| UNIPROT | P09958 |
| Иммуноген | RPC494Hu01-Recombinant Furin (FUR) |
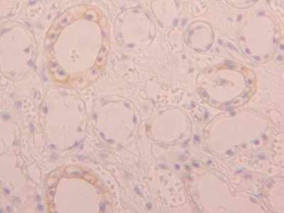
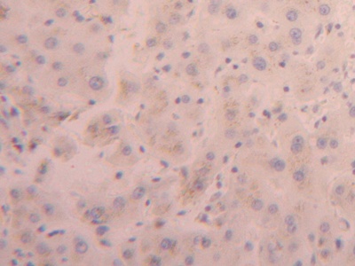
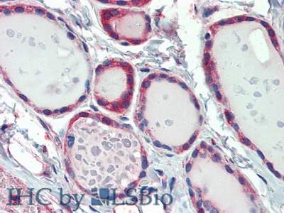
Polyclonal Antibody to Furin (FUR) (PAC494Hu01)
Реактивность подтвержденная:
человек
Источник (хозяин):
кролик
Валидировано для:
IHC
Характеристики
Техническое описание
| Русское название | PAC494Hu01 Поликлональное антитело к FUR (человек) <Cloud-Clone,Китай> |
| Каталожный номер | PAC494Hu01 |
| Название антигена | Furin (FUR) |
| UNIPROT | P09958 |
| Иммуноген | RPC494Hu01-Recombinant Furin (FUR) |
| Английские синонимы | PACE, PCSK3, SPC1, Paired Basic Amino Acid Cleaving Enzyme, Dibasic-processing enzyme |
| Русские синонимы | PACE |
Реактивность подтвержденная Нужна другая реактивность? |
человек |
| Реактивность предсказываемая | мышь, крыса |
| Источник (хозяин) | кролик |
| Клональность | поликлональное |
| Рекомбинантное | нет |
| Готовое к использованию | нет |
| Концентрация | 500 мкг/мл |
| Конъюгат | По запросу: HRP, biotin, PerCP, PE, Cy3, FITC, Cy7, Cy5.5, PE-Cy5, PE-Cy7, PerCp-Cy5.5, APC, Cy5, PE-Cy3, PE-Cy5.5, APC-Cy7, Biotin-APC, FITC-Biotin, TRITC, APC-Cy5, AF488, AF594, AF405, AF555, AF700, AF647, AF750 |
| Валидировано для | IHC Иммуногистохимия |
| Рекомендуемые разведения | WB: 0.2-2 мкг/мл; 1:250-2500; IHC: 5-20 мкг/мл; 1:25-100; ICC: 5-20 мкг/мл; 1:25-100; Оптимальное разведение определяется конечным потребителем |
| Метод очистки | Антигенспецифическая аффинная хроматография с последующей аффинной хроматографией с белком А |
| Состав буфера | 0.01M PBS, pH7.4, 0.05% Proclin-300, 50% глицерин |
| Условия доставки | термобокс с аккумуляторами холода |
| Условия хранения | Сразу после получения аликвотировать и хранить при -20ºС до 24 месяцев. Для частого использования хранить при +4ºС не более 2 недель. Избегать повторения циклов замерзания/оттаивания |
| Срок хранения | 24 месяца |
| Производитель | Cloud-Clone Corp. |
| Ссылка на страницу товара на сайте производителя | http://www.cloud-clone.com/products/PAC494Hu01.html |
|
Артикул
|
Наименование |
Производитель
|
|---|
|
Артикул
|
Наименование |
Производитель
|
|---|
|
Артикул
|
Наименование |
Производитель
|
|---|
|
Артикул
|
Наименование |
Производитель
|
|---|
Акции и предложения
Популярные продукты:
Nitric Oxide (NO) Colorimetric Assay Kit (E-BC-K035-S)
Организм: для всех
Диапазон определения: 0.97-700 мкмоль/л
Чувствительность: 0.97 мкмоль/л
Диапазон определения: 0.97-700 мкмоль/л
Чувствительность: 0.97 мкмоль/л
Anti-Vitamin D Binding Protein (DBP) Monoclonal Antibody (FAB810Ra08)
Источник (хозяин): мышь
Реактивность подтвержденная: крыса
Валидировано для: FCM
Реактивность подтвержденная: крыса
Валидировано для: FCM
ELISA Kit DIY Materials for TEA Domain Family, Member 1 (TEAD1) (KSM351Hu01)
Организм: человек
Диапазон определения: 0.156-10 нг/мл
Чувствительность: 0.054 нг/мл
Диапазон определения: 0.156-10 нг/мл
Чувствительность: 0.054 нг/мл
ELISA Kit DIY Materials for Gamma-cystathionase (CTH) (KSB538Ra01)
Организм: крыса
Диапазон определения: 0.312-20 нг/мл
Чувствительность: 0.117 нг/мл
Диапазон определения: 0.312-20 нг/мл
Чувствительность: 0.117 нг/мл
Monoclonal Antibody to Vitamin D Binding Protein (DBP) (MAB810Ra25)
Источник (хозяин): мышь
Реактивность подтвержденная: крыса
Валидировано для: ICC, IF
Реактивность подтвержденная: крыса
Валидировано для: ICC, IF
ELISA Kit for Collapsin Response Mediator Protein 5 (CRMP5) (SEE668Hu)
Организм: человек
Диапазон определения: 0.156-10 нг/мл
Чувствительность: 6.2 пг/мл
Диапазон определения: 0.156-10 нг/мл
Чувствительность: 6.2 пг/мл

