| UNIPROT | Q5ZPR3 |
| Иммуноген | RPA781Hu01-Recombinant Cluster Of Differentiation 276 (CD276) |
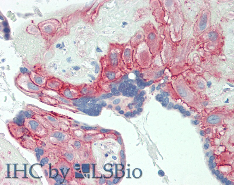
Polyclonal Antibody to Cluster Of Differentiation 276 (CD276) (PAA781Hu01)
Реактивность подтвержденная:
человек
Источник (хозяин):
кролик
Валидировано для:
FCM
IHC
WB
Характеристики
Техническое описание
| Русское название | PAA781Hu01 Поликлональное антитело к CD276 (человек) <Cloud-Clone,Китай> |
| Каталожный номер | PAA781Hu01 |
| Название антигена | Cluster Of Differentiation 276 (CD276) |
| UNIPROT | Q5ZPR3 |
| Иммуноген | RPA781Hu01-Recombinant Cluster Of Differentiation 276 (CD276) |
| Английские синонимы | CD-276, CD 276, B7-H3, B7H3, CD276 Molecule, B7 homolog 3, Costimulatory molecule |
| Русские синонимы | Кластер дифференцировки 276 |
Реактивность подтвержденная Нужна другая реактивность? |
человек |
| Источник (хозяин) | кролик |
| Клональность | поликлональное |
| Рекомбинантное | нет |
| Готовое к использованию | нет |
| Концентрация | 0.5 мг/мл |
| Конъюгат | По запросу: HRP, biotin, PerCP, PE, Cy3, FITC, Cy7, Cy5.5, PE-Cy5, PE-Cy7, PerCp-Cy5.5, APC, Cy5, PE-Cy3, PE-Cy5.5, APC-Cy7, Biotin-APC, FITC-Biotin, TRITC, APC-Cy5, AF488, AF594, AF405, AF555, AF700, AF647, AF750 |
| Валидировано для | FCM IHC WB Проточная цитометрия; Иммуногистохимия; Вестерн-блоттинг |
| Рекомендуемые разведения | WB: 0.01-3 мкг/мл; IHC: 5-30 мкг/мл; FCM: 0.5-2 мкг на 10^6 клеток в 100 мкл; Оптимальное разведение определяется конечным потребителем |
| Метод очистки | Антигенспецифическая аффинная хроматография с последующей аффинной хроматографией с белком А |
| Состав буфера | 0.01M PBS, pH7.4, 0.05% Proclin-300, 50% глицерин |
| Условия доставки | термобокс с аккумуляторами холода |
| Условия хранения | Сразу после получения аликвотировать и хранить при -20ºС до 24 месяцев. Для частого использования хранить при +4ºС не более 2 недель. Избегать повторения циклов замерзания/оттаивания |
| Срок хранения | 24 месяца |
| Производитель | Cloud-Clone Corp. |
| Ссылка на страницу товара на сайте производителя | http://www.cloud-clone.com/products/PAA781Hu01.html |
|
Артикул
|
Наименование |
Производитель
|
|---|
|
Артикул
|
Наименование |
Производитель
|
|---|
|
Артикул
|
Наименование |
Производитель
|
|---|
|
Артикул
|
Наименование |
Производитель
|
|---|
Акции и предложения
Популярные продукты:
Anti-FMC63 scFv Monoclonal Antibody (SAA1996), FITC (RAD10811)
Источник (хозяин): кролик
Реактивность подтвержденная: для всех
Валидировано для: ELISA, FCM
Реактивность подтвержденная: для всех
Валидировано для: ELISA, FCM
Anti-Periostin (POSTN) Polyclonal Antibody (FAH339Ra01)
Источник (хозяин): кролик
Реактивность подтвержденная: крыса
Валидировано для: FCM
Реактивность подтвержденная: крыса
Валидировано для: FCM
ELISA Kit DIY Materials for Nicotinamide Adenine Dinucleotide Phosphate Oxidase 1 (NOX1) (KSA554Hu01)
Организм: человек
Диапазон определения: 0.156-10 нг/мл
Чувствительность: 0.056 нг/мл
Диапазон определения: 0.156-10 нг/мл
Чувствительность: 0.056 нг/мл
ELISA Kit DIY Materials for N-cadherin (NCAD) (KSB481Mu01)
Организм: мышь
Диапазон определения: 0.156-10 нг/мл
Чувствительность: 0.055 нг/мл
Диапазон определения: 0.156-10 нг/мл
Чувствительность: 0.055 нг/мл
Human Mediator of RNA polymerase II transcription subunit 25(MED25) ELISA kit (E01M0078)
Организм: человек
Диапазон определения: 0.5-10 нг/мл
Чувствительность: 0.1 нг/мл
Диапазон определения: 0.5-10 нг/мл
Чувствительность: 0.1 нг/мл

