| UNIPROT | Q61554 |
| Иммуноген | RPA593Mu03-Recombinant Fibrillin 1 (FBN1) |
Polyclonal Antibody to Fibrillin 1 (FBN1) (PAA593Mu03)
Реактивность подтвержденная:
мышь
Источник (хозяин):
кролик
Валидировано для:
IHC
Характеристики
Техническое описание
| Русское название | PAA593Mu03 Поликлональное антитело к FBN1 (мышь) <Cloud-Clone,Китай> |
| Каталожный номер | PAA593Mu03 |
| Название антигена | Fibrillin 1 (FBN1) |
| UNIPROT | Q61554 |
| Иммуноген | RPA593Mu03-Recombinant Fibrillin 1 (FBN1) |
| Английские синонимы | FBN, MASS, MFS1, OCTD, SGS, WMS, Marfan Syndrome |
Реактивность подтвержденная Нужна другая реактивность? |
мышь |
| Реактивность предсказываемая | человек, крыса |
| Источник (хозяин) | кролик |
| Клональность | поликлональное |
| Рекомбинантное | нет |
| Готовое к использованию | нет |
| Концентрация | 500 мкг/мл |
| Конъюгат | По запросу: HRP, biotin, PerCP, PE, Cy3, FITC, Cy7, Cy5.5, PE-Cy5, PE-Cy7, PerCp-Cy5.5, APC, Cy5, PE-Cy3, PE-Cy5.5, APC-Cy7, Biotin-APC, FITC-Biotin, TRITC, APC-Cy5, AF488, AF594, AF405, AF555, AF700, AF647, AF750 |
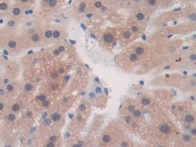
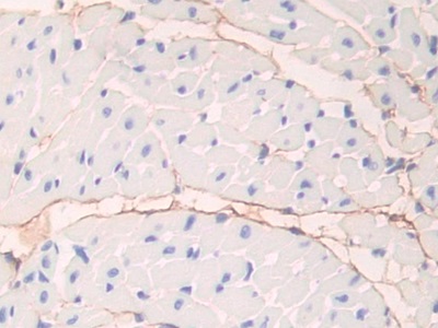
| Валидировано для | IHC Иммуногистохимия |
| Рекомендуемые разведения | WB: 0.5-3 мкг/мл; IHC: 5-30 мкг/мл; ICC: 5-30 мкг/мл; Оптимальное разведение определяется конечным потребителем |
| Метод очистки | Антигенспецифическая аффинная хроматография с последующей аффинной хроматографией с белком А |
| Состав буфера | 0.01M PBS, pH7.4, 0.05% Proclin-300, 50% глицерин |
| Условия доставки | термобокс с аккумуляторами холода |
| Условия хранения | Сразу после получения аликвотировать и хранить при -20ºС до 24 месяцев. Для частого использования хранить при +4ºС не более 2 недель. Избегать повторения циклов замерзания/оттаивания |
| Срок хранения | 24 месяца |
| Производитель | Cloud-Clone Corp. |
| Ссылка на страницу товара на сайте производителя | http://www.cloud-clone.com/products/PAA593Mu03.html |
|
Артикул
|
Наименование |
Производитель
|
|---|
|
Артикул
|
Наименование |
Производитель
|
|---|
|
Артикул
|
Наименование |
Производитель
|
|---|
|
Артикул
|
Наименование |
Производитель
|
|---|
|
Артикул
|
Наименование |
Производитель
|
|---|
Акции и предложения
Популярные продукты:
Anti-HPIV3 F/Fusion glycoprotein F0 Nanobody (Fs0338) (RVV33702)
Реактивность подтвержденная: вирусы
Валидировано для: ELISA, NEUT
Валидировано для: ELISA, NEUT
Anti-HPIV3 F/Fusion glycoprotein F0 Nanobody (Fs0337) (RVV33701)
Реактивность подтвержденная: вирусы
Валидировано для: ELISA, NEUT
Валидировано для: ELISA, NEUT
Anti-HPIV3 F/Fusion glycoprotein F0 Antibody (Fs0343) (RVV33705)
Источник (хозяин): человек
Реактивность подтвержденная: вирусы
Валидировано для: ELISA, NEUT
Реактивность подтвержденная: вирусы
Валидировано для: ELISA, NEUT
Bovine Ras-related protein Rab-3A ELISA kit (E11R0604)
Организм: корова
Monkey casein Alpha s1 (CSN1S1) ELISA kit (E09C2100)
Организм: обезьяна
Mouse casein Alpha s1 (CSN1S1) ELISA kit (E03C2100)
Организм: мышь

