| UNIPROT | P35555 |
| Иммуноген | RPA593Hu02-Recombinant Fibrillin 1 (FBN1) |
Polyclonal Antibody to Fibrillin 1 (FBN1) (PAA593Hu02)
Реактивность подтвержденная:
человек
Источник (хозяин):
кролик
Валидировано для:
IHC
WB
Характеристики
Техническое описание
| Русское название | PAA593Hu02 Поликлональное антитело к FBN1 (человек) <Cloud-Clone,Китай> |
| Каталожный номер | PAA593Hu02 |
| Название антигена | Fibrillin 1 (FBN1) |
| UNIPROT | P35555 |
| Иммуноген | RPA593Hu02-Recombinant Fibrillin 1 (FBN1) |
| Английские синонимы | FBN, MASS, MFS1, OCTD, SGS, WMS, Marfan Syndrome |
Реактивность подтвержденная Нужна другая реактивность? |
человек |
| Реактивность предсказываемая | мышь, крыса |
| Источник (хозяин) | кролик |
| Клональность | поликлональное |
| Рекомбинантное | нет |
| Готовое к использованию | нет |
| Концентрация | 500 мкг/мл |
| Конъюгат | По запросу: HRP, biotin, PerCP, PE, Cy3, FITC, Cy7, Cy5.5, PE-Cy5, PE-Cy7, PerCp-Cy5.5, APC, Cy5, PE-Cy3, PE-Cy5.5, APC-Cy7, Biotin-APC, FITC-Biotin, TRITC, APC-Cy5, AF488, AF594, AF405, AF555, AF700, AF647, AF750 |
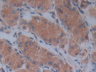
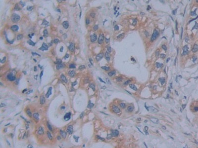
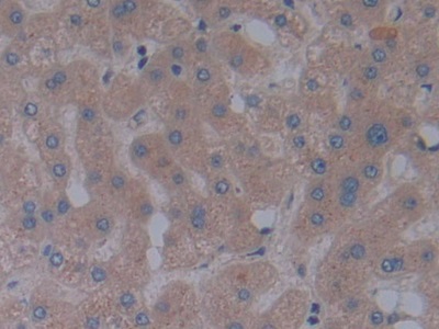
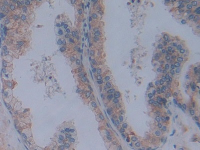
| Валидировано для | IHC WB Иммуногистохимия; Вестерн-блоттинг |
| Рекомендуемые разведения | WB: 0.5-2 мкг/мл; IHC: 5-20 мкг/мл; ICC: 5-20 мкг/мл; Оптимальное разведение определяется конечным потребителем |
| Метод очистки | Антигенспецифическая аффинная хроматография с последующей аффинной хроматографией с белком А |
| Состав буфера | 0.01M PBS, pH7.4, 0.05% Proclin-300, 50% глицерин |
| Условия доставки | термобокс с аккумуляторами холода |
| Условия хранения | Сразу после получения аликвотировать и хранить при -20ºС до 24 месяцев. Для частого использования хранить при +4ºС не более 2 недель. Избегать повторения циклов замерзания/оттаивания |
| Срок хранения | 24 месяца |
| Производитель | Cloud-Clone Corp. |
| Ссылка на страницу товара на сайте производителя | http://www.cloud-clone.com/products/PAA593Hu02.html |
|
Артикул
|
Наименование |
Производитель
|
|---|
|
Артикул
|
Наименование |
Производитель
|
|---|
|
Артикул
|
Наименование |
Производитель
|
|---|
|
Артикул
|
Наименование |
Производитель
|
|---|
|
Артикул
|
Наименование |
Производитель
|
|---|
Акции и предложения
Популярные продукты:
Bovine Antigen peptide transporter 2(TAP2) ELISA kit (E11A2005)
Организм: корова
Chicken CD 40 Ligand ELISA kit (E12C0018)
Организм: курица
CD300LB Antibody (DF10157)
Источник (хозяин): кролик
Реактивность подтвержденная: человек
Валидировано для: IHC, WB, IF, ICC
Реактивность подтвержденная: человек
Валидировано для: IHC, WB, IF, ICC
Polyclonal Antibody to Fibrillin 1 (FBN1) (PAA593Mu08)
Источник (хозяин): кролик
Реактивность подтвержденная: мышь
Валидировано для: ICC, IHC, WB
Реактивность подтвержденная: мышь
Валидировано для: ICC, IHC, WB
Polyclonal Antibody to Fibrillin 1 (FBN1) (PAA593Mu01)
Источник (хозяин): кролик
Реактивность подтвержденная: мышь
Валидировано для: ICC, IHC, IP, WB
Реактивность подтвержденная: мышь
Валидировано для: ICC, IHC, IP, WB
Recombinant Fibrillin 1 (FBN1) (RPA593Mu01)
Источник (хозяин): E.coli
Организм: мышь
Фрагмент: Leu457-Asp634
Теги: N-концевой His-Tag
Биоактивность: нет
Организм: мышь
Фрагмент: Leu457-Asp634
Теги: N-концевой His-Tag
Биоактивность: нет

