| UNIPROT | Q8IV48 |
| Иммуноген | RPD162Hu01-Recombinant Exoribonuclease 1 (ERI1) |
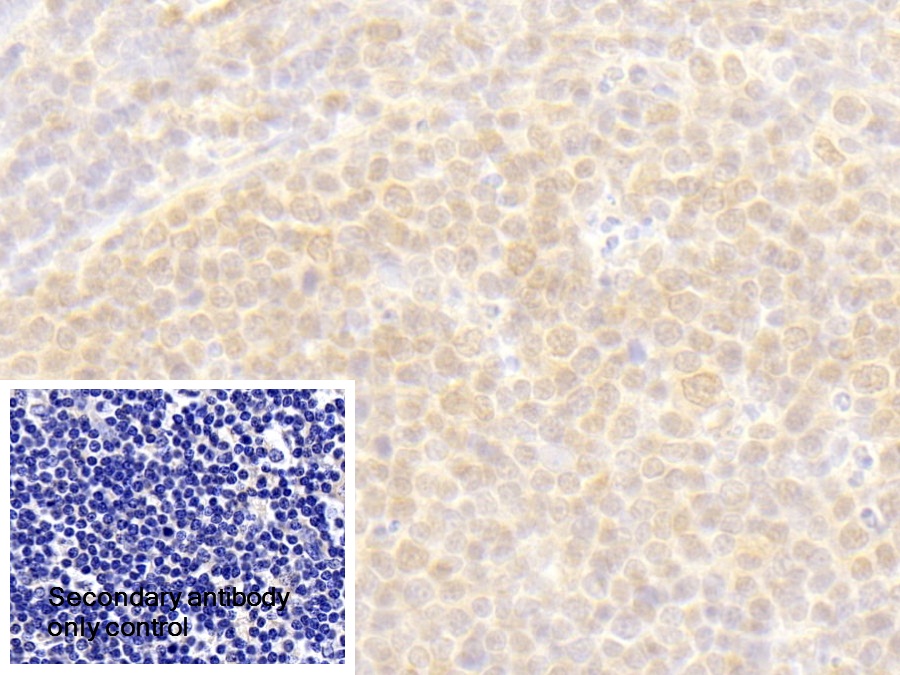
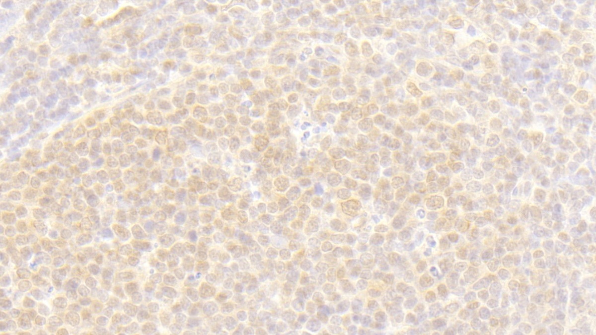
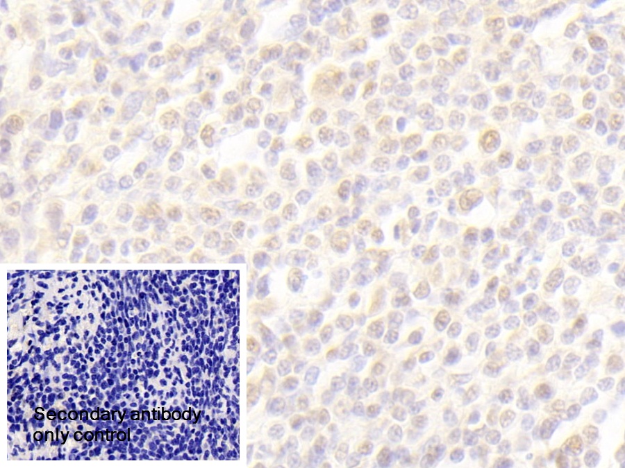
Polyclonal Antibody to Exoribonuclease 1 (ERI1) (PAD162Hu01)
Реактивность подтвержденная:
человек
Источник (хозяин):
кролик
Валидировано для:
IHC
WB
Характеристики
Техническое описание
| Русское название | PAD162Hu01 Поликлональное антитело к ERI1 (человек) <Cloud-Clone,Китай> |
| Каталожный номер | PAD162Hu01 |
| Название антигена | Exoribonuclease 1 (ERI1) |
| UNIPROT | Q8IV48 |
| Иммуноген | RPD162Hu01-Recombinant Exoribonuclease 1 (ERI1) |
| Английские синонимы | THEX1, 3"""HEXO, 3"""-5""" exonuclease ERI1, Histone mRNA 3"""-end-specific exoribonuclease, Enhanced RNAi Three Prime mRNA Exonuclease Homolog 1 |
Реактивность подтвержденная Нужна другая реактивность? |
человек |
| Реактивность предсказываемая | свинья |
| Источник (хозяин) | кролик |
| Клональность | поликлональное |
| Рекомбинантное | нет |
| Готовое к использованию | нет |
| Концентрация | 500 мкг/мл |
| Конъюгат | По запросу: HRP, biotin, PerCP, PE, Cy3, FITC, Cy7, Cy5.5, PE-Cy5, PE-Cy7, PerCp-Cy5.5, APC, Cy5, PE-Cy3, PE-Cy5.5, APC-Cy7, Biotin-APC, FITC-Biotin, TRITC, APC-Cy5, AF488, AF594, AF405, AF555, AF700, AF647, AF750 |
| Валидировано для | IHC WB Иммуногистохимия; Вестерн-блоттинг |
| Рекомендуемые разведения | WB: 0.2-2 мкг/мл; 1:250-2500; IHC: 5-20 мкг/мл; 1:25-100; ICC: 5-20 мкг/мл; 1:25-100; Оптимальное разведение определяется конечным потребителем |
| Метод очистки | Антигенспецифическая аффинная хроматография с последующей аффинной хроматографией с белком А |
| Состав буфера | 0.01M PBS, pH7.4, 0.05% Proclin-300, 50% глицерин |
| Условия доставки | термобокс с аккумуляторами холода |
| Условия хранения | Сразу после получения аликвотировать и хранить при -20ºС до 24 месяцев. Для частого использования хранить при +4ºС не более 2 недель. Избегать повторения циклов замерзания/оттаивания |
| Срок хранения | 24 месяца |
| Производитель | Cloud-Clone Corp. |
| Ссылка на страницу товара на сайте производителя | http://www.cloud-clone.com/products/PAD162Hu01.html |
|
Артикул
|
Наименование |
Производитель
|
|---|
|
Артикул
|
Наименование |
Производитель
|
|---|
Акции и предложения
Популярные продукты:
Monkey Cullin 3(CUL3) ELISA kit (E09C2183)
Организм: обезьяна
Chicken CD97 ELISA kit (E12C0579)
Организм: курица
Porcine Alkaline Phosphatase, Intestinal ELISA kit (E07A0370)
Организм: свинья
Anti-SLC40A1 Polyclonal Antibody (PHJ61901)
Источник (хозяин): кролик
Реактивность подтвержденная: человек, мышь, крыса
Валидировано для: ELISA, IHC, WB
Реактивность подтвержденная: человек, мышь, крыса
Валидировано для: ELISA, IHC, WB
Anti-VGlut3 Antibody (N34/40) (RHN13003)
Источник (хозяин): мышь
Реактивность подтвержденная: для всех
Валидировано для: IHC, WB
Реактивность подтвержденная: для всех
Валидировано для: IHC, WB
Anti-Beta1-spectrin Antibody (N385/16) (RHJ30901)
Источник (хозяин): мышь
Реактивность подтвержденная: для всех
Валидировано для: IHC, WB
Реактивность подтвержденная: для всех
Валидировано для: IHC, WB

