| UNIPROT | Q53H76 |
| Иммуноген | Синтетический пептид, соответствующий human PLA1A во внутренней части белка |
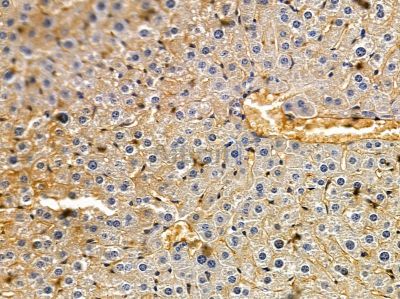
PLA1A Antibody (AF9162)
Реактивность подтвержденная:
человек, мышь, крыса
Источник (хозяин):
кролик
Валидировано для:
IHC
WB
IF
ICC
Характеристики
Техническое описание
| Каталожный номер | AF9162 |
| Название антигена | Phospholipase A1 (PLA1) |
| UNIPROT | Q53H76 |
| Иммуноген | Синтетический пептид, соответствующий human PLA1A во внутренней части белка |
| Английские синонимы | PLA1A, ps-PLA1, NMD, Phosphatidylserine-Specific Phospholipase A1-Alpha |
Реактивность подтвержденная Нужна другая реактивность? |
человек, мышь, крыса |
| Реактивность предсказываемая | свинья, лошадь, кролик, собака |
| Источник (хозяин) | кролик |
| Изотип | IgG |
| Клональность | поликлональное |
| Рекомбинантное | нет |
| Готовое к использованию | нет |
| Концентрация | 1 мг/мл |
| Конъюгат | нет |
| Валидировано для | IHC WB IF ICC Иммуногистохимия; Вестерн-блоттинг; Иммунофлуоресценция; Иммуноцитохимия |
| Рекомендуемые разведения | IHC: 1:50-1:200; WB: 1:1000; IF/ICC: 1:100-1:500; Оптимальное разведение определяется конечным потребителем |
| Метод очистки | Антисыворотку очищали методом аффинной хроматографии пептидов с использованием связывающей смолы SulfoLink® (Thermo Fisher Scientific) |
| Состав буфера | Rabbit IgG в PBS; pH 7.4; 150mM NaCl; 0.02% азид натрия и 50% глицерин |
| RRID | AB_2843352 |
| Условия доставки | Термобокс с аккумуляторами холода |
| Условия хранения | Хранить при -20ºС. Стабилен 12 месяцев с даты получения |
| Срок хранения | 12 месяцев |
| Производитель | Affinity |
| Ссылка на страницу товара на сайте производителя | https://www.affbiotech.com/goods-13633-AF9162-PLA1A_Antibody.html |
|
Артикул
|
Наименование |
Производитель
|
|---|
|
Артикул
|
Наименование |
Производитель
|
|---|
|
Артикул
|
Наименование |
Производитель
|
|---|
Акции и предложения
Популярные продукты:
Rabbit Angiomotin ELISA kit (E04A0223)
Организм: кролик
Sheep Phospholipase A1 ELISA kit (E14P0124)
Организм: овца
Monkey Phospholipase A1 ELISA kit (E09P0124)
Организм: обезьяна
Goat Phospholipase A1 ELISA kit (E06P0124)
Организм: коза
Rabbit Phospholipase A1 ELISA kit (E04P0124)
Организм: кролик
Mouse Phospholipase A1 ELISA kit (E03P0124)
Организм: мышь

