| UNIPROT | P13646 |
| Иммуноген | RPB875Hu01-Recombinant Cytokeratin 13 (CK13) |
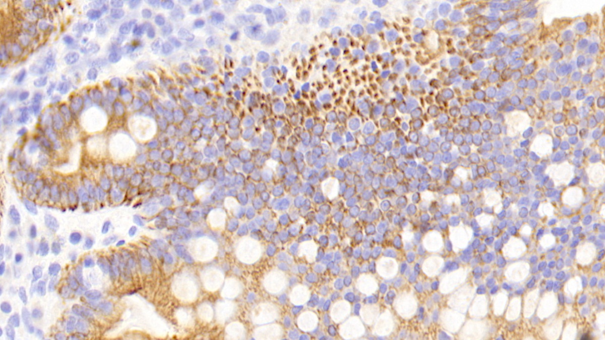
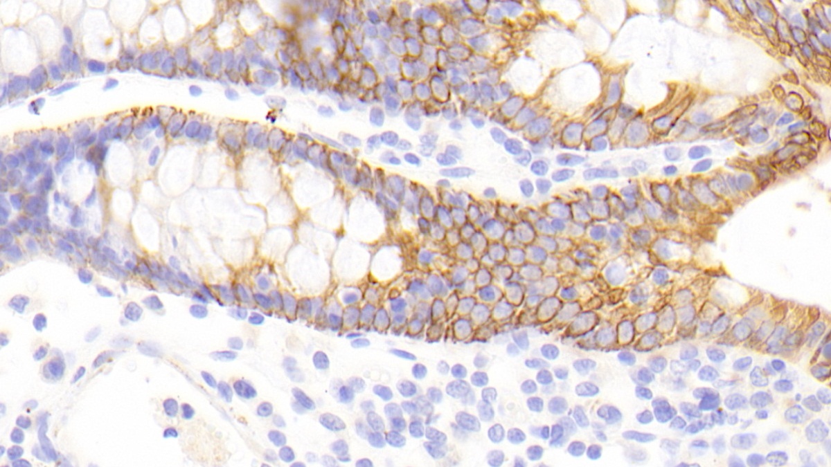
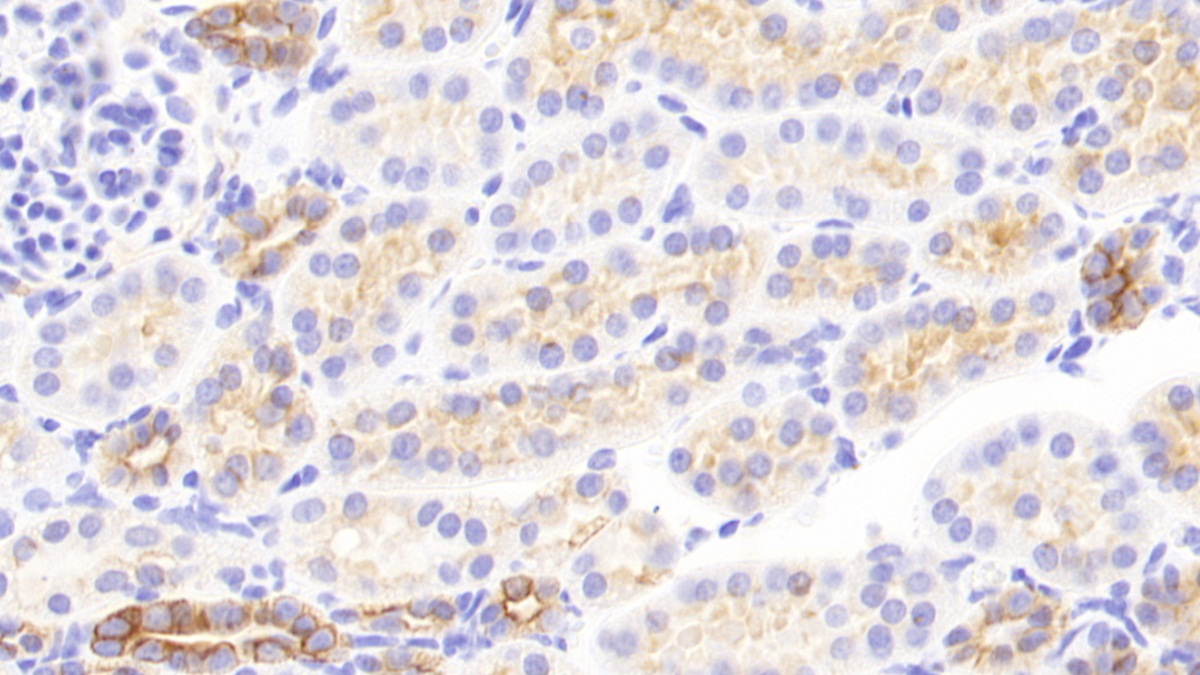
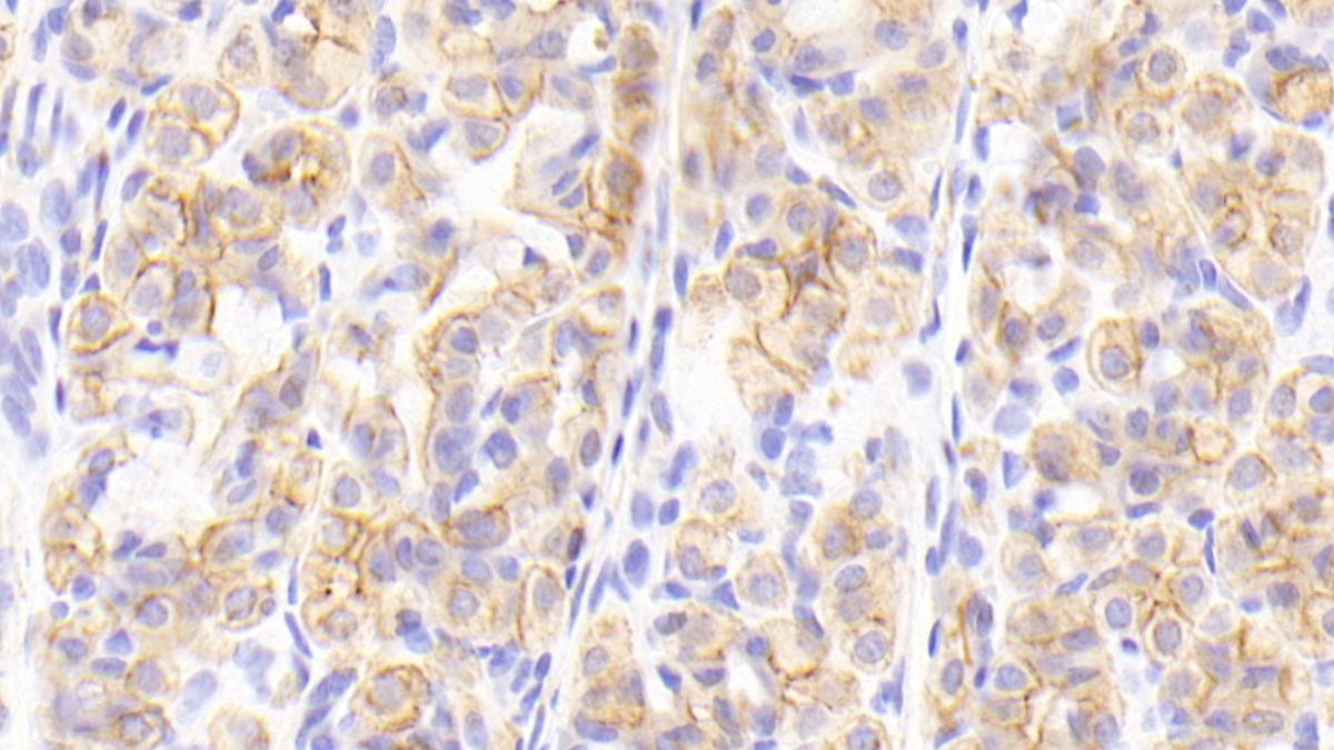
Polyclonal Antibody to Cytokeratin 13 (CK13) (PAB875Hu01)
Реактивность подтвержденная:
человек
Источник (хозяин):
кролик
Валидировано для:
IHC
Характеристики
Техническое описание
| Русское название | PAB875Hu01 Поликлональное антитело к CK13 (человек) <Cloud-Clone,Китай> |
| Каталожный номер | PAB875Hu01 |
| Название антигена | Keratin 13 (KRT13) |
| UNIPROT | P13646 |
| Иммуноген | RPB875Hu01-Recombinant Cytokeratin 13 (CK13) |
| Английские синонимы | CK13, Cytokeratin 13 |
Реактивность подтвержденная Нужна другая реактивность? |
человек |
| Реактивность предсказываемая | свинья |
| Источник (хозяин) | кролик |
| Клональность | поликлональное |
| Рекомбинантное | нет |
| Готовое к использованию | нет |
| Концентрация | 500 мкг/мл |
| Конъюгат | По запросу: HRP, biotin, PerCP, PE, Cy3, FITC, Cy7, Cy5.5, PE-Cy5, PE-Cy7, PerCp-Cy5.5, APC, Cy5, PE-Cy3, PE-Cy5.5, APC-Cy7, Biotin-APC, FITC-Biotin, TRITC, APC-Cy5, AF488, AF594, AF405, AF555, AF700, AF647, AF750 |
| Валидировано для | IHC Иммуногистохимия |
| Рекомендуемые разведения | WB: 0.5-5 мкг/мл; IHC: 5-50 мкг/мл; ICC: 5-50 мкг/мл; Оптимальное разведение определяется конечным потребителем |
| Метод очистки | Антигенспецифическая аффинная хроматография с последующей аффинной хроматографией с белком А |
| Состав буфера | PBS, pH7.4, 0.02% NaN3, 50% глицерин |
| Условия доставки | термобокс с аккумуляторами холода |
| Условия хранения | Сразу после получения аликвотировать и хранить при -20ºС до 24 месяцев. Для частого использования хранить при +4ºС не более 2 недель. Избегать повторения циклов замерзания/оттаивания |
| Срок хранения | 24 месяца |
| Производитель | Cloud-Clone Corp. |
| Ссылка на страницу товара на сайте производителя | http://www.cloud-clone.com/products/PAB875Hu01.html |
|
Артикул
|
Наименование |
Производитель
|
|---|
|
Артикул
|
Наименование |
Производитель
|
|---|
|
Артикул
|
Наименование |
Производитель
|
|---|
|
Артикул
|
Наименование |
Производитель
|
|---|
|
Артикул
|
Наименование |
Производитель
|
|---|
Акции и предложения
Популярные продукты:
Monoclonal Antibody to Gastric Intrinsic Factor (GIF) (MAD111Hu22)
Источник (хозяин): мышь
Реактивность подтвержденная: человек
Валидировано для: WB
Реактивность подтвержденная: человек
Валидировано для: WB
Goat 14 3 3 protein zeta/delta(YWHAZ) ELISA kit (E06P0216)
Организм: коза
Goat Glutaredoxin 1(GLRX) ELISA kit (E06G0428)
Организм: коза
Monkey Small ubiquitin related modifier 3(SUMO3) ELISA kit (E09S0424)
Организм: обезьяна
Mouse AP 1 complex subunit mu 1(AP1M1) ELISA kit (E03A1072)
Организм: мышь

