| UNIPROT | Q04695 |
| Иммуноген | RPB822Hu01-Recombinant Cytokeratin 17 (CK17) |
Polyclonal Antibody to Cytokeratin 17 (CK17) (PAB822Hu01)
Реактивность подтвержденная:
человек
Источник (хозяин):
кролик
Валидировано для:
FCM
IHC
WB
Характеристики
Техническое описание
| Русское название | PAB822Hu01 Поликлональное антитело к CK17 (человек) <Cloud-Clone,Китай> |
| Каталожный номер | PAB822Hu01 |
| Название антигена | Keratin 17 (KRT17) |
| UNIPROT | Q04695 |
| Иммуноген | RPB822Hu01-Recombinant Cytokeratin 17 (CK17) |
| Английские синонимы | PC2, CK17, K17, PC, PCHC1, Cytokeratin 17, Keratin, type I cytoskeletal 17 |
Реактивность подтвержденная Нужна другая реактивность? |
человек |
| Реактивность предсказываемая | мышь, крыса, свинья |
| Источник (хозяин) | кролик |
| Клональность | поликлональное |
| Рекомбинантное | нет |
| Готовое к использованию | нет |
| Концентрация | 1 мг/мл |
| Конъюгат | По запросу: HRP, biotin, PerCP, PE, Cy3, FITC, Cy7, Cy5.5, PE-Cy5, PE-Cy7, PerCp-Cy5.5, APC, Cy5, PE-Cy3, PE-Cy5.5, APC-Cy7, Biotin-APC, FITC-Biotin, TRITC, APC-Cy5, AF488, AF594, AF405, AF555, AF700, AF647, AF750 |
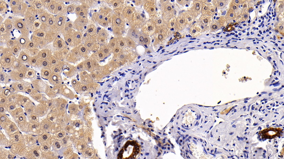
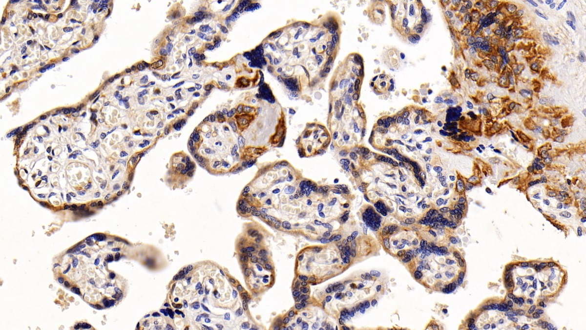
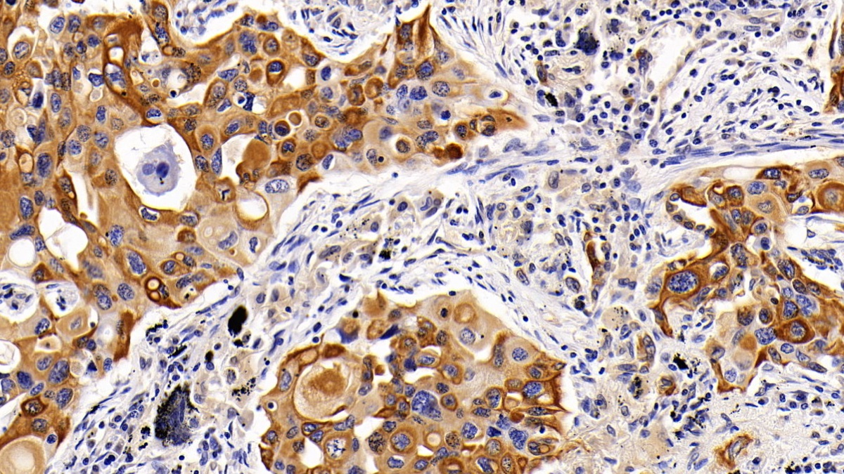
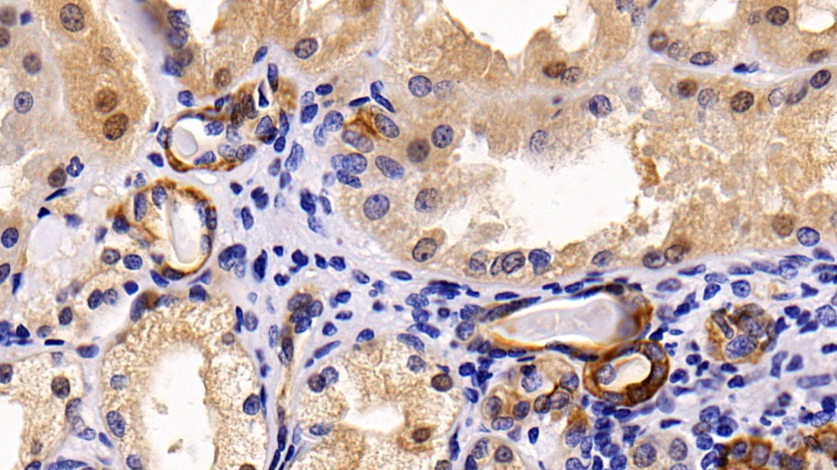
| Валидировано для | FCM IHC WB Проточная цитометрия; Иммуногистохимия; Вестерн-блоттинг |
| Рекомендуемые разведения | WB: 0.5-2 мкг/мл; IHC: 5-20 мкг/мл; ICC: 5-20 мкг/мл; FCM: 20 мкг/мл; Оптимальное разведение определяется конечным потребителем |
| Метод очистки | Антигенспецифическая аффинная хроматография с последующей аффинной хроматографией с белком А |
| Состав буфера | 0.01M PBS, pH7.4, 0.05% Proclin-300, 50% глицерин |
| Условия доставки | термобокс с аккумуляторами холода |
| Условия хранения | Сразу после получения аликвотировать и хранить при -20ºС до 24 месяцев. Для частого использования хранить при +4ºС не более 2 недель. Избегать повторения циклов замерзания/оттаивания |
| Срок хранения | 24 месяца |
| Производитель | Cloud-Clone Corp. |
| Ссылка на страницу товара на сайте производителя | http://www.cloud-clone.com/products/PAB822Hu01.html |
|
Артикул
|
Наименование |
Производитель
|
|---|
|
Артикул
|
Наименование |
Производитель
|
|---|
|
Артикул
|
Наименование |
Производитель
|
|---|
Акции и предложения
Популярные продукты:
ELISA Kit DIY Materials for Cytokeratin 13 (CK13) (KSB875Hu01)
Организм: человек
Диапазон определения: 15.6-1000 пг/мл
Чувствительность: 6.2 пг/мл
Диапазон определения: 15.6-1000 пг/мл
Чувствительность: 6.2 пг/мл
Rat Oxalic Acid ELISA kit (E02O0851)
Организм: крыса
Chicken Growth Factor Receptor Bound Protein 14 ELISA kit (E12G0244)
Организм: курица
Rabbit interleukin 1 receptorⅠ ELISA kit (E04I0366)
Организм: кролик
Recombinant Mouse Adiponectin/ACRP30/ADIPOQ Protein, C-His (YMH22001)
Источник (хозяин): E.coli
Организм: мышь
Фрагмент: Met1-Asn247
Теги: C-His
Биоактивность: нет
Организм: мышь
Фрагмент: Met1-Asn247
Теги: C-His
Биоактивность: нет

