| UNIPROT | P11684 |
| Иммуноген | RPA857Hu01-Recombinant Clara Cell Protein 16 (CC16) |
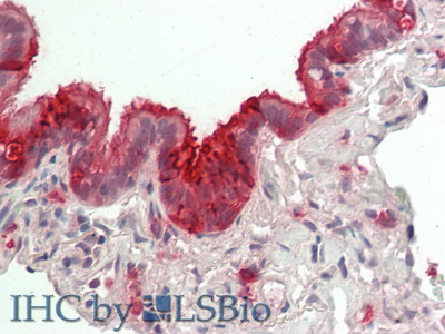
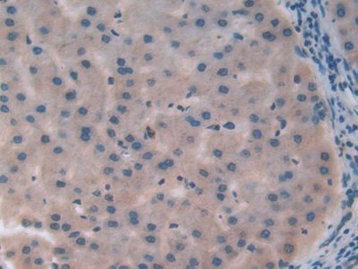
Polyclonal Antibody to Clara Cell Protein 16 (CC16) (PAA857Hu01)
Реактивность подтвержденная:
человек
Источник (хозяин):
кролик
Валидировано для:
IHC
WB
Характеристики
Техническое описание
| Русское название | PAA857Hu01 Поликлональное антитело к CC16 (человек) <Cloud-Clone,Китай> |
| Каталожный номер | PAA857Hu01 |
| Название антигена | Clara Cell Protein 16 (CC16) |
| UNIPROT | P11684 |
| Иммуноген | RPA857Hu01-Recombinant Clara Cell Protein 16 (CC16) |
| Английские синонимы | SCGB1A1, CC10, CCSP, UGB, Uteroglobin, Urinary Protein 1, Clara Cell Secretory Protein, Secretoglobin Family 1A Member 1, Clara-Cell Specific 10-kD Protein |
Реактивность подтвержденная Нужна другая реактивность? |
человек |
| Источник (хозяин) | кролик |
| Клональность | поликлональное |
| Рекомбинантное | нет |
| Готовое к использованию | нет |
| Концентрация | 0.5 мг/мл |
| Конъюгат | По запросу: HRP, biotin, PerCP, PE, Cy3, FITC, Cy7, Cy5.5, PE-Cy5, PE-Cy7, PerCp-Cy5.5, APC, Cy5, PE-Cy3, PE-Cy5.5, APC-Cy7, Biotin-APC, FITC-Biotin, TRITC, APC-Cy5, AF488, AF594, AF405, AF555, AF700, AF647, AF750 |
| Валидировано для | IHC WB Иммуногистохимия; Вестерн-блоттинг |
| Рекомендуемые разведения | WB: 0.5-2 мкг/мл; ICC (фиксация формалином): 5-20 мкг/мл; IHC (замороженные срезы): 5-20 мкг/мл; IHC (парафиновые срезы): 5-20 мкг/мл; ELISA: 0.05-2 мкг/мл; Оптимальное разведение определяется конечным потребителем |
| Метод очистки | Антигенспецифическая аффинная хроматография с последующей аффинной хроматографией с белком А |
| Состав буфера | 0.01M PBS, pH7.4, 0.05% Proclin-300, 50% глицерин |
| Условия доставки | термобокс с аккумуляторами холода |
| Условия хранения | Сразу после получения аликвотировать и хранить при -20ºС до 24 месяцев. Для частого использования хранить при +4ºС не более 2 недель. Избегать повторения циклов замерзания/оттаивания |
| Срок хранения | 24 месяца |
| Производитель | Cloud-Clone Corp. |
| Ссылка на страницу товара на сайте производителя | http://www.cloud-clone.com/products/PAA857Hu01.html |
|
Артикул
|
Наименование |
Производитель
|
|---|
|
Артикул
|
Наименование |
Производитель
|
|---|
|
Артикул
|
Наименование |
Производитель
|
|---|
|
Артикул
|
Наименование |
Производитель
|
|---|
|
Артикул
|
Наименование |
Производитель
|
|---|
Акции и предложения
Популярные продукты:
Recombinant Human HER3/ErbB3 Protein (His Tag) (PKSH031766)
Источник (хозяин): HEK293
Организм: человек
Фрагмент: Met 1-Thr 643
Теги: C-His
Биоактивность: да
Организм: человек
Фрагмент: Met 1-Thr 643
Теги: C-His
Биоактивность: да
Recombinant Mouse DLL4 Protein (His Tag) (PKSM040570)
Источник (хозяин): HEK293
Организм: мышь
Фрагмент: Met 1-Pro 525
Теги: C-His
Биоактивность: да
Организм: мышь
Фрагмент: Met 1-Pro 525
Теги: C-His
Биоактивность: да
Anti-Human RABGEF1 Polyclonal Antibody (PHK57901)
Источник (хозяин): кролик
Реактивность подтвержденная: человек
Валидировано для: ELISA, IHC, WB
Реактивность подтвержденная: человек
Валидировано для: ELISA, IHC, WB
Anti-Mouse CD8a/Lyt2 Antibody (2.43), PE (FMB96012)
Источник (хозяин): крыса
Реактивность подтвержденная: мышь
Валидировано для: FCM
Реактивность подтвержденная: мышь
Валидировано для: FCM
ELISA Kit for Insulin Like Growth Factor 2 (IGF2) (RA051S-Mu)
Организм: мышь
Диапазон определения: 15.6-1000 пг/мл
Чувствительность: 6.0 пг/мл
Диапазон определения: 15.6-1000 пг/мл
Чувствительность: 6.0 пг/мл
ELISA Kit DIY Materials for Liver Receptor Homolog 1 (LRH1) (KSD965Hu01)
Организм: человек
Диапазон определения: 0.312-20 нг/мл
Чувствительность: 0.112 нг/мл
Диапазон определения: 0.312-20 нг/мл
Чувствительность: 0.112 нг/мл

