| UNIPROT | P57054 |
| Иммуноген | Синтетический пептид, соответствующий human PIGP во внутренней части белка |
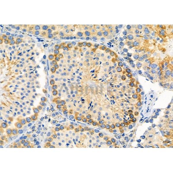
PIGP Antibody (DF9744)
Реактивность подтвержденная:
человек, мышь, обезьяна
Источник (хозяин):
кролик
Валидировано для:
IHC
WB
IF
ICC
Характеристики
Техническое описание
| Каталожный номер | DF9744 |
| Название антигена | Phosphatidylinositol Glycan P (PIGP) |
| UNIPROT | P57054 |
| Иммуноген | Синтетический пептид, соответствующий human PIGP во внутренней части белка |
| Английские синонимы | DCRC, DSRC, DSCR5, Down Syndrome Critical Region Gene 5, Phosphatidylinositol-n-Acetylglucosaminyltranferase, Phosphatidylinositol Glycan Anchor Biosynthesis,Class P |
Реактивность подтвержденная Нужна другая реактивность? |
человек, мышь, обезьяна |
| Реактивность предсказываемая | свинья, корова, лошадь, овца, кролик, собака, курица |
| Источник (хозяин) | кролик |
| Изотип | IgG |
| Клональность | поликлональное |
| Рекомбинантное | нет |
| Готовое к использованию | нет |
| Концентрация | 1 мг/мл |
| Конъюгат | нет |
| Валидировано для | IHC WB IF ICC Иммуногистохимия; Вестерн-блоттинг; Иммунофлуоресценция; Иммуноцитохимия |
| Рекомендуемые разведения | WB: 1:1000-3000; IHC: 1:50-1:200; IF/ICC: 1:100-1:500; Оптимальное разведение определяется конечным потребителем |
| Метод очистки | Антисыворотку очищали методом аффинной хроматографии пептидов с использованием связывающей смолы SulfoLink® (Thermo Fisher Scientific) |
| Состав буфера | Rabbit IgG в PBS; pH 7.4; 150mM NaCl; 0.02% азид натрия и 50% глицерин |
| RRID | AB_2842939 |
| Условия доставки | Термобокс с аккумуляторами холода |
| Условия хранения | Хранить при -20ºС. Стабилен 12 месяцев с даты получения |
| Срок хранения | 12 месяцев |
| Производитель | Affinity |
| Ссылка на страницу товара на сайте производителя | https://www.affbiotech.com/goods-13217-DF9744-PIGP_Antibody.html |
Акции и предложения
Популярные продукты:
PIGP Antibody (DF9744)
Источник (хозяин): кролик
Реактивность подтвержденная: человек, мышь, обезьяна
Валидировано для: IHC, WB, IF, ICC
Реактивность подтвержденная: человек, мышь, обезьяна
Валидировано для: IHC, WB, IF, ICC
Recombinant Mucin 1 (MUC1) (RPA413Mu02)
Источник (хозяин): E.coli
Организм: мышь
Фрагмент: Ser410-Ala525
Теги: N-концевые His-Tag и GST-Tag
Биоактивность: нет
Организм: мышь
Фрагмент: Ser410-Ala525
Теги: N-концевые His-Tag и GST-Tag
Биоактивность: нет
OR5D3 Mouse Monoclonal Antibody (BF9376)
Источник (хозяин): мышь
Реактивность подтвержденная: человек, мышь
Валидировано для: WB
Реактивность подтвержденная: человек, мышь
Валидировано для: WB
POMK Mouse Monoclonal Antibody (BF8781)
Источник (хозяин): мышь
Реактивность подтвержденная: человек
Валидировано для: WB
Реактивность подтвержденная: человек
Валидировано для: WB
SAA3P Mouse Monoclonal Antibody (BF8650)
Источник (хозяин): мышь
Реактивность подтвержденная: человек, мышь
Валидировано для: WB
Реактивность подтвержденная: человек, мышь
Валидировано для: WB
C1QTNF9B Mouse Monoclonal Antibody (BF8647)
Источник (хозяин): мышь
Реактивность подтвержденная: человек, мышь, крыса
Валидировано для: WB
Реактивность подтвержденная: человек, мышь, крыса
Валидировано для: WB

