| UNIPROT | P47712 |
| Иммуноген | RPB624Hu01-Recombinant Cytosolic Phospholipase A2 (PLA2G4) |
Polyclonal Antibody to Cytosolic Phospholipase A2 (PLA2G4) (PAB624Hu01)
Реактивность подтвержденная:
человек
Источник (хозяин):
кролик
Валидировано для:
IHC
WB
Характеристики
Техническое описание
| Русское название | PAB624Hu01 Поликлональное антитело к PLA2G4 (человек) <Cloud-Clone,Китай> |
| Каталожный номер | PAB624Hu01 |
| Название антигена | Phospholipase A2, Cytosolic (cPLA2) |
| UNIPROT | P47712 |
| Иммуноген | RPB624Hu01-Recombinant Cytosolic Phospholipase A2 (PLA2G4) |
| Английские синонимы | c-PLA2, PLA2G4, PLA2G4A, Phospholipase A2,Group IV(Cytosolic,Calcium-Dependent), Phosphatidylcholine 2-acylhydrolase, Lysophospholipase |
Реактивность подтвержденная Нужна другая реактивность? |
человек |
| Реактивность предсказываемая | мышь, крыса |
| Источник (хозяин) | кролик |
| Клональность | поликлональное |
| Рекомбинантное | нет |
| Готовое к использованию | нет |
| Концентрация | 0.5 мг/мл |
| Конъюгат | По запросу: HRP, biotin, PerCP, PE, Cy3, FITC, Cy7, Cy5.5, PE-Cy5, PE-Cy7, PerCp-Cy5.5, APC, Cy5, PE-Cy3, PE-Cy5.5, APC-Cy7, Biotin-APC, FITC-Biotin, TRITC, APC-Cy5, AF488, AF594, AF405, AF555, AF700, AF647, AF750 |
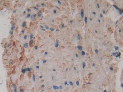
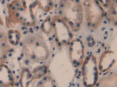
| Валидировано для | IHC WB Иммуногистохимия; Вестерн-блоттинг |
| Рекомендуемые разведения | WB: 0.01-2 мкг/мл; IHC: 5-20 мкг/мл; ICC: 5-20 мкг/мл; Оптимальное разведение определяется конечным потребителем |
| Метод очистки | Антигенспецифическая аффинная хроматография с последующей аффинной хроматографией с белком А |
| Состав буфера | 0.01M PBS, pH7.4, 0.05% Proclin-300, 50% глицерин |
| Условия доставки | термобокс с аккумуляторами холода |
| Условия хранения | Сразу после получения аликвотировать и хранить при -20ºС до 24 месяцев. Для частого использования хранить при +4ºС не более 2 недель. Избегать повторения циклов замерзания/оттаивания |
| Срок хранения | 24 месяца |
| Производитель | Cloud-Clone Corp. |
| Ссылка на страницу товара на сайте производителя | http://www.cloud-clone.com/products/PAB624Hu01.html |
|
Артикул
|
Наименование |
Производитель
|
|---|
|
Артикул
|
Наименование |
Производитель
|
|---|
|
Артикул
|
Наименование |
Производитель
|
|---|
|
Артикул
|
Наименование |
Производитель
|
|---|
Акции и предложения
Популярные продукты:
Sheep Follistatin Like Protein 3 ELISA kit (E14F0387)
Организм: овца
Bovine Zinc transporter 1 ELISA kit (E11S0855)
Организм: корова
Porcine Cytosolic Phospholipase A2 ELISA kit (E07C0814)
Организм: свинья
Human Tumor necrosis factor receptor superfamily member 6 ELISA kit (E01F0005)
Организм: человек
Диапазон определения: 0.5-10 нг/мл
Чувствительность: 0.1 нг/мл
Диапазон определения: 0.5-10 нг/мл
Чувствительность: 0.1 нг/мл

