| UNIPROT | Q9R045 |
| Иммуноген | RPB919Mu01-Recombinant Angiopoietin Like Protein 2 (ANGPTL2) |
Polyclonal Antibody to Angiopoietin Like Protein 2 (ANGPTL2) (PAB919Mu01)
Реактивность подтвержденная:
мышь
Источник (хозяин):
кролик
Валидировано для:
IHC
WB
Характеристики
Техническое описание
| Русское название | PAB919Mu01 Поликлональное антитело к ANGPTL2 (мышь) <Cloud-Clone,Китай> |
| Каталожный номер | PAB919Mu01 |
| Название антигена | Angiopoietin Like Protein 2 (ANGPTL2) |
| UNIPROT | Q9R045 |
| Иммуноген | RPB919Mu01-Recombinant Angiopoietin Like Protein 2 (ANGPTL2) |
| Английские синонимы | HARP, ARP2, Angiopoietin-Related Protein 2 |
Реактивность подтвержденная Нужна другая реактивность? |
мышь |
| Реактивность предсказываемая | человек, крыса |
| Источник (хозяин) | кролик |
| Клональность | поликлональное |
| Рекомбинантное | нет |
| Готовое к использованию | нет |
| Концентрация | 0.5 мг/мл |
| Конъюгат | По запросу: HRP, biotin, PerCP, PE, Cy3, FITC, Cy7, Cy5.5, PE-Cy5, PE-Cy7, PerCp-Cy5.5, APC, Cy5, PE-Cy3, PE-Cy5.5, APC-Cy7, Biotin-APC, FITC-Biotin, TRITC, APC-Cy5, AF488, AF594, AF405, AF555, AF700, AF647, AF750 |
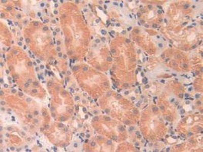
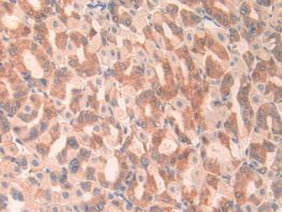
| Валидировано для | IHC WB Иммуногистохимия; Вестерн-блоттинг |
| Рекомендуемые разведения | WB: 0.01-2 мкг/мл; IHC: 5-20 мкг/мл; Оптимальное разведение определяется конечным потребителем |
| Метод очистки | Антигенспецифическая аффинная хроматография с последующей аффинной хроматографией с белком А |
| Состав буфера | PBS, pH7.4, 0.02% NaN3, 50% глицерин |
| Условия доставки | термобокс с аккумуляторами холода |
| Условия хранения | Сразу после получения аликвотировать и хранить при -20ºС до 24 месяцев. Для частого использования хранить при +4ºС не более 2 недель. Избегать повторения циклов замерзания/оттаивания |
| Срок хранения | 24 месяца |
| Производитель | Cloud-Clone Corp. |
| Ссылка на страницу товара на сайте производителя | http://www.cloud-clone.com/products/PAB919Mu01.html |
|
Артикул
|
Наименование |
Производитель
|
|---|
|
Артикул
|
Наименование |
Производитель
|
|---|
|
Артикул
|
Наименование |
Производитель
|
|---|
|
Артикул
|
Наименование |
Производитель
|
|---|
Акции и предложения
Популярные продукты:
Anti-Diethylstilbestrol/DES Monoclonal Antibody (1A485) (MGK61506)
Источник (хозяин): мышь
Реактивность подтвержденная: для всех
Валидировано для: ELISA
Реактивность подтвержденная: для всех
Валидировано для: ELISA
Monoclonal Antibody to Tetracycline (TTC) (MAK777Ge22)
Источник (хозяин): мышь
Реактивность подтвержденная: для всех
Валидировано для: ELISA, ICC
Реактивность подтвержденная: для всех
Валидировано для: ELISA, ICC
Monoclonal Antibody to Tetracycline (TTC) (MAK777Ge21)
Источник (хозяин): мышь
Реактивность подтвержденная: для всех
Валидировано для: ELISA, ICC
Реактивность подтвержденная: для всех
Валидировано для: ELISA, ICC
Monoclonal Antibody to Alpha-2-Glycoprotein 1, Zinc Binding (aZGP1) (MAL231Ra26)
Источник (хозяин): мышь
Реактивность подтвержденная: крыса
Валидировано для: ICC, IF
Реактивность подтвержденная: крыса
Валидировано для: ICC, IF
ELISA Kit for Pleckstrin Homology Domain Containing Family A, Member 1 (PLEKHA1) (SEH871Mu)
Организм: мышь
Диапазон определения: 0.156-10 нг/мл
Чувствительность: 0.057 нг/мл
Диапазон определения: 0.156-10 нг/мл
Чувствительность: 0.057 нг/мл

