| UNIPROT | Q9D2R0 |
| Иммуноген | RPG352Mu01-Recombinant Acetoacetyl Coenzyme A Synthetase (AACS) |
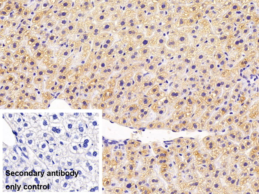
Polyclonal Antibody to Acetoacetyl Coenzyme A Synthetase (AACS) (PAG352Mu01)
Реактивность подтвержденная:
мышь
Источник (хозяин):
кролик
Валидировано для:
IHC
WB
Характеристики
Техническое описание
| Русское название | PAG352Mu01 Поликлональное антитело к AACS (мышь) <Cloud-Clone,Китай> |
| Каталожный номер | PAG352Mu01 |
| Название антигена | Acetoacetyl Coenzyme A Synthetase (AACS) |
| UNIPROT | Q9D2R0 |
| Иммуноген | RPG352Mu01-Recombinant Acetoacetyl Coenzyme A Synthetase (AACS) |
| Английские синонимы | SUR-5, ACSF1, Protein sur-5 homolog, Acyl-CoA synthetase family member 1 |
Реактивность подтвержденная Нужна другая реактивность? |
мышь |
| Источник (хозяин) | кролик |
| Клональность | поликлональное |
| Рекомбинантное | нет |
| Готовое к использованию | нет |
| Концентрация | 500 мкг/мл |
| Конъюгат | По запросу: HRP, biotin, PerCP, PE, Cy3, FITC, Cy7, Cy5.5, PE-Cy5, PE-Cy7, PerCp-Cy5.5, APC, Cy5, PE-Cy3, PE-Cy5.5, APC-Cy7, Biotin-APC, FITC-Biotin, TRITC, APC-Cy5, AF488, AF594, AF405, AF555, AF700, AF647, AF750 |
| Валидировано для | IHC WB Иммуногистохимия; Вестерн-блоттинг |
| Рекомендуемые разведения | WB: 0.2-2 мкг/мл; 1:250-2500; IHC: 5-20 мкг/мл; 1:25-100; ICC: 5-20 мкг/мл; 1:25-100; Оптимальное разведение определяется конечным потребителем |
| Метод очистки | Антигенспецифическая аффинная хроматография с последующей аффинной хроматографией с белком А |
| Состав буфера | PBS, pH7.4, 0.02% NaN3, 50% глицерин |
| Условия доставки | термобокс с аккумуляторами холода |
| Условия хранения | Сразу после получения аликвотировать и хранить при -20ºС до 24 месяцев. Для частого использования хранить при +4ºС не более 2 недель. Избегать повторения циклов замерзания/оттаивания |
| Срок хранения | 24 месяца |
| Производитель | Cloud-Clone Corp. |
| Ссылка на страницу товара на сайте производителя | http://www.cloud-clone.com/products/PAG352Mu01.html |
Акции и предложения
Популярные продукты:
Chicken Claudin 3(CLDN3) ELISA kit (E12C0987)
Организм: курица
Диапазон определения: 1-25 нг/мл
Чувствительность: 0.1 нг/мл
Диапазон определения: 1-25 нг/мл
Чувствительность: 0.1 нг/мл
Anti-Human Abeta40/Beta-APP40 Antibody (SAA1461) (RHK08302)
Источник (хозяин): человек
Реактивность подтвержденная: человек, мышь, крыса
Валидировано для: ELISA
Реактивность подтвержденная: человек, мышь, крыса
Валидировано для: ELISA
Anti-SALL4 Antibody (R3Z55) (RHK89102)
Источник (хозяин): мышь
Реактивность подтвержденная: человек
Валидировано для: ELISA, FCM, IF
Реактивность подтвержденная: человек
Валидировано для: ELISA, FCM, IF
Anti-SALL4 Antibody (R3Z50) (RHK89107)
Источник (хозяин): мышь
Реактивность подтвержденная: человек
Валидировано для: ELISA, FCM
Реактивность подтвержденная: человек
Валидировано для: ELISA, FCM
Anti-LY6G6D/MEGT1 Antibody (R2W47) (RHB78001)
Источник (хозяин): мышь
Реактивность подтвержденная: человек, мышь, крыса, обезьяна
Валидировано для: ELISA, FCM, IF, WB
Реактивность подтвержденная: человек, мышь, крыса, обезьяна
Валидировано для: ELISA, FCM, IF, WB
OBFC1 Polyclonal Antibody (E-AB-91446)
Источник (хозяин): кролик
Реактивность подтвержденная: человек
Валидировано для: WB
Реактивность подтвержденная: человек
Валидировано для: WB

