| UNIPROT | P08729 |
| Иммуноген | RPA556Hu01-Recombinant Cytokeratin 7 (CK7) |
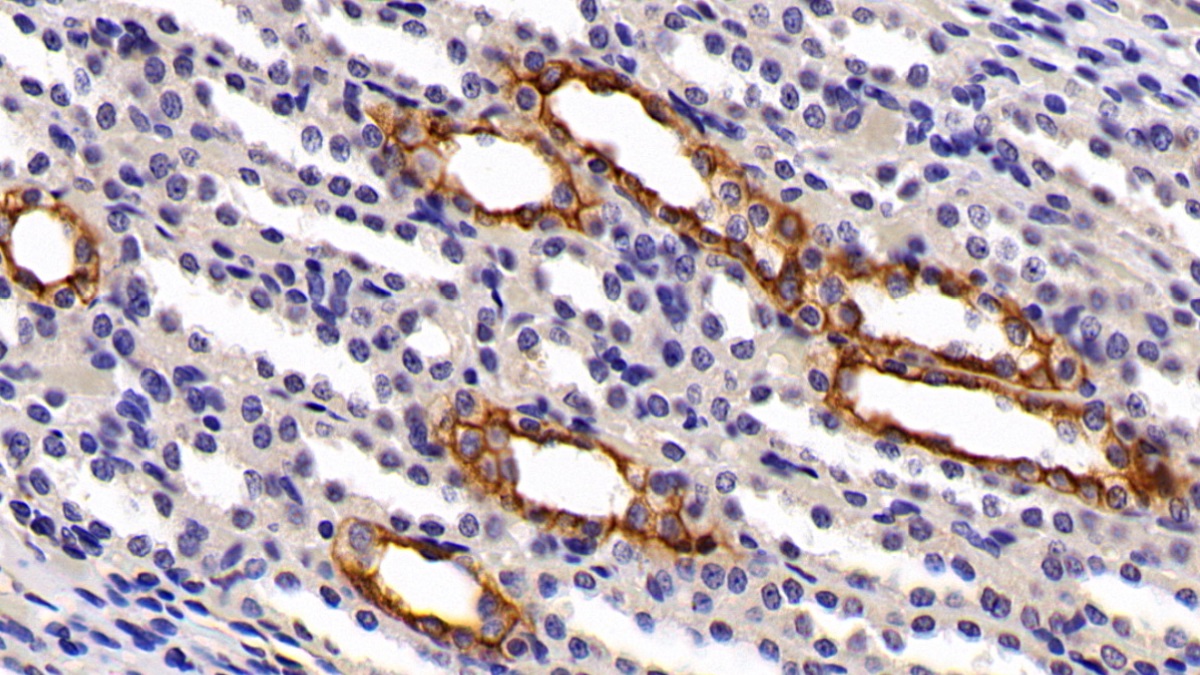
Polyclonal Antibody to Cytokeratin 7 (CK7) (PAA556Hu01)
Реактивность подтвержденная:
человек
Источник (хозяин):
кролик
Валидировано для:
FCM
IHC
WB
Характеристики
Техническое описание
| Русское название | PAA556Hu01 Поликлональное антитело к CK7 (человек) <Cloud-Clone,Китай> |
| Каталожный номер | PAA556Hu01 |
| Название антигена | Keratin 7 (KRT7) |
| UNIPROT | P08729 |
| Иммуноген | RPA556Hu01-Recombinant Cytokeratin 7 (CK7) |
| Английские синонимы | CK7, K2C7, K7, SCL, Cytokeratin 7, Sarcolectin, Keratin,55K Type II Cytoskeletal, Keratin, type II cytoskeletal 7 |
Реактивность подтвержденная Нужна другая реактивность? |
человек |
| Реактивность предсказываемая | крыса |
| Источник (хозяин) | кролик |
| Клональность | поликлональное |
| Рекомбинантное | нет |
| Готовое к использованию | нет |
| Концентрация | 1 мг/мл |
| Конъюгат | По запросу: HRP, biotin, PerCP, PE, Cy3, FITC, Cy7, Cy5.5, PE-Cy5, PE-Cy7, PerCp-Cy5.5, APC, Cy5, PE-Cy3, PE-Cy5.5, APC-Cy7, Biotin-APC, FITC-Biotin, TRITC, APC-Cy5, AF488, AF594, AF405, AF555, AF700, AF647, AF750 |
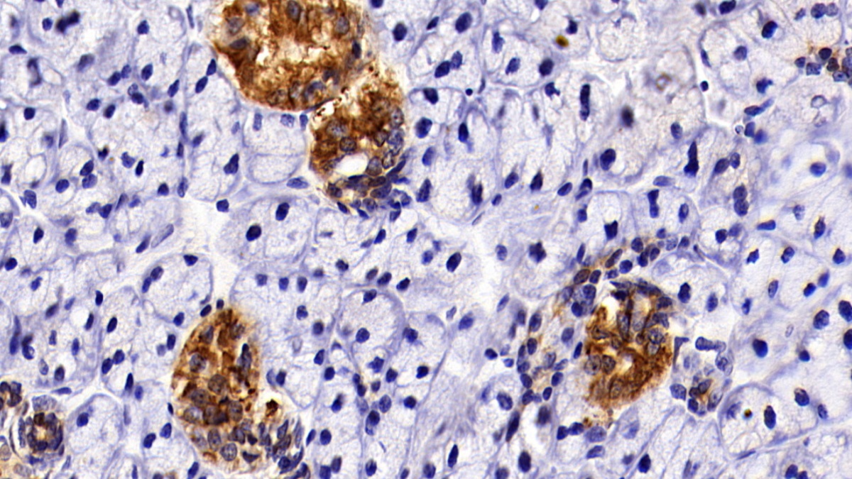
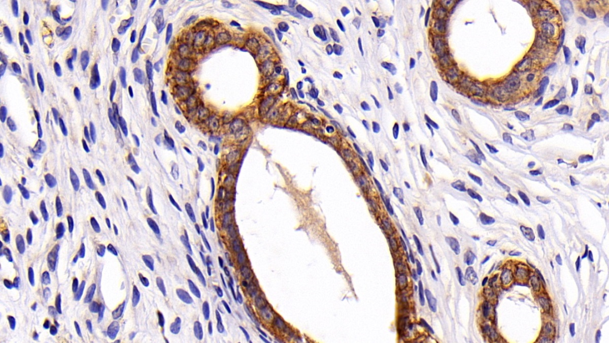
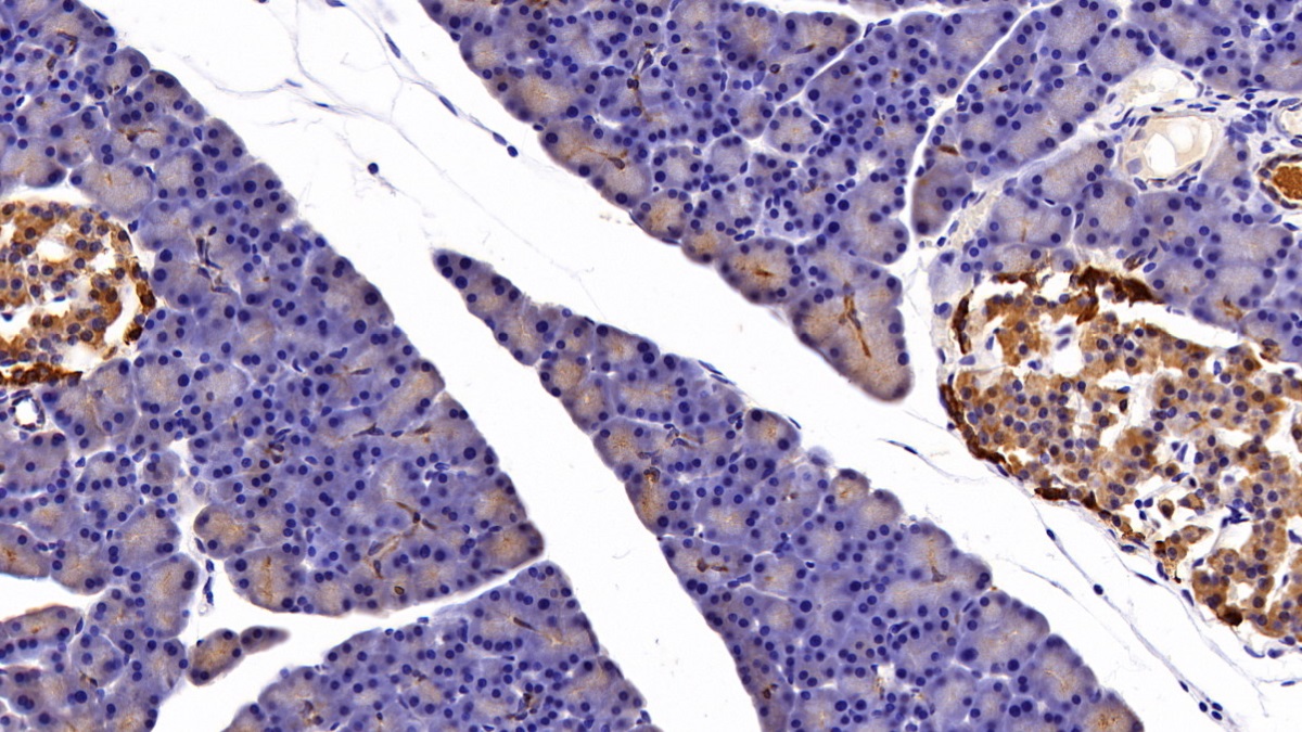
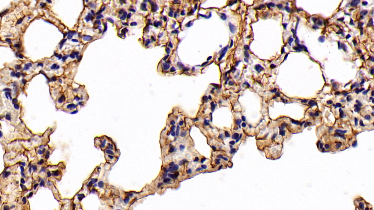
| Валидировано для | FCM IHC WB Проточная цитометрия; Иммуногистохимия; Вестерн-блоттинг |
| Рекомендуемые разведения | WB: 0.2-2 мкг/мл; IHC: 5-20 мкг/мл; IF: 5-20 мкг/мл; FCM: 20 мкг/мл; Оптимальное разведение определяется конечным потребителем |
| Метод очистки | Антигенспецифическая аффинная хроматография с последующей аффинной хроматографией с белком А |
| Состав буфера | 0.01M PBS, pH7.4, 0.05% Proclin-300, 50% глицерин |
| Условия доставки | термобокс с аккумуляторами холода |
| Условия хранения | Сразу после получения аликвотировать и хранить при -20ºС до 24 месяцев. Для частого использования хранить при +4ºС не более 2 недель. Избегать повторения циклов замерзания/оттаивания |
| Срок хранения | 24 месяца |
| Производитель | Cloud-Clone Corp. |
| Ссылка на страницу товара на сайте производителя | http://www.cloud-clone.com/products/PAA556Hu01.html |
|
Артикул
|
Наименование |
Производитель
|
|---|
|
Артикул
|
Наименование |
Производитель
|
|---|
|
Артикул
|
Наименование |
Производитель
|
|---|
|
Артикул
|
Наименование |
Производитель
|
|---|
|
Артикул
|
Наименование |
Производитель
|
|---|
Акции и предложения
Популярные продукты:
Dupilumab ELISA Kit-SS (KDD62603)
Организм: человек
Диапазон определения: 78.13 - 5,000 пг/мл
Чувствительность: 28.01 пг/мл
Диапазон определения: 78.13 - 5,000 пг/мл
Чувствительность: 28.01 пг/мл
Monoclonal Antibody to Chloride Channel Accessory 1 (CLCA1) (MAG669Hu22)
Источник (хозяин): мышь
Реактивность подтвержденная: человек
Валидировано для: WB
Реактивность подтвержденная: человек
Валидировано для: WB
Canine ADP dependent glucokinase(ADPGK) ELISA kit (E08A1283)
Организм: собака
Goat Centrobin(CNTROB) ELISA kit (E06C1877)
Организм: коза
Sheep Coactosin like protein(COTL1) ELISA kit (E14C1959)
Организм: овца
Rat Coactosin like protein(COTL1) ELISA kit (E02C1959)
Организм: крыса

