| UNIPROT | P09564 |
| Иммуноген | RPB784Hu01-Recombinant Cluster Of Differentiation 7 (CD7) |
Polyclonal Antibody to Cluster Of Differentiation 7 (CD7) (PAB784Hu01)
Реактивность подтвержденная:
человек
Источник (хозяин):
кролик
Валидировано для:
ICC
IHC
WB
Характеристики
Техническое описание
| Русское название | PAB784Hu01 Поликлональное антитело к CD7 (человек) <Cloud-Clone,Китай> |
| Каталожный номер | PAB784Hu01 |
| Название антигена | Cluster Of Differentiation 7 (CD7) |
| UNIPROT | P09564 |
| Иммуноген | RPB784Hu01-Recombinant Cluster Of Differentiation 7 (CD7) |
| Английские синонимы | CD-7, CD 7, GP40, LEU9, TP41, Tp40, p41 Protein, T-cell Antigen CD7, T-cell Leukemia Antigen, T-cell surface antigen Leu-9 |
| Русские синонимы | Кластер дифференцировки 7 |
Реактивность подтвержденная Нужна другая реактивность? |
человек |
| Источник (хозяин) | кролик |
| Клональность | поликлональное |
| Рекомбинантное | нет |
| Готовое к использованию | нет |
| Концентрация | 500 мкг/мл |
| Конъюгат | По запросу: HRP, biotin, PerCP, PE, Cy3, FITC, Cy7, Cy5.5, PE-Cy5, PE-Cy7, PerCp-Cy5.5, APC, Cy5, PE-Cy3, PE-Cy5.5, APC-Cy7, Biotin-APC, FITC-Biotin, TRITC, APC-Cy5, AF488, AF594, AF405, AF555, AF700, AF647, AF750 |
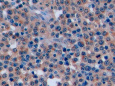
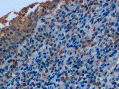
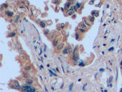
| Валидировано для | ICC IHC WB Иммуноцитохимия; Иммуногистохимия; Вестерн-блоттинг |
| Рекомендуемые разведения | WB: 0.5-2 мкг/мл; IHC: 5-20 мкг/мл; ICC: 5-20 мкг/мл; Оптимальное разведение определяется конечным потребителем |
| Метод очистки | Антигенспецифическая аффинная хроматография с последующей аффинной хроматографией с белком А |
| Состав буфера | PBS, pH7.4, 0.02% NaN3, 50% глицерин |
| Условия доставки | термобокс с аккумуляторами холода |
| Условия хранения | Сразу после получения аликвотировать и хранить при -20ºС до 24 месяцев. Для частого использования хранить при +4ºС не более 2 недель. Избегать повторения циклов замерзания/оттаивания |
| Срок хранения | 24 месяца |
| Производитель | Cloud-Clone Corp. |
| Ссылка на страницу товара на сайте производителя | http://www.cloud-clone.com/products/PAB784Hu01.html |
|
Артикул
|
Наименование |
Производитель
|
|---|
|
Артикул
|
Наименование |
Производитель
|
|---|
|
Артикул
|
Наименование |
Производитель
|
|---|
|
Артикул
|
Наименование |
Производитель
|
|---|
Акции и предложения
Популярные продукты:
ELISA Kit DIY Materials for Forkhead Box Protein A1 (FOXA1) (KSG207Hu01)
Организм: человек
Диапазон определения: 31.2-2000 пг/мл
Чувствительность: 11.3 пг/мл
Диапазон определения: 31.2-2000 пг/мл
Чувствительность: 11.3 пг/мл
Mouse Cyclin L2(CCNL2) ELISA kit (E03C1168)
Организм: мышь
Chicken Involucrin(IVL) ELISA kit (E12I0449)
Организм: курица
Bovine Protein Kinase C Gamma ELISA kit (E11P0104)
Организм: корова
Anti-Human FOXP3 Monoclonal Antibody (1A209) (MHJ52502)
Источник (хозяин): мышь
Реактивность подтвержденная: человек
Валидировано для: ELISA, FCM, WB
Реактивность подтвержденная: человек
Валидировано для: ELISA, FCM, WB
Recombinant Human PRKCG Protein, N-His (YHC14001)
Источник (хозяин): E.coli
Организм: человек
Фрагмент: His31-Arg316
Теги: N-His
Биоактивность: нет
Организм: человек
Фрагмент: His31-Arg316
Теги: N-His
Биоактивность: нет

