| UNIPROT | Q08830 |
| Иммуноген | RPD022Hu01-Recombinant Fibrinogen Like Protein 1 (FGL1) |
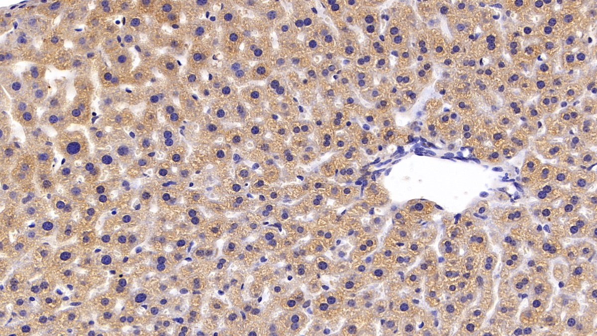
Polyclonal Antibody to Fibrinogen Like Protein 1 (FGL1) (PAD022Hu01)
Реактивность подтвержденная:
человек
Источник (хозяин):
кролик
Валидировано для:
IHC
WB
Характеристики
Техническое описание
| Русское название | PAD022Hu01 Поликлональное антитело к FGL1 (человек) <Cloud-Clone,Китай> |
| Каталожный номер | PAD022Hu01 |
| Название антигена | Fibrinogen Like Protein 1 (FGL1) |
| UNIPROT | Q08830 |
| Иммуноген | RPD022Hu01-Recombinant Fibrinogen Like Protein 1 (FGL1) |
| Английские синонимы | FGL-1, HFREP1, HP-041, LFIRE1, Hepassocin, Hepatocyte-derived fibrinogen-related protein 1, Liver fibrinogen-related protein 1 |
Реактивность подтвержденная Нужна другая реактивность? |
человек |
| Источник (хозяин) | кролик |
| Клональность | поликлональное |
| Рекомбинантное | нет |
| Готовое к использованию | нет |
| Концентрация | 0.5 мг/мл |
| Конъюгат | По запросу: HRP, biotin, PerCP, PE, Cy3, FITC, Cy7, Cy5.5, PE-Cy5, PE-Cy7, PerCp-Cy5.5, APC, Cy5, PE-Cy3, PE-Cy5.5, APC-Cy7, Biotin-APC, FITC-Biotin, TRITC, APC-Cy5, AF488, AF594, AF405, AF555, AF700, AF647, AF750 |
| Валидировано для | IHC WB Иммуногистохимия; Вестерн-блоттинг |
| Рекомендуемые разведения | WB: 0.01-2 мкг/мл; IHC: 5-20 мкг/мл; Оптимальное разведение определяется конечным потребителем |
| Метод очистки | Антигенспецифическая аффинная хроматография с последующей аффинной хроматографией с белком А |
| Состав буфера | 0.01M PBS, pH7.4, 0.05% Proclin-300, 50% глицерин |
| Условия доставки | термобокс с аккумуляторами холода |
| Условия хранения | Сразу после получения аликвотировать и хранить при -20ºС до 24 месяцев. Для частого использования хранить при +4ºС не более 2 недель. Избегать повторения циклов замерзания/оттаивания |
| Срок хранения | 24 месяца |
| Производитель | Cloud-Clone Corp. |
| Ссылка на страницу товара на сайте производителя | http://www.cloud-clone.com/products/PAD022Hu01.html |
|
Артикул
|
Наименование |
Производитель
|
|---|
|
Артикул
|
Наименование |
Производитель
|
|---|
|
Артикул
|
Наименование |
Производитель
|
|---|
|
Артикул
|
Наименование |
Производитель
|
|---|
|
Артикул
|
Наименование |
Производитель
|
|---|
Акции и предложения
Популярные продукты:
Anti-Cluster Of Differentiation 42b (CD42b) Monoclonal Antibody (FAB108Hu04)
Источник (хозяин): мышь
Реактивность подтвержденная: человек
Валидировано для: FCM
Реактивность подтвержденная: человек
Валидировано для: FCM
Chicken Glycosylated Ferritin ELISA kit (E12G0017)
Организм: курица
Bovine Calponin 3(CNN3) ELISA kit (E11C1855)
Организм: корова
Canine Cystatin D(CST5) ELISA kit (E08C2124)
Организм: собака

