| UNIPROT | Q9D906 |
| Иммуноген | RPL222Mu01-Recombinant Autophagy Related Protein 7 (ATG7) |
Polyclonal Antibody to Autophagy Related Protein 7 (ATG7) (PAL222Mu01)
Реактивность подтвержденная:
мышь
Источник (хозяин):
кролик
Валидировано для:
IHC
Характеристики
Техническое описание
| Русское название | PAL222Mu01 Поликлональное антитело к ATG7 (мышь) <Cloud-Clone,Китай> |
| Каталожный номер | PAL222Mu01 |
| Название антигена | Autophagy Related Protein 7 (ATG7) |
| UNIPROT | Q9D906 |
| Иммуноген | RPL222Mu01-Recombinant Autophagy Related Protein 7 (ATG7) |
| Английские синонимы | APG7L, GSA7, Ubiquitin-like modifier-activating enzyme ATG7, ATG12-activating enzyme E1 ATG7, Ubiquitin-activating enzyme E1-like protein |
Реактивность подтвержденная Нужна другая реактивность? |
мышь |
| Реактивность предсказываемая | человек, крыса |
| Источник (хозяин) | кролик |
| Клональность | поликлональное |
| Рекомбинантное | нет |
| Готовое к использованию | нет |
| Концентрация | 0.42 мг/мл |
| Конъюгат | По запросу: HRP, biotin, PerCP, PE, Cy3, FITC, Cy7, Cy5.5, PE-Cy5, PE-Cy7, PerCp-Cy5.5, APC, Cy5, PE-Cy3, PE-Cy5.5, APC-Cy7, Biotin-APC, FITC-Biotin, TRITC, APC-Cy5, AF488, AF594, AF405, AF555, AF700, AF647, AF750 |
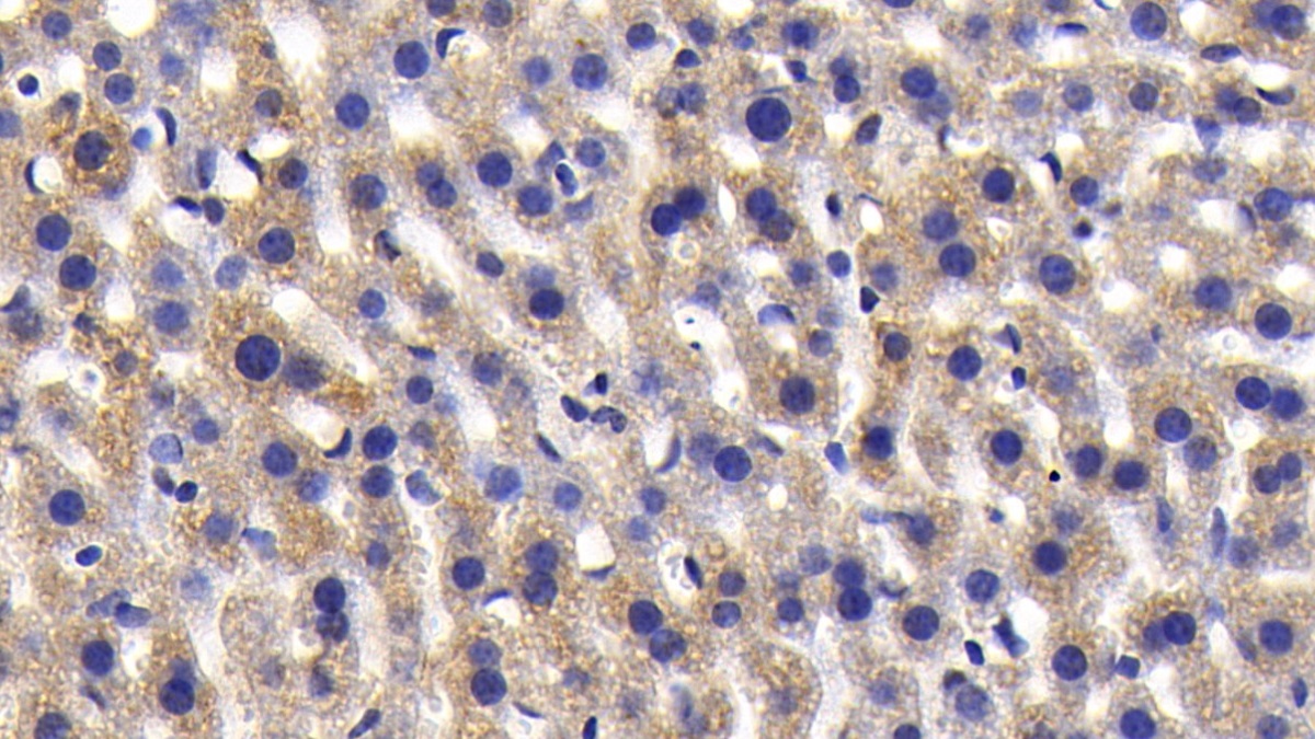
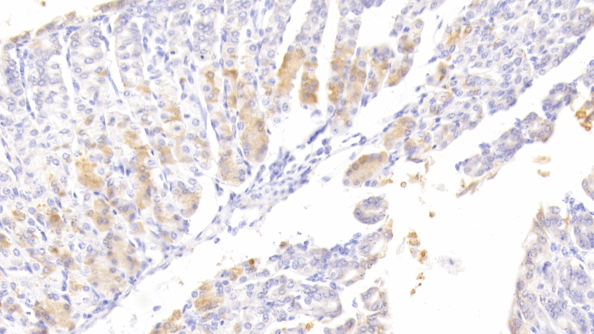
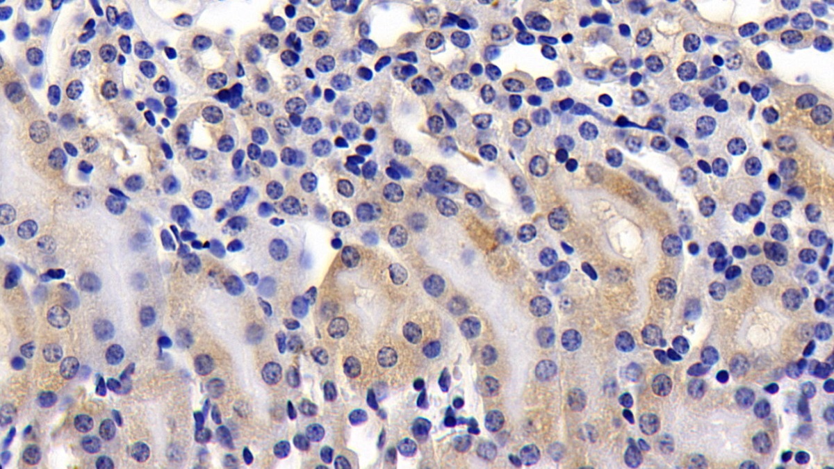
| Валидировано для | IHC Иммуногистохимия |
| Рекомендуемые разведения | WB: 0.01-2 мкг/мл; IHC: 5-20 мкг/мл; ICC: 5-20 мкг/мл; Оптимальное разведение определяется конечным потребителем |
| Метод очистки | Антигенспецифическая аффинная хроматография с последующей аффинной хроматографией с белком А |
| Состав буфера | PBS, pH7.4, 0.02% NaN3, 50% глицерин |
| Условия доставки | термобокс с аккумуляторами холода |
| Условия хранения | Сразу после получения аликвотировать и хранить при -20ºС до 24 месяцев. Для частого использования хранить при +4ºС не более 2 недель. Избегать повторения циклов замерзания/оттаивания |
| Срок хранения | 24 месяца |
| Производитель | Cloud-Clone Corp. |
| Ссылка на страницу товара на сайте производителя | http://www.cloud-clone.com/products/PAL222Mu01.html |
|
Артикул
|
Наименование |
Производитель
|
|---|
|
Артикул
|
Наименование |
Производитель
|
|---|
|
Артикул
|
Наименование |
Производитель
|
|---|
Акции и предложения
Популярные продукты:
ELISA Kit DIY Materials for Interleukin 23 Subunit Alpha (IL23a) (KSA384Ra01)
Организм: крыса
Диапазон определения: 15.6-1000 пг/мл
Чувствительность: 5.6 пг/мл
Диапазон определения: 15.6-1000 пг/мл
Чувствительность: 5.6 пг/мл
Sheep Centrobin(CNTROB) ELISA kit (E14C1877)
Организм: овца
Bovine Centrobin(CNTROB) ELISA kit (E11C1877)
Организм: корова
Canine Cystatin S(CST4) ELISA kit (E08C2123)
Организм: собака
Chicken Paired box gene 9 ELISA kit (E12P0019)
Организм: курица
Goat Paired box gene 9 ELISA kit (E06P0019)
Организм: коза

