| UNIPROT | Q9Y680 |
| Иммуноген | RPE677Hu01-Recombinant FK506 Binding Protein 7 (FKBP7) |
Polyclonal Antibody to FK506 Binding Protein 7 (FKBP7) (PAE677Hu01)
Реактивность подтвержденная:
человек
Источник (хозяин):
кролик
Валидировано для:
IHC
WB
Характеристики
Техническое описание
| Русское название | PAE677Hu01 Поликлональное антитело к FKBP7 (человек) <Cloud-Clone,Китай> |
| Каталожный номер | PAE677Hu01 |
| Название антигена | FK506 Binding Protein 7 (FKBP7) |
| UNIPROT | Q9Y680 |
| Иммуноген | RPE677Hu01-Recombinant FK506 Binding Protein 7 (FKBP7) |
| Английские синонимы | FKBP23, Rotamase, 23 kDa FK506-binding protein, Peptidyl-prolyl cis-trans isomerase FKBP7 |
Реактивность подтвержденная Нужна другая реактивность? |
человек |
| Источник (хозяин) | кролик |
| Клональность | поликлональное |
| Рекомбинантное | нет |
| Готовое к использованию | нет |
| Концентрация | 0.5 мг/мл |
| Конъюгат | По запросу: HRP, biotin, PerCP, PE, Cy3, FITC, Cy7, Cy5.5, PE-Cy5, PE-Cy7, PerCp-Cy5.5, APC, Cy5, PE-Cy3, PE-Cy5.5, APC-Cy7, Biotin-APC, FITC-Biotin, TRITC, APC-Cy5, AF488, AF594, AF405, AF555, AF700, AF647, AF750 |
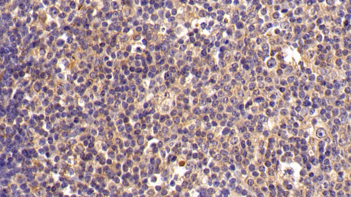
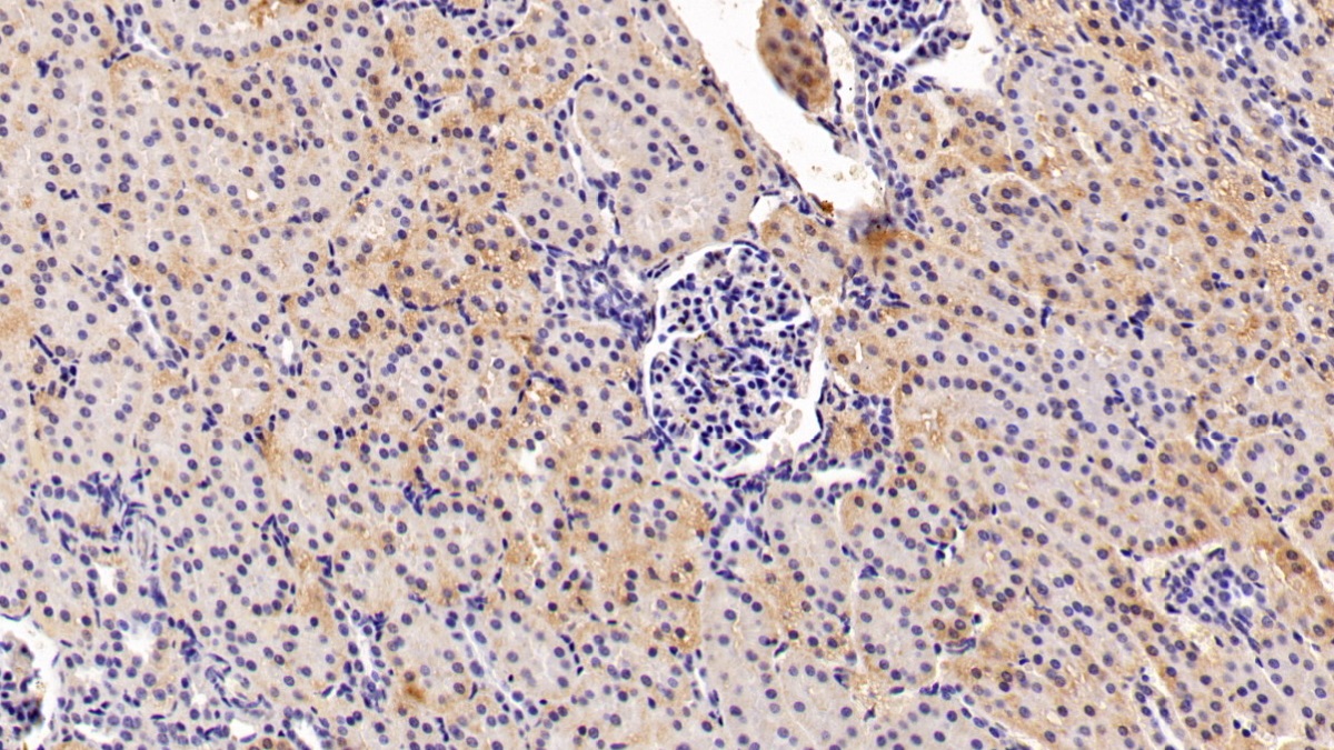
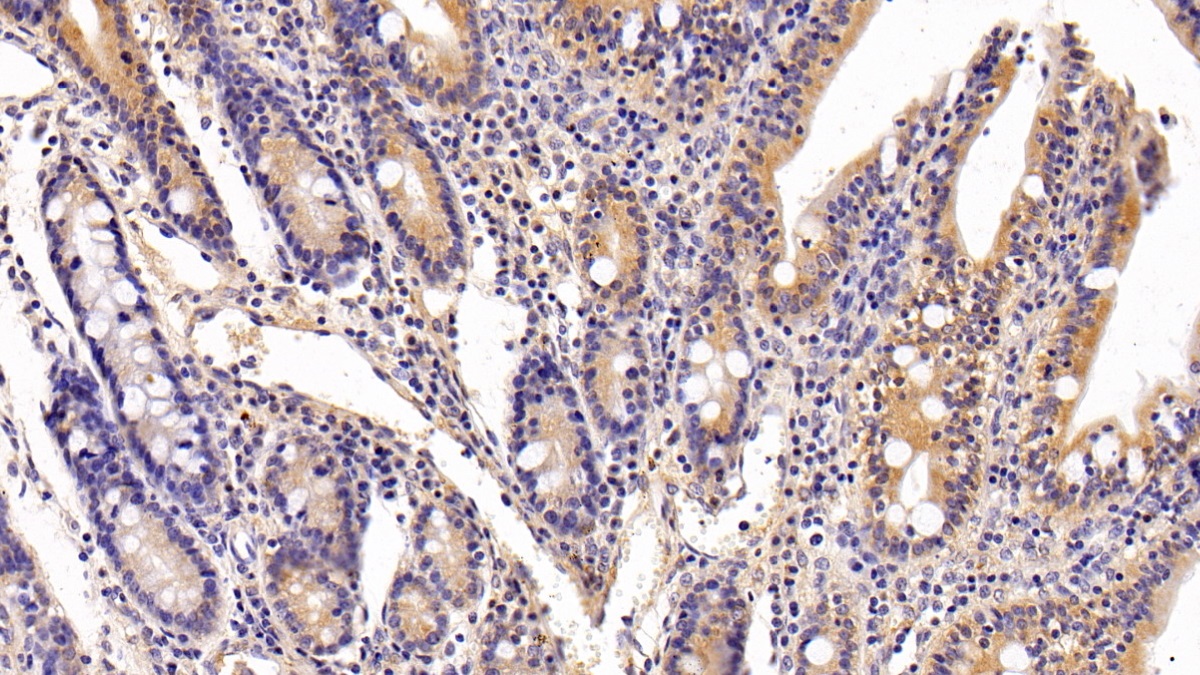
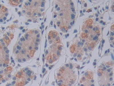
| Валидировано для | IHC WB Иммуногистохимия; Вестерн-блоттинг |
| Рекомендуемые разведения | WB: 0.01-5 мкг/мл; IHC: 5-20 мкг/мл; ICC: 5-20 мкг/мл; Оптимальное разведение определяется конечным потребителем |
| Метод очистки | Антигенспецифическая аффинная хроматография с последующей аффинной хроматографией с белком А |
| Состав буфера | 0.01M PBS, pH7.4, 0.05% Proclin-300, 50% глицерин |
| Условия доставки | термобокс с аккумуляторами холода |
| Условия хранения | Сразу после получения аликвотировать и хранить при -20ºС до 24 месяцев. Для частого использования хранить при +4ºС не более 2 недель. Избегать повторения циклов замерзания/оттаивания |
| Срок хранения | 24 месяца |
| Производитель | Cloud-Clone Corp. |
| Ссылка на страницу товара на сайте производителя | http://www.cloud-clone.com/products/PAE677Hu01.html |
|
Артикул
|
Наименование |
Производитель
|
|---|
|
Артикул
|
Наименование |
Производитель
|
|---|
|
Артикул
|
Наименование |
Производитель
|
|---|
|
Артикул
|
Наименование |
Производитель
|
|---|
Акции и предложения
Популярные продукты:
ELISA Kit for Pancreatic Lipase (PL) (RB453S-Hu)
Организм: человек
Диапазон определения: 0.625-40 нг/мл
Чувствительность: 0.269 нг/мл
Диапазон определения: 0.625-40 нг/мл
Чувствительность: 0.269 нг/мл
Anti-MPXV A35R Mouse IgG ELISA Kit (KAV13105)
Организм: мышь
Диапазон определения: 0.63 - 20 нг/мл
Чувствительность: 0.42 нг/мл
Диапазон определения: 0.63 - 20 нг/мл
Чувствительность: 0.42 нг/мл
ELISA Kit DIY Materials for WNT1 Inducible Signaling Pathway Protein 1 (WISP1) (KSG895Hu01)
Организм: человек
Диапазон определения: 31.2-2000 пг/мл
Чувствительность: 13.3 пг/мл
Диапазон определения: 31.2-2000 пг/мл
Чувствительность: 13.3 пг/мл
ELISA Kit DIY Materials for 2',5'-Oligoadenylate Synthetase 1 (OAS1) (KSC684Ra01)
Организм: крыса
Диапазон определения: 0.78-50 нг/мл
Чувствительность: 0.31 нг/мл
Диапазон определения: 0.78-50 нг/мл
Чувствительность: 0.31 нг/мл
Polyclonal Antibody to Protein Phosphatase 1, Catalytic Subunit Beta Isoform (PPP1Cb) (PAE027Hu01)
Источник (хозяин): кролик
Реактивность подтвержденная: человек
Валидировано для: WB
Реактивность подтвержденная: человек
Валидировано для: WB
Human BCL 6 corepressor like protein 1(BCORL1) ELISA kit (E01B0779)
Организм: человек

