| UNIPROT | Q07969 |
| Иммуноген | RPB530Ra01-Recombinant Cluster Of Differentiation 36 (CD36) |
Polyclonal Antibody to Cluster Of Differentiation 36 (CD36) (PAB530Ra01)
Реактивность подтвержденная:
крыса
Источник (хозяин):
кролик
Валидировано для:
IHC
WB
Характеристики
Техническое описание
| Русское название | PAB530Ra01 Поликлональное антитело к CD36 (крыса) <Cloud-Clone,Китай> |
| Каталожный номер | PAB530Ra01 |
| Название антигена | Platelet Membrane Glycoprotein IV (GP4) |
| UNIPROT | Q07969 |
| Иммуноген | RPB530Ra01-Recombinant Cluster Of Differentiation 36 (CD36) |
| Английские синонимы | CD36, FAT, GP3B, GPIV, PASIV, SCARB3, GP88, GpIIIb, Glycoprotein IIIb, Collagen Type I Receptor, Thrombospondin Receptor, Fatty acid translocase, Platelet collagen receptor |
Реактивность подтвержденная Нужна другая реактивность? |
крыса |
| Реактивность предсказываемая | человек |
| Источник (хозяин) | кролик |
| Клональность | поликлональное |
| Рекомбинантное | нет |
| Готовое к использованию | нет |
| Концентрация | 500 мкг/мл |
| Конъюгат | По запросу: HRP, biotin, PerCP, PE, Cy3, FITC, Cy7, Cy5.5, PE-Cy5, PE-Cy7, PerCp-Cy5.5, APC, Cy5, PE-Cy3, PE-Cy5.5, APC-Cy7, Biotin-APC, FITC-Biotin, TRITC, APC-Cy5, AF488, AF594, AF405, AF555, AF700, AF647, AF750 |
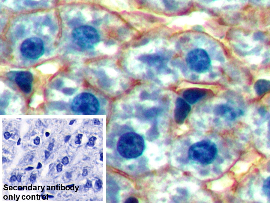
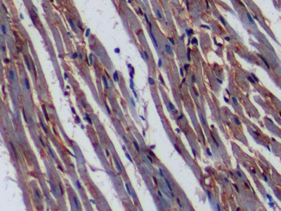
| Валидировано для | IHC WB Иммуногистохимия; Вестерн-блоттинг |
| Рекомендуемые разведения | WB: 0.5-2 мкг/мл; IHC: 5-20 мкг/мл; ICC: 5-20 мкг/мл; Оптимальное разведение определяется конечным потребителем |
| Метод очистки | Антигенспецифическая аффинная хроматография с последующей аффинной хроматографией с белком А |
| Состав буфера | 0.01M PBS, pH7.4, 0.05% Proclin-300, 50% глицерин |
| Условия доставки | термобокс с аккумуляторами холода |
| Условия хранения | Сразу после получения аликвотировать и хранить при -20ºС до 24 месяцев. Для частого использования хранить при +4ºС не более 2 недель. Избегать повторения циклов замерзания/оттаивания |
| Срок хранения | 24 месяца |
| Производитель | Cloud-Clone Corp. |
| Ссылка на страницу товара на сайте производителя | http://www.cloud-clone.com/products/PAB530Ra01.html |
|
Артикул
|
Наименование |
Производитель
|
|---|
|
Артикул
|
Наименование |
Производитель
|
|---|
|
Артикул
|
Наименование |
Производитель
|
|---|
|
Артикул
|
Наименование |
Производитель
|
|---|
|
Артикул
|
Наименование |
Производитель
|
|---|
Акции и предложения
Популярные продукты:
Anti-Klebsiella pneumoniae mrkA Antibody (SAb2298) (RXX26102)
Источник (хозяин): мышь
Реактивность подтвержденная: бактерии
Валидировано для: ELISA, IF, IP, WB
Реактивность подтвержденная: бактерии
Валидировано для: ELISA, IF, IP, WB
Anti-HIV-1 p24 Antibody (SAb2367) (RVV19307)
Источник (хозяин): мышь
Реактивность подтвержденная: вирусы
Валидировано для: CLIA, ELISA
Реактивность подтвержденная: вирусы
Валидировано для: CLIA, ELISA
ELISA Kit DIY Materials for Cathepsin L (CTSL) (KSA306Ra01)
Организм: крыса
Диапазон определения: 0.625-40 нг/мл
Чувствительность: 0.239 нг/мл
Диапазон определения: 0.625-40 нг/мл
Чувствительность: 0.239 нг/мл
ELISA Kit DIY Materials for Thioredoxin-interacting Protein (TXNIP) (KSB162Mu01)
Организм: мышь
Диапазон определения: 0.312-20 нг/мл
Чувствительность: 0.117 нг/мл
Диапазон определения: 0.312-20 нг/мл
Чувствительность: 0.117 нг/мл
Monoclonal Antibody to Ubiquitin Cross Reactive Protein (UCRP) (MAL630Hu28)
Источник (хозяин): мышь
Реактивность подтвержденная: человек
Валидировано для: WB
Реактивность подтвержденная: человек
Валидировано для: WB
Monoclonal Antibody to Ubiquitin Cross Reactive Protein (UCRP) (MAL630Hu27)
Источник (хозяин): мышь
Реактивность подтвержденная: человек
Валидировано для: WB
Реактивность подтвержденная: человек
Валидировано для: WB

