| UNIPROT | G3V9M6;D3ZQM5 |
| Иммуноген | RPA593Ra01-Recombinant Fibrillin 1 (FBN1) |
Polyclonal Antibody to Fibrillin 1 (FBN1) (PAA593Ra01)
Реактивность подтвержденная:
крыса
Источник (хозяин):
кролик
Валидировано для:
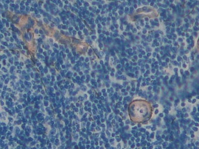
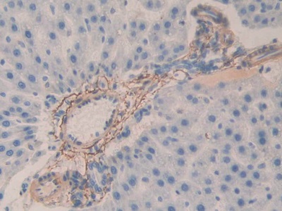
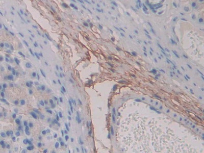
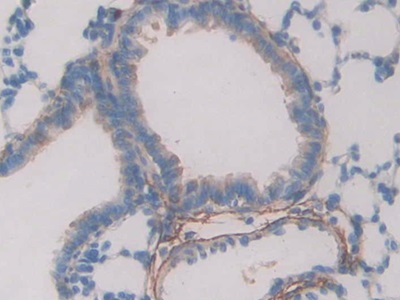
IHC
Характеристики
Техническое описание
| Русское название | PAA593Ra01 Поликлональное антитело к FBN1 (крыса) <Cloud-Clone,Китай> |
| Каталожный номер | PAA593Ra01 |
| Название антигена | Fibrillin 1 (FBN1) |
| UNIPROT | G3V9M6;D3ZQM5 |
| Иммуноген | RPA593Ra01-Recombinant Fibrillin 1 (FBN1) |
| Английские синонимы | FBN, MASS, MFS1, OCTD, SGS, WMS, Marfan Syndrome |
Реактивность подтвержденная Нужна другая реактивность? |
крыса |
| Источник (хозяин) | кролик |
| Клональность | поликлональное |
| Рекомбинантное | нет |
| Готовое к использованию | нет |
| Концентрация | 500 мкг/мл |
| Конъюгат | По запросу: HRP, biotin, PerCP, PE, Cy3, FITC, Cy7, Cy5.5, PE-Cy5, PE-Cy7, PerCp-Cy5.5, APC, Cy5, PE-Cy3, PE-Cy5.5, APC-Cy7, Biotin-APC, FITC-Biotin, TRITC, APC-Cy5, AF488, AF594, AF405, AF555, AF700, AF647, AF750 |
| Валидировано для | IHC Иммуногистохимия |
| Рекомендуемые разведения | WB: 0.5-2 мкг/мл; IHC: 5-20 мкг/мл; ICC: 5-20 мкг/мл; Оптимальное разведение определяется конечным потребителем |
| Метод очистки | Антигенспецифическая аффинная хроматография с последующей аффинной хроматографией с белком А |
| Состав буфера | 0.01M PBS, pH7.4, 0.05% Proclin-300, 50% глицерин |
| Условия доставки | термобокс с аккумуляторами холода |
| Условия хранения | Сразу после получения аликвотировать и хранить при -20ºС до 24 месяцев. Для частого использования хранить при +4ºС не более 2 недель. Избегать повторения циклов замерзания/оттаивания |
| Срок хранения | 24 месяца |
| Производитель | Cloud-Clone Corp. |
| Ссылка на страницу товара на сайте производителя | http://www.cloud-clone.com/products/PAA593Ra01.html |
|
Артикул
|
Наименование |
Производитель
|
|---|
|
Артикул
|
Наименование |
Производитель
|
|---|
|
Артикул
|
Наименование |
Производитель
|
|---|
|
Артикул
|
Наименование |
Производитель
|
|---|
|
Артикул
|
Наименование |
Производитель
|
|---|
Акции и предложения
Популярные продукты:
MTFR2 Antibody (DF14965)
Источник (хозяин): кролик
Реактивность подтвержденная: человек
Валидировано для: IHC, IF, ICC
Реактивность подтвержденная: человек
Валидировано для: IHC, IF, ICC
SCLT1 Antibody (DF14287)
Источник (хозяин): кролик
Реактивность подтвержденная: человек, крыса
Валидировано для: IF, ICC
Реактивность подтвержденная: человек, крыса
Валидировано для: IF, ICC
Multiplex Assay Kit for Lactoferrin (LTF) (LMA780Mu)
Организм: мышь
Диапазон определения: 0.04-40 нг/мл
Чувствительность: 0.013 нг/мл
Диапазон определения: 0.04-40 нг/мл
Чувствительность: 0.013 нг/мл
Recombinant Relaxin 3 (RLN3) (RPD869Ra01)
Источник (хозяин): E.coli
Организм: крыса
Фрагмент: Met1-Cys140 (Accession # Q8BFS3)
Теги: N-концевой His-Tag
Биоактивность: нет
Организм: крыса
Фрагмент: Met1-Cys140 (Accession # Q8BFS3)
Теги: N-концевой His-Tag
Биоактивность: нет
ELISA Kit DIY Materials for Microfibrillar Associated Protein 4 (MFAP4) (KSF589Hu01)
Организм: человек
Диапазон определения: 0.312-20 нг/мл
Чувствительность: 0.121 нг/мл
Диапазон определения: 0.312-20 нг/мл
Чувствительность: 0.121 нг/мл
Rabbit Matrilysin ELISA kit (E04M0234)
Организм: кролик

