| UNIPROT | P11309 |
| Иммуноген | Синтетический пептид, соответствующий human PIM1 |
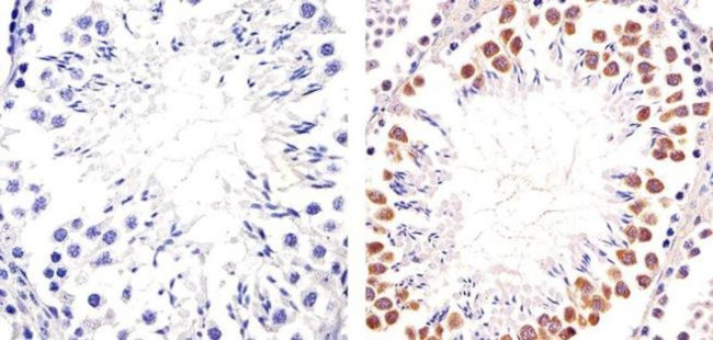
PIM1 Recombinant Rabbit mAb (ARM1551)
Реактивность подтвержденная:
человек, мышь
Источник (хозяин):
кролик
Валидировано для:
FCM
IHC
WB
IF
ICC
Характеристики
Техническое описание
| Каталожный номер | ARM1551 |
| Название антигена | Pim-1 Oncogene (PIM1) |
| UNIPROT | P11309 |
| Иммуноген | Синтетический пептид, соответствующий human PIM1 |
| Английские синонимы | Proto-Oncogene Serine/Threonine-Protein Kinase Pim-1 |
Реактивность подтвержденная Нужна другая реактивность? |
человек, мышь |
| Источник (хозяин) | кролик |
| Изотип | IgG |
| Клональность | моноклональное |
| Рекомбинантное | да |
| Готовое к использованию | нет |
| Концентрация | 1 мг/мл |
| Конъюгат | По запросу: HRP, biotin, Cy3, Cy5, APC, AF488, AF594, AF405 |
| Валидировано для | FCM IHC WB IF ICC Проточная цитометрия; Иммуногистохимия; Вестерн-блоттинг; Иммунофлуоресценция; Иммуноцитохимия |
| Рекомендуемые разведения | WB 1:500~1:2000; IHC 1:50~1:200; IF/ICC 1:50~1:200; FCM 1:50 |
| Метод очистки | Антигенспецифическая аффинная хроматография |
| Состав буфера | 50 нмоль Tris-Glycine(pH 7.4); 0.15M NaCl; 40% глицерин; 0.01% азид натрия и 0.05% БСА |
| Условия доставки | термобокс с аккумуляторами холода |
| Условия хранения | Сразу после получения аликвотировать и хранить при -20ºС до 12 месяцев с момента получения. Избегать повторения циклов замерзания/оттаивания |
| Срок хранения | 12 месяцев |
| Производитель | AssayVector |
|
Артикул
|
Наименование |
Производитель
|
|---|
|
Артикул
|
Наименование |
Производитель
|
|---|
|
Артикул
|
Наименование |
Производитель
|
|---|
|
Артикул
|
Наименование |
Производитель
|
|---|
|
Артикул
|
Наименование |
Производитель
|
|---|
Акции и предложения
Популярные продукты:
Multiplex Assay Kit for Mixed Lineage Kinase Domain Like Protein (MLKL) (LMR645Hu)
Организм: человек
Диапазон определения: 0.02-20 нг/мл
Чувствительность: 0.007 нг/мл
Диапазон определения: 0.02-20 нг/мл
Чувствительность: 0.007 нг/мл
Human Cancer/testis antigen 2(CTAG2) ELISA kit (E01C2141)
Организм: человек
Диапазон определения: 1-25 нг/мл
Чувствительность: 0.1 нг/мл
Диапазон определения: 1-25 нг/мл
Чувствительность: 0.1 нг/мл
Rat Alpha mannosidase 2C1(MAN2C1) ELISA kit (E02A1905)
Организм: крыса
Monkey Myocardin ELISA kit (E09M0532)
Организм: обезьяна
Rabbit Myocardin ELISA kit (E04M0532)
Организм: кролик
Human Myocardin ELISA kit (E01M0532)
Организм: человек

