| UNIPROT | P40967 |
| Иммуноген | Синтетический пептид, соответствующий human PMEL17 / GP100 на С-конце |
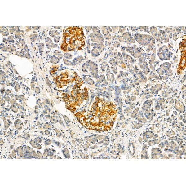
PMEL17 / GP100 Antibody (DF2953)
Реактивность подтвержденная:
человек, мышь
Источник (хозяин):
кролик
Валидировано для:
IHC
WB
IF
ICC
Характеристики
Техническое описание
| Каталожный номер | DF2953 |
| Название антигена | Melanoma Associated ME20 (ME20M) |
| UNIPROT | P40967 |
| Иммуноген | Синтетический пептид, соответствующий human PMEL17 / GP100 на С-конце |
| Английские синонимы | PMEL, GP100, SI, SIL, SILV, Pmel17, Silver Homolog, Premelanosome Protein, Silver Locus Protein Homolog, 95 kDa melanocyte-specific secreted glycoprotein |
Реактивность подтвержденная Нужна другая реактивность? |
человек, мышь |
| Реактивность предсказываемая | свинья, корова, лошадь, овца, собака, курица, лягушка |
| Источник (хозяин) | кролик |
| Изотип | IgG |
| Клональность | поликлональное |
| Рекомбинантное | нет |
| Готовое к использованию | нет |
| Концентрация | 1 мг/мл |
| Конъюгат | нет |
| Валидировано для | IHC WB IF ICC Иммуногистохимия; Вестерн-блоттинг; Иммунофлуоресценция; Иммуноцитохимия |
| Рекомендуемые разведения | WB: 1:1000-3000; IHC: 1:50-1:200; IF/ICC: 1:100-1:500; Оптимальное разведение определяется конечным потребителем |
| Метод очистки | Антисыворотку очищали методом аффинной хроматографии пептидов с использованием связывающей смолы SulfoLink® (Thermo Fisher Scientific) |
| Состав буфера | Rabbit IgG в PBS; pH 7.4; 150mM NaCl; 0.02% азид натрия и 50% глицерин |
| RRID | AB_2840937 |
| Условия доставки | Термобокс с аккумуляторами холода |
| Условия хранения | Хранить при -20ºС. Стабилен 12 месяцев с даты получения |
| Срок хранения | 12 месяцев |
| Производитель | Affinity |
| Ссылка на страницу товара на сайте производителя | https://www.affbiotech.com/goods-11201-DF2953-PMEL17__GP100_Antibody.html |
|
Артикул
|
Наименование |
Производитель
|
|---|
|
Артикул
|
Наименование |
Производитель
|
|---|
|
Артикул
|
Наименование |
Производитель
|
|---|
Акции и предложения
Популярные продукты:
Human Osteoglycin ELISA kit (E01O0853)
Организм: человек
Mouse Osteoglycin ELISA kit (E03O0853)
Организм: мышь
Monkey Nuclear autoantigenic sperm protein(NASP)ELISA kit (E09N0604)
Организм: обезьяна
Bovine Dysferlin ELISA kit (E11D0325)
Организм: корова

