| UNIPROT | P30043 |
| Иммуноген | RPJ550Hu01-Recombinant Biliverdin Reductase B (BLVRB) |
Polyclonal Antibody to Biliverdin Reductase B (BLVRB) (PAJ550Hu01)
Реактивность подтвержденная:
человек
Источник (хозяин):
кролик
Валидировано для:
IHC
WB
Характеристики
Техническое описание
| Русское название | PAJ550Hu01 Поликлональное антитело к BLVRB (человек) <Cloud-Clone,Китай> |
| Каталожный номер | PAJ550Hu01 |
| Название антигена | Biliverdin Reductase B (BLVRB) |
| UNIPROT | P30043 |
| Иммуноген | RPJ550Hu01-Recombinant Biliverdin Reductase B (BLVRB) |
| Английские синонимы | FLR, SDR43U1, Flavin Reductase,NADPH, Short Chain Dehydrogenase/Reductase Family 43U,Member 1, Biliverdin-IX beta-reductase, Green heme-binding protein |
Реактивность подтвержденная Нужна другая реактивность? |
человек |
| Реактивность предсказываемая | крыса |
| Источник (хозяин) | кролик |
| Клональность | поликлональное |
| Рекомбинантное | нет |
| Готовое к использованию | нет |
| Концентрация | 0.5 мг/мл |
| Конъюгат | По запросу: HRP, biotin, PerCP, PE, Cy3, FITC, Cy7, Cy5.5, PE-Cy5, PE-Cy7, PerCp-Cy5.5, APC, Cy5, PE-Cy3, PE-Cy5.5, APC-Cy7, Biotin-APC, FITC-Biotin, TRITC, APC-Cy5, AF488, AF594, AF405, AF555, AF700, AF647, AF750 |
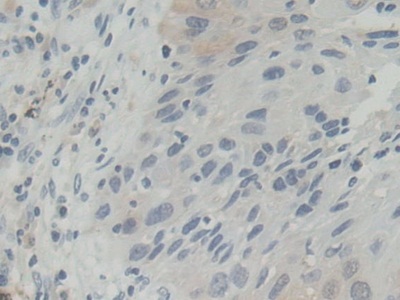
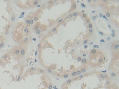
| Валидировано для | IHC WB Иммуногистохимия; Вестерн-блоттинг |
| Рекомендуемые разведения | WB: 0.01-2 мкг/мл; IHC: 5-30 мкг/мл; IF: 5-30 мкг/мл; Оптимальное разведение определяется конечным потребителем |
| Метод очистки | Антигенспецифическая аффинная хроматография с последующей аффинной хроматографией с белком А |
| Состав буфера | 0.01M PBS, pH7.4, 0.05% Proclin-300, 50% глицерин |
| Условия доставки | термобокс с аккумуляторами холода |
| Условия хранения | Сразу после получения аликвотировать и хранить при -20ºС до 24 месяцев. Для частого использования хранить при +4ºС не более 2 недель. Избегать повторения циклов замерзания/оттаивания |
| Срок хранения | 24 месяца |
| Производитель | Cloud-Clone Corp. |
| Ссылка на страницу товара на сайте производителя | http://www.cloud-clone.com/products/PAJ550Hu01.html |
|
Артикул
|
Наименование |
Производитель
|
|---|
|
Артикул
|
Наименование |
Производитель
|
|---|
|
Артикул
|
Наименование |
Производитель
|
|---|
Акции и предложения
Популярные продукты:
Monoclonal Antibody to Cytokeratin 15 (CK15) (MAA517Hu22)
Источник (хозяин): мышь
Реактивность подтвержденная: человек
Валидировано для: WB
Реактивность подтвержденная: человек
Валидировано для: WB
Porcine Glycosylated Ferritin ELISA kit (E07G0017)
Организм: свинья
Goat Secretogranin II ELISA kit (E06S0840)
Организм: коза
Monkey Glutamate Cysteine Ligase Catalytic subunit ELISA kit (E09G0104)
Организм: обезьяна
Porcine Hedgehog Homolog, Indian ELISA kit (E07I0020)
Организм: свинья
Sheep Glutathione Peroxidase 4 ELISA kit (E14G0618)
Организм: овца

