| UNIPROT | Q9ERQ8 |
| Иммуноген | RPD074Mu01-Recombinant Carbonic Anhydrase VII (CA7) |
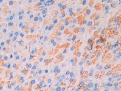
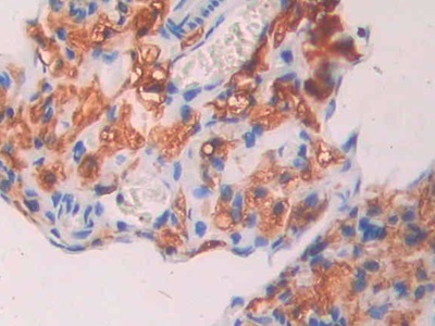
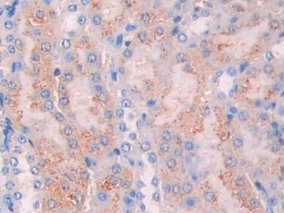
Polyclonal Antibody to Carbonic Anhydrase VII (CA7) (PAD074Mu01)
Реактивность подтвержденная:
мышь
Источник (хозяин):
кролик
Валидировано для:
IHC
Характеристики
Техническое описание
| Русское название | PAD074Mu01 Поликлональное антитело к CA7 (мышь) <Cloud-Clone,Китай> |
| Каталожный номер | PAD074Mu01 |
| Название антигена | Carbonic Anhydrase VII (CA7) |
| UNIPROT | Q9ERQ8 |
| Иммуноген | RPD074Mu01-Recombinant Carbonic Anhydrase VII (CA7) |
| Английские синонимы | CA-VII, CAVII, Carbonate dehydratase VII |
Реактивность подтвержденная Нужна другая реактивность? |
мышь |
| Реактивность предсказываемая | человек, крыса |
| Источник (хозяин) | кролик |
| Клональность | поликлональное |
| Рекомбинантное | нет |
| Готовое к использованию | нет |
| Концентрация | 0.5 мг/мл |
| Конъюгат | По запросу: HRP, biotin, PerCP, PE, Cy3, FITC, Cy7, Cy5.5, PE-Cy5, PE-Cy7, PerCp-Cy5.5, APC, Cy5, PE-Cy3, PE-Cy5.5, APC-Cy7, Biotin-APC, FITC-Biotin, TRITC, APC-Cy5, AF488, AF594, AF405, AF555, AF700, AF647, AF750 |
| Валидировано для | IHC Иммуногистохимия |
| Рекомендуемые разведения | WB: 0.5-2 мкг/мл; ICC (фиксация формалином): 5-20 мкг/мл; IHC (замороженные срезы): 5-20 мкг/мл; IHC (парафиновые срезы): 5-20 мкг/мл; ELISA: 0.05-2 мкг/мл; Оптимальное разведение определяется конечным потребителем |
| Метод очистки | Антигенспецифическая аффинная хроматография с последующей аффинной хроматографией с белком А |
| Состав буфера | 0.01M PBS, pH7.4, 0.05% Proclin-300, 50% глицерин |
| Условия доставки | термобокс с аккумуляторами холода |
| Условия хранения | Сразу после получения аликвотировать и хранить при -20ºС до 24 месяцев. Для частого использования хранить при +4ºС не более 2 недель. Избегать повторения циклов замерзания/оттаивания |
| Срок хранения | 24 месяца |
| Производитель | Cloud-Clone Corp. |
| Ссылка на страницу товара на сайте производителя | http://www.cloud-clone.com/products/PAD074Mu01.html |
|
Артикул
|
Наименование |
Производитель
|
|---|
|
Артикул
|
Наименование |
Производитель
|
|---|
|
Артикул
|
Наименование |
Производитель
|
|---|
|
Артикул
|
Наименование |
Производитель
|
|---|
Акции и предложения
Популярные продукты:
Anti-Interleukin 7 (IL7) Monoclonal Antibody (FAA662Hu06)
Источник (хозяин): мышь
Реактивность подтвержденная: человек
Валидировано для: FCM
Реактивность подтвержденная: человек
Валидировано для: FCM
Anti-Cluster Of Differentiation 42b (CD42b) Monoclonal Antibody (FAB108Hu06)
Источник (хозяин): мышь
Реактивность подтвержденная: человек
Валидировано для: FCM
Реактивность подтвержденная: человек
Валидировано для: FCM
Rat Iduronate sulfatase ELISA kit (E02I0334)
Организм: крыса
Canine Cerebellin 4(CBLN4) ELISA kit (E08C1410)
Организм: собака
Human Anti livin antibody ELISA kit (E01A0023)
Организм: человек
Диапазон определения: 0.5-10 нг/мл
Чувствительность: 0.1 нг/мл
Диапазон определения: 0.5-10 нг/мл
Чувствительность: 0.1 нг/мл
Rat Growth Factor Receptor Bound Protein 14 ELISA kit (E02G0244)
Организм: крыса

