| UNIPROT | Q16512 |
| Иммуноген | Синтетический пептид, соответствующий human PKN1 во внутренней части белка |
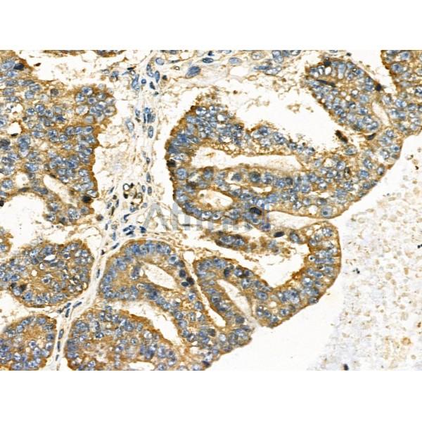
PKN1 Antibody (DF4790)
Реактивность подтвержденная:
человек, мышь, крыса
Источник (хозяин):
кролик
Валидировано для:
IHC
WB
IF
ICC
Характеристики
Техническое описание
| Каталожный номер | DF4790 |
| Название антигена | Protein Kinase N1 (PKN1) |
| UNIPROT | Q16512 |
| Иммуноген | Синтетический пептид, соответствующий human PKN1 во внутренней части белка |
| Английские синонимы | PAK1, DBK, PRK1, PRKCL1, Protein Kinase C-Like 1, Protein kinase PKN-alpha, Protein-kinase C-related kinase 1, Serine-threonine protein kinase N |
Реактивность подтвержденная Нужна другая реактивность? |
человек, мышь, крыса |
| Реактивность предсказываемая | свинья, корова, собака |
| Источник (хозяин) | кролик |
| Изотип | IgG |
| Клональность | поликлональное |
| Рекомбинантное | нет |
| Готовое к использованию | нет |
| Концентрация | 1 мг/мл |
| Конъюгат | нет |
| Валидировано для | IHC WB IF ICC Иммуногистохимия; Вестерн-блоттинг; Иммунофлуоресценция; Иммуноцитохимия |
| Рекомендуемые разведения | WB: 1:500-1:1000; IF/ICC: 1:100-1:500; IHC: 1:50-1:200; Оптимальное разведение определяется конечным потребителем |
| Метод очистки | Антисыворотку очищали методом аффинной хроматографии пептидов с использованием связывающей смолы SulfoLink® (Thermo Fisher Scientific) |
| Состав буфера | Rabbit IgG в PBS; pH 7.4; 150mM NaCl; 0.02% азид натрия и 50% глицерин |
| RRID | AB_2837144 |
| Условия доставки | Термобокс с аккумуляторами холода |
| Условия хранения | Хранить при -20ºС. Стабилен 12 месяцев с даты получения |
| Срок хранения | 12 месяцев |
| Производитель | Affinity |
| Ссылка на страницу товара на сайте производителя | https://www.affbiotech.com/goods-3921-DF4790-PKN1_Antibody.html |
|
Артикул
|
Наименование |
Производитель
|
|---|
|
Артикул
|
Наименование |
Производитель
|
|---|
|
Артикул
|
Наименование |
Производитель
|
|---|
Акции и предложения
Популярные продукты:
Anti-Human CD4 Antibody (HIT4a), PerCP (FHB95944)
Источник (хозяин): мышь
Реактивность подтвержденная: человек
Валидировано для: FCM
Реактивность подтвержденная: человек
Валидировано для: FCM
Goat Valine ELISA kit (E06V0100)
Организм: коза
Monkey Purinergic receptor P2Y, G protein coupled, 12 ELISA kit (E09P0017)
Организм: обезьяна
Rabbit Nuclear factor kB ELISA kit (E04N0011)
Организм: кролик
Bovine Complement Component 1R ELISA kit (E11C0352)
Организм: корова

