| UNIPROT | Q9Y5Z0 |
| Иммуноген | RPB812Hu01-Recombinant Beta Secretase 2 (BACE2) |
Polyclonal Antibody to Beta Secretase 2 (BACE2) (PAB812Hu01)
Реактивность подтвержденная:
человек
Источник (хозяин):
кролик
Валидировано для:
IHC
WB
Характеристики
Техническое описание
| Русское название | PAB812Hu01 Поликлональное антитело к BACE2 (человек) <Cloud-Clone,Китай> |
| Каталожный номер | PAB812Hu01 |
| Название антигена | Beta-Site APP Cleaving Enzyme 2 (bACE2) |
| UNIPROT | Q9Y5Z0 |
| Иммуноген | RPB812Hu01-Recombinant Beta Secretase 2 (BACE2) |
| Английские синонимы | AEPLC, ALP56, ASP1, ASP21, BAE2, CDA13, CEAP1, DRAP, Beta-Secretase 2, Aspartic-like protease 56 kDa, Aspartyl protease 1, Down region aspartic protease, Memapsin-1 |
Реактивность подтвержденная Нужна другая реактивность? |
человек |
| Реактивность предсказываемая | мышь, крыса |
| Источник (хозяин) | кролик |
| Клональность | поликлональное |
| Рекомбинантное | нет |
| Готовое к использованию | нет |
| Концентрация | 0.41 мг/мл |
| Конъюгат | По запросу: HRP, biotin, PerCP, PE, Cy3, FITC, Cy7, Cy5.5, PE-Cy5, PE-Cy7, PerCp-Cy5.5, APC, Cy5, PE-Cy3, PE-Cy5.5, APC-Cy7, Biotin-APC, FITC-Biotin, TRITC, APC-Cy5, AF488, AF594, AF405, AF555, AF700, AF647, AF750 |
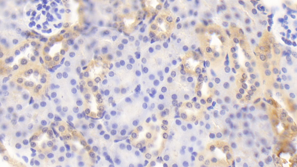
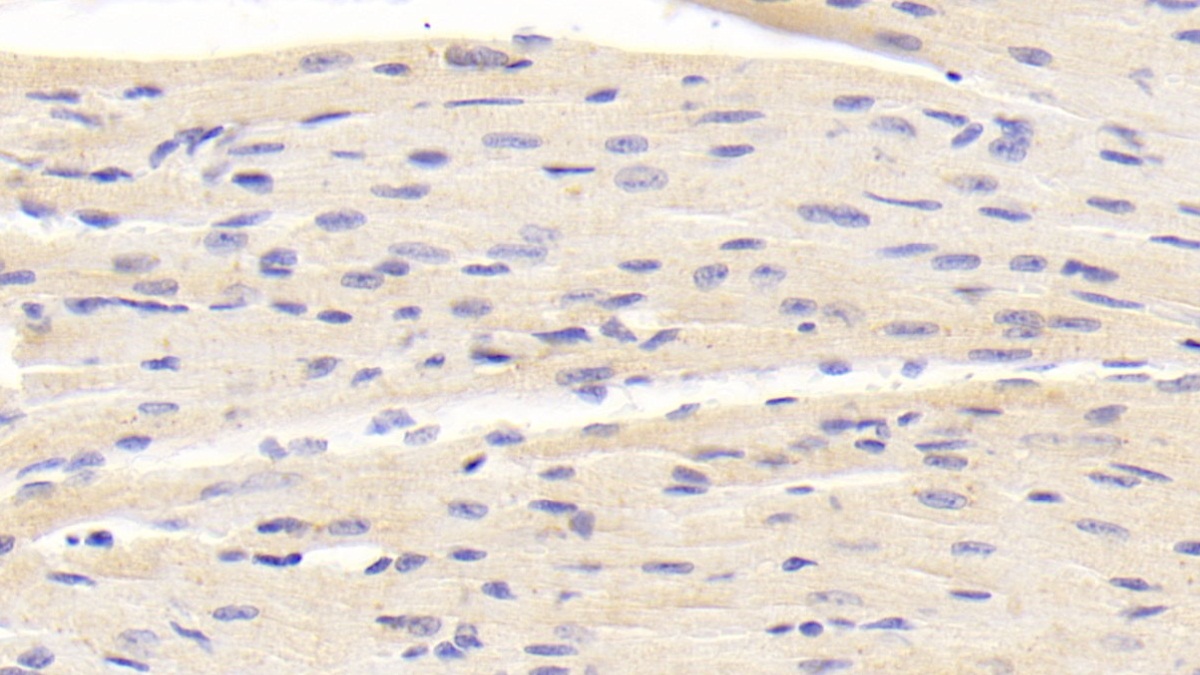
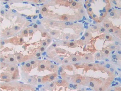
| Валидировано для | IHC WB Иммуногистохимия; Вестерн-блоттинг |
| Рекомендуемые разведения | WB: 0.01-2 мкг/мл; IHC: 5-30 мкг/мл; Оптимальное разведение определяется конечным потребителем |
| Метод очистки | Антигенспецифическая аффинная хроматография с последующей аффинной хроматографией с белком А |
| Состав буфера | 0.01M PBS, pH7.4, 0.05% Proclin-300, 50% глицерин |
| Условия доставки | термобокс с аккумуляторами холода |
| Условия хранения | Сразу после получения аликвотировать и хранить при -20ºС до 24 месяцев. Для частого использования хранить при +4ºС не более 2 недель. Избегать повторения циклов замерзания/оттаивания |
| Срок хранения | 24 месяца |
| Производитель | Cloud-Clone Corp. |
| Ссылка на страницу товара на сайте производителя | http://www.cloud-clone.com/products/PAB812Hu01.html |
|
Артикул
|
Наименование |
Производитель
|
|---|
|
Артикул
|
Наименование |
Производитель
|
|---|
|
Артикул
|
Наименование |
Производитель
|
|---|
|
Артикул
|
Наименование |
Производитель
|
|---|
Акции и предложения
Популярные продукты:
OR56B4 Mouse Monoclonal Antibody (BF8521)
Источник (хозяин): мышь
Реактивность подтвержденная: человек, мышь
Валидировано для: ICC, IF, WB
Реактивность подтвержденная: человек, мышь
Валидировано для: ICC, IF, WB
Phospho-Synaptotagmin 1/2 (Ser309) Mouse Monoclonal Antibody (BF8567)
Источник (хозяин): мышь
Реактивность подтвержденная: человек, мышь, крыса
Валидировано для: WB
Реактивность подтвержденная: человек, мышь, крыса
Валидировано для: WB
Porcine Serpin B10(SERPINB10) ELISA kit (E07S0360)
Организм: свинья
Bovine Cathepsin Z(CTSZ) ELISA kit (E11C2171)
Организм: корова
Диапазон определения: 0.5-10 нг/мл
Чувствительность: 0.1 нг/мл
Диапазон определения: 0.5-10 нг/мл
Чувствительность: 0.1 нг/мл
Sheep Dual oxidase 1(DUOX1) ELISA kit (E14D0296)
Организм: овца
Chicken Dual oxidase 1(DUOX1) ELISA kit (E12D0296)
Организм: курица

