| UNIPROT | P06730 |
| Иммуноген | Синтетический фосфорилированный пептид, соответствующий фрагменту белка в районе Ser209 human eIF4E |
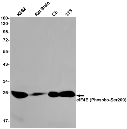
Phospho-eIF4E (Ser209) Recombinant Rabbit mAb (ARM3067)
Реактивность подтвержденная:
человек, мышь, крыса
Источник (хозяин):
кролик
Валидировано для:
IHC
IP
WB
IF
ICC
Характеристики
Техническое описание
| Каталожный номер | ARM3067 |
| Название антигена | Eukaryotic Translation Initiation Factor 4E1 (EIF4E1) |
| UNIPROT | P06730 |
| Иммуноген | Синтетический фосфорилированный пептид, соответствующий фрагменту белка в районе Ser209 human eIF4E |
| Английские синонимы | CBP, EIF4F, EIF4E, EIF4EL1, eIF-4F 25 kDa subunit, mRNA cap-binding protein |
Реактивность подтвержденная Нужна другая реактивность? |
человек, мышь, крыса |
| Источник (хозяин) | кролик |
| Изотип | IgG |
| Клональность | моноклональное |
| Рекомбинантное | да |
| Готовое к использованию | нет |
| Концентрация | 1 мг/мл |
| Конъюгат | По запросу: HRP, biotin, Cy3, Cy5, APC, AF488, AF594, AF405 |
| Валидировано для | IHC IP WB IF ICC Иммуногистохимия; Иммунопреципитация; Вестерн-блоттинг; Иммунофлуоресценция; Иммуноцитохимия |
| Рекомендуемые разведения | WB: 1:1000-1:10000; IHC: 1:50; IF/ICC: 1:100; IP: 1:20 |
| Метод очистки | Антигенспецифическая аффинная хроматография |
| Состав буфера | 50 нмоль Tris-Glycine(pH 7.4); 0.15M NaCl; 40% глицерин; 0.01% азид натрия и 0.05% БСА |
| Условия доставки | термобокс с аккумуляторами холода |
| Условия хранения | Сразу после получения аликвотировать и хранить при -20ºС до 12 месяцев с момента получения. Избегать повторения циклов замерзания/оттаивания |
| Срок хранения | 12 месяцев |
| Производитель | AssayVector |
|
Артикул
|
Наименование |
Производитель
|
|---|
|
Артикул
|
Наименование |
Производитель
|
|---|
|
Артикул
|
Наименование |
Производитель
|
|---|
Акции и предложения
Популярные продукты:
DBC1 Mouse Monoclonal Antibody (BF8877)
Источник (хозяин): мышь
Реактивность подтвержденная: человек, крыса
Валидировано для: WB
Реактивность подтвержденная: человек, крыса
Валидировано для: WB
ELISA Kit DIY Materials for Transferrin (TF) (KSC036Po01)
Организм: свинья
Диапазон определения: 0.312-20 нг/мл
Чувствительность: 0.147 нг/мл
Диапазон определения: 0.312-20 нг/мл
Чувствительность: 0.147 нг/мл
Sheep DNA Methyltransferase 3beta ELISA kit (E14D0322)
Организм: овца
Guinea Pig Hexose-6-Phosphate Dehydrogenase ELISA kit (E05H1504)
Организм: морская свинка
Sheep Clathrin heavy chain 1(CLTC) ELISA kit (E14C1821)
Организм: овца

