| UNIPROT | Q00987 |
| Иммуноген | Синтетический фосфорилированный пептид, соответствующий фрагменту белка в районе Ser166 human MDM2 |
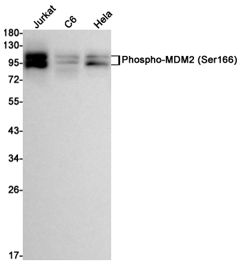
Phospho-MDM2 (Ser166) Recombinant Rabbit mAb (ARM2967)
Реактивность подтвержденная:
человек, крыса
Источник (хозяин):
кролик
Валидировано для:
IHC
WB
Характеристики
Техническое описание
| Каталожный номер | ARM2967 |
| Название антигена | Mdm2 p53 Binding Protein Homolog (MDM2) |
| UNIPROT | Q00987 |
| Иммуноген | Синтетический фосфорилированный пептид, соответствующий фрагменту белка в районе Ser166 human MDM2 |
| Английские синонимы | HDMX, hdm2, Mouse Double Minute 2,Human Homolog Of p53-Binding Protein, Oncoprotein Mdm2 |
Реактивность подтвержденная Нужна другая реактивность? |
человек, крыса |
| Источник (хозяин) | кролик |
| Изотип | IgG |
| Клональность | моноклональное |
| Рекомбинантное | да |
| Готовое к использованию | нет |
| Концентрация | 1 мг/мл |
| Конъюгат | По запросу: HRP, biotin, Cy3, Cy5, APC, AF488, AF594, AF405 |
| Валидировано для | IHC WB Иммуногистохимия; Вестерн-блоттинг |
| Рекомендуемые разведения | WB: 1:5000-1:20000; IHC: 1:20-1:50 |
| Метод очистки | Антигенспецифическая аффинная хроматография |
| Состав буфера | 50 нмоль Tris-Glycine(pH 7.4); 0.15M NaCl; 40% глицерин; 0.01% азид натрия и 0.05% БСА |
| Условия доставки | термобокс с аккумуляторами холода |
| Условия хранения | Сразу после получения аликвотировать и хранить при -20ºС до 12 месяцев с момента получения. Избегать повторения циклов замерзания/оттаивания |
| Срок хранения | 12 месяцев |
| Производитель | AssayVector |
|
Артикул
|
Наименование |
Производитель
|
|---|
|
Артикул
|
Наименование |
Производитель
|
|---|
|
Артикул
|
Наименование |
Производитель
|
|---|
|
Артикул
|
Наименование |
Производитель
|
|---|
|
Артикул
|
Наименование |
Производитель
|
|---|
|
Артикул
|
Наименование |
Производитель
|
|---|
Акции и предложения
Популярные продукты:
Anti-MARV GP/Envelope glycoprotein Antibody (SAb2261) (RVV24303)
Источник (хозяин): человек
Реактивность подтвержденная: вирусы
Валидировано для: ELISA, NEUT
Реактивность подтвержденная: вирусы
Валидировано для: ELISA, NEUT
ELISA Kit DIY Materials for Renin (REN) (KSA889Hu01)
Организм: человек
Диапазон определения: 31.2-2000 пг/мл
Чувствительность: 12.2 пг/мл
Диапазон определения: 31.2-2000 пг/мл
Чувствительность: 12.2 пг/мл
Goat Chemokine like receptor 1(CMKLR1) ELISA kit (E06C1829)
Организм: коза
Chicken Jun Dimerization Protein 2 ELISA kit (E12J0010)
Организм: курица
Canine Jun Dimerization Protein 2 ELISA kit (E08J0010)
Организм: собака

