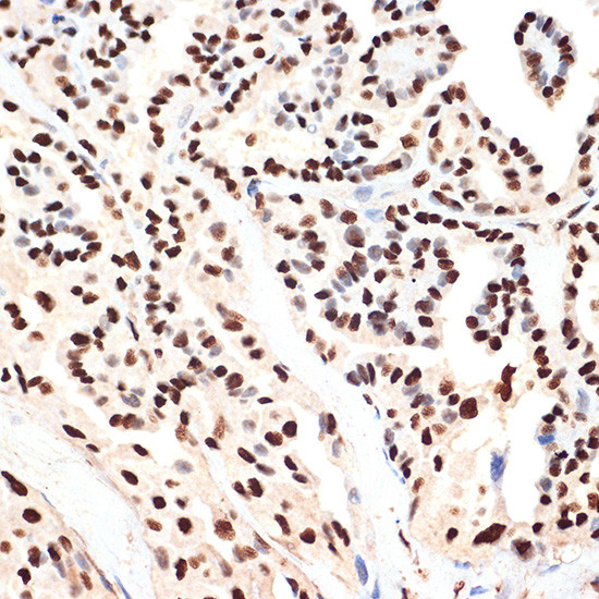
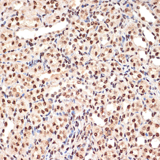
PHAPI2 Recombinant Rabbit mAb (ARM1968)
Реактивность подтвержденная:
человек, мышь, крыса
Источник (хозяин):
кролик
Валидировано для:
FCM
IHC
WB
IF
ICC
Характеристики
Техническое описание
| Каталожный номер | ARM1968 |
| Название антигена | Acidic Nuclear Phosphoprotein 32 Family, Member B (ANP32B) |
| UNIPROT | Q92688 |
| Иммуноген | Синтетический пептид, соответствующий human PHAPI2 |
| Английские синонимы | APRIL, PHAPI2, SSP29, Acidic Protein Rich In Leucines, Acidic protein rich in leucines, Putative HLA-DR-associated protein I-2, Silver-stainable protein SSP29 |
Реактивность подтвержденная Нужна другая реактивность? |
человек, мышь, крыса |
| Источник (хозяин) | кролик |
| Изотип | IgG |
| Клональность | моноклональное |
| Рекомбинантное | да |
| Готовое к использованию | нет |
| Концентрация | 1 мг/мл |
| Конъюгат | По запросу: HRP, biotin, Cy3, Cy5, APC, AF488, AF594, AF405 |
| Валидировано для | FCM IHC WB IF ICC Проточная цитометрия; Иммуногистохимия; Вестерн-блоттинг; Иммунофлуоресценция; Иммуноцитохимия |
| Рекомендуемые разведения | WB 1:500~1:2000; IHC 1:50~1:200; IF/ICC 1:50~1:200; FCM 1:50 |
| Метод очистки | Антигенспецифическая аффинная хроматография |
| Состав буфера | 50 нмоль Tris-Glycine(pH 7.4); 0.15M NaCl; 40% глицерин; 0.01% азид натрия и 0.05% БСА |
| Условия доставки | термобокс с аккумуляторами холода |
| Условия хранения | Сразу после получения аликвотировать и хранить при -20ºС до 12 месяцев с момента получения. Избегать повторения циклов замерзания/оттаивания |
| Срок хранения | 12 месяцев |
| Производитель | AssayVector |
|
Артикул
|
Наименование |
Производитель
|
|---|
|
Артикул
|
Наименование |
Производитель
|
|---|
|
Артикул
|
Наименование |
Производитель
|
|---|
Акции и предложения
Популярные продукты:
ELISA Kit DIY Materials for Receptor Tyrosine Kinase Like Orphan Receptor 1 (ROR1) (KSG522Hu01)
Организм: человек
Диапазон определения: 0.156-10 нг/мл
Чувствительность: 0.058 нг/мл
Диапазон определения: 0.156-10 нг/мл
Чувствительность: 0.058 нг/мл
Anti-Alpha-gal Human IgE Antibody (16D9) (RGK25408)
Источник (хозяин): человек
Реактивность подтвержденная: для всех
Валидировано для: ELISA
Реактивность подтвержденная: для всех
Валидировано для: ELISA
PHAPI2 Recombinant Rabbit mAb (ARM1968)
Источник (хозяин): кролик
Реактивность подтвержденная: человек, мышь, крыса
Валидировано для: FCM, IHC, WB, IF, ICC
Реактивность подтвержденная: человек, мышь, крыса
Валидировано для: FCM, IHC, WB, IF, ICC
Myelin PLP Antibody (DF13282)
Источник (хозяин): кролик
Реактивность подтвержденная: человек, мышь, крыса
Валидировано для: IHC, WB, IF, ICC
Реактивность подтвержденная: человек, мышь, крыса
Валидировано для: IHC, WB, IF, ICC
Multiplex Assay Kit for Serum Amyloid A2 (SAA2) (LMB795Mu)
Организм: мышь
Диапазон определения: 0.01-10 нг/мл
Чувствительность: 0.003 нг/мл
Диапазон определения: 0.01-10 нг/мл
Чувствительность: 0.003 нг/мл
Multiplex Assay Kit for Proteinase 3 (PR3) (LMB434Mu)
Организм: мышь
Диапазон определения: 0.01-10 нг/мл
Чувствительность: 0.003 нг/мл
Диапазон определения: 0.01-10 нг/мл
Чувствительность: 0.003 нг/мл

