| UNIPROT | P04632 |
| Иммуноген | RPF258Hu01-Recombinant Calpain, Small Subunit 1 (CAPNS1) |
Polyclonal Antibody to Calpain, Small Subunit 1 (CAPNS1) (PAF258Hu01)
Реактивность подтвержденная:
человек
Источник (хозяин):
кролик
Валидировано для:
IHC
WB
Характеристики
Техническое описание
| Русское название | PAF258Hu01 Поликлональное антитело к CAPNS1 (человек) <Cloud-Clone,Китай> |
| Каталожный номер | PAF258Hu01 |
| Название антигена | Calpain, Small Subunit 1 (CAPNS1) |
| UNIPROT | P04632 |
| Иммуноген | RPF258Hu01-Recombinant Calpain, Small Subunit 1 (CAPNS1) |
| Английские синонимы | CANP, 30K, Calpain 4, CANPS, CAPN4, CDPS, Calcium-activated neutral proteinase small subunit, Calcium-dependent protease small subunit, Calpain regulatory subunit |
Реактивность подтвержденная Нужна другая реактивность? |
человек |
| Реактивность предсказываемая | мышь, крыса |
| Источник (хозяин) | кролик |
| Клональность | поликлональное |
| Рекомбинантное | нет |
| Готовое к использованию | нет |
| Концентрация | 0.5 мг/мл |
| Конъюгат | По запросу: HRP, biotin, PerCP, PE, Cy3, FITC, Cy7, Cy5.5, PE-Cy5, PE-Cy7, PerCp-Cy5.5, APC, Cy5, PE-Cy3, PE-Cy5.5, APC-Cy7, Biotin-APC, FITC-Biotin, TRITC, APC-Cy5, AF488, AF594, AF405, AF555, AF700, AF647, AF750 |
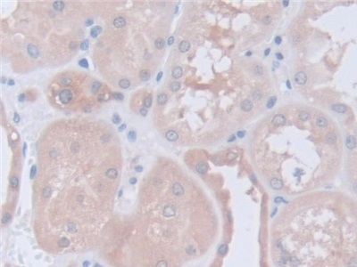
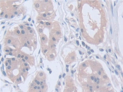
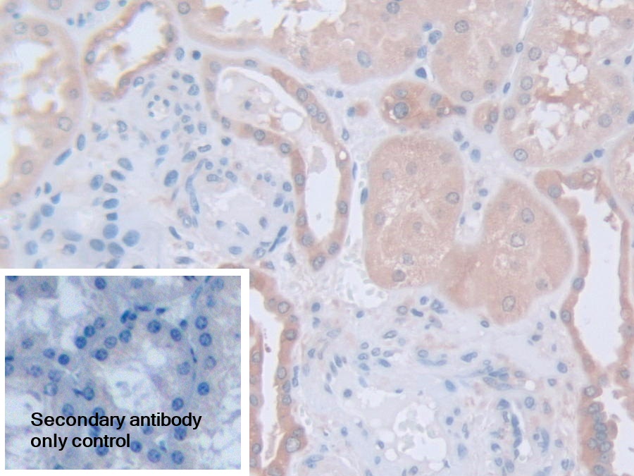
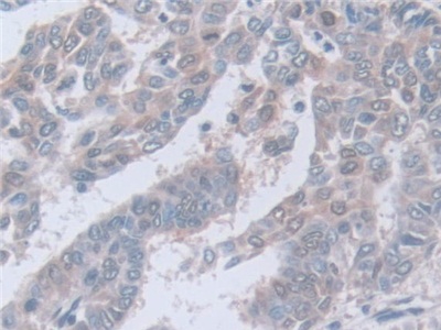
| Валидировано для | IHC WB Иммуногистохимия; Вестерн-блоттинг |
| Рекомендуемые разведения | WB: 0.5-2 мкг/мл; 1:250-1000; IHC: 5-20 мкг/мл; 1:25-100; ICC: 5-20 мкг/мл; 1:25-100; Оптимальное разведение определяется конечным потребителем |
| Метод очистки | Антигенспецифическая аффинная хроматография с последующей аффинной хроматографией с белком А |
| Состав буфера | 0.01M PBS, pH7.4, 0.05% Proclin-300, 50% глицерин |
| Условия доставки | термобокс с аккумуляторами холода |
| Условия хранения | Сразу после получения аликвотировать и хранить при -20ºС до 24 месяцев. Для частого использования хранить при +4ºС не более 2 недель. Избегать повторения циклов замерзания/оттаивания |
| Срок хранения | 24 месяца |
| Производитель | Cloud-Clone Corp. |
| Ссылка на страницу товара на сайте производителя | http://www.cloud-clone.com/products/PAF258Hu01.html |
|
Артикул
|
Наименование |
Производитель
|
|---|
|
Артикул
|
Наименование |
Производитель
|
|---|
|
Артикул
|
Наименование |
Производитель
|
|---|
Акции и предложения
Популярные продукты:
Uric Acid (UA) Colorimetric Assay Kit (E-BC-K016-M)
Организм: для всех
Диапазон определения: 1.30-80 мг/л
Чувствительность: 1.30 мг/л
Диапазон определения: 1.30-80 мг/л
Чувствительность: 1.30 мг/л
Anti-Plasmodium falciparum CSP Antibody (FS0293) (RXX55201)
Источник (хозяин): человек
Реактивность подтвержденная: простейшие
Валидировано для: ELISA, NEUT
Реактивность подтвержденная: простейшие
Валидировано для: ELISA, NEUT
Anti-Medroxyprogesterone/MP Monoclonal Antibody (1A476) (MGK61601)
Источник (хозяин): мышь
Реактивность подтвержденная: для всех
Валидировано для: ELISA
Реактивность подтвержденная: для всех
Валидировано для: ELISA
Guinea Pig Actin related protein 2/3 complex subunit 2(ARPC2) ELISA kit (E05A0989)
Организм: морская свинка
Human Astrotactin 1(ASTN1) ELISA kit (E01A1733)
Организм: человек

