| UNIPROT | P53350 |
| Иммуноген | Синтетический пептид, соответствующий human PLK1 |
PLK1 Recombinant Rabbit mAb (ARM1453)
Реактивность подтвержденная:
человек
Источник (хозяин):
кролик
Валидировано для:
FCM
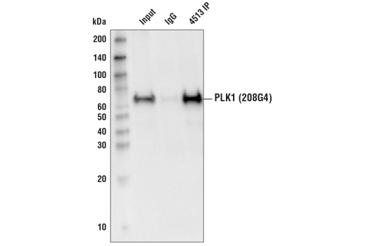
IP
WB
IF
ICC
Характеристики
Техническое описание
| Каталожный номер | ARM1453 |
| Название антигена | Polo Like Kinase 1 (PLK1) |
| UNIPROT | P53350 |
| Иммуноген | Синтетический пептид, соответствующий human PLK1 |
| Английские синонимы | PLK, STPK13, Serine/threonine-protein kinase 13 |
Реактивность подтвержденная Нужна другая реактивность? |
человек |
| Источник (хозяин) | кролик |
| Изотип | IgG |
| Клональность | моноклональное |
| Рекомбинантное | да |
| Готовое к использованию | нет |
| Концентрация | 1 мг/мл |
| Конъюгат | По запросу: HRP, biotin, Cy3, Cy5, APC, AF488, AF594, AF405 |
| Валидировано для | FCM IP WB IF ICC Проточная цитометрия; Иммунопреципитация; Вестерн-блоттинг; Иммунофлуоресценция; Иммуноцитохимия |
| Рекомендуемые разведения | WB 1:500~1:2000; IF/ICC 1:50~1:200; FCM 1:50; IP 1:50 |
| Метод очистки | Антигенспецифическая аффинная хроматография |
| Состав буфера | 50 нмоль Tris-Glycine(pH 7.4); 0.15M NaCl; 40% глицерин; 0.01% азид натрия и 0.05% БСА |
| Условия доставки | термобокс с аккумуляторами холода |
| Условия хранения | Сразу после получения аликвотировать и хранить при -20ºС до 12 месяцев с момента получения. Избегать повторения циклов замерзания/оттаивания |
| Срок хранения | 12 месяцев |
| Производитель | AssayVector |
|
Артикул
|
Наименование |
Производитель
|
|---|
|
Артикул
|
Наименование |
Производитель
|
|---|
|
Артикул
|
Наименование |
Производитель
|
|---|
|
Артикул
|
Наименование |
Производитель
|
|---|
|
Артикул
|
Наименование |
Производитель
|
|---|
Акции и предложения
Популярные продукты:
Chicken Myosin Heavy Chain 1 (E12M0525)
Организм: курица
Alkaline Phosphatase Antibody (DF6225)
Источник (хозяин): кролик
Реактивность подтвержденная: человек, мышь, крыса
Валидировано для: IHC, WB, IF, ICC
Реактивность подтвержденная: человек, мышь, крыса
Валидировано для: IHC, WB, IF, ICC
ELISA Kit DIY Materials for Transient Receptor Potential Cation Channel Subfamily C, Member 6 (TRPC6) (KSF846Hu01)
Организм: человек
Диапазон определения: 0.312-20 нг/мл
Чувствительность: 0.117 нг/мл
Диапазон определения: 0.312-20 нг/мл
Чувствительность: 0.117 нг/мл
Monoclonal Antibody to Annexin A3 (ANXA3) (MAE786Hu26)
Источник (хозяин): мышь
Реактивность подтвержденная: человек
Валидировано для: WB
Реактивность подтвержденная: человек
Валидировано для: WB

