| UNIPROT | P49841 |
| Иммуноген | Синтетический фосфорилированный пептид, соответствующий фрагменту белка в районе Ser9 human GSK3 beta |
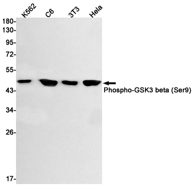
Phospho-GSK3 beta (Ser9) Recombinant Rabbit mAb (ARM2960)
Реактивность подтвержденная:
человек
Источник (хозяин):
кролик
Валидировано для:
IHC
WB
IF
ICC
Характеристики
Техническое описание
| Каталожный номер | ARM2960 |
| Название антигена | Glycogen Synthase Kinase 3 Beta (GSK3b) |
| UNIPROT | P49841 |
| Иммуноген | Синтетический фосфорилированный пептид, соответствующий фрагменту белка в районе Ser9 human GSK3 beta |
| Английские синонимы | Serine/threonine-protein kinase GSK3B |
Реактивность подтвержденная Нужна другая реактивность? |
человек |
| Источник (хозяин) | кролик |
| Изотип | IgG |
| Клональность | моноклональное |
| Рекомбинантное | да |
| Готовое к использованию | нет |
| Концентрация | 1 мг/мл |
| Конъюгат | По запросу: HRP, biotin, Cy3, Cy5, APC, AF488, AF594, AF405 |
| Валидировано для | IHC WB IF ICC Иммуногистохимия; Вестерн-блоттинг; Иммунофлуоресценция; Иммуноцитохимия |
| Рекомендуемые разведения | WB: 1:2000; IHC: 1:50; IF/ICC: 1:50 |
| Метод очистки | Антигенспецифическая аффинная хроматография |
| Состав буфера | 50 нмоль Tris-Glycine(pH 7.4); 0.15M NaCl; 40% глицерин; 0.01% азид натрия и 0.05% БСА |
| Условия доставки | термобокс с аккумуляторами холода |
| Условия хранения | Сразу после получения аликвотировать и хранить при -20ºС до 12 месяцев с момента получения. Избегать повторения циклов замерзания/оттаивания |
| Срок хранения | 12 месяцев |
| Производитель | AssayVector |
|
Артикул
|
Наименование |
Производитель
|
|---|
|
Артикул
|
Наименование |
Производитель
|
|---|
|
Артикул
|
Наименование |
Производитель
|
|---|
|
Артикул
|
Наименование |
Производитель
|
|---|
|
Артикул
|
Наименование |
Производитель
|
|---|
|
Артикул
|
Наименование |
Производитель
|
|---|
Акции и предложения
Популярные продукты:
Sheep matriptase-2 ELISA kit (MT2) (E14M0695)
Организм: овца
Chicken matriptase-2 ELISA kit (MT2) (E12M0695)
Организм: курица
Monkey matriptase-2 ELISA kit (MT2) (E09M0695)
Организм: обезьяна
Canine matriptase-2 ELISA kit (MT2) (E08M0695)
Организм: собака
Goat matriptase-2 ELISA kit (MT2) (E06M0695)
Организм: коза

